有的孩子久久不长牙
家长担心他们“缺牙”
而有的孩子恰恰相反
比别的孩子多长了一颗牙

病例回顾
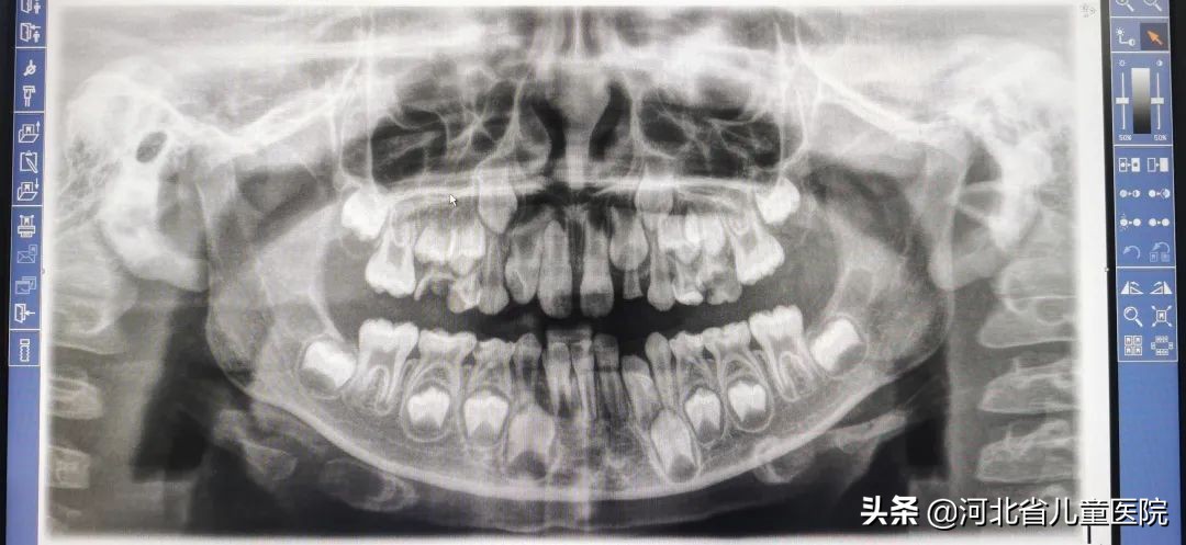
近日,河北省儿童医院中西医结合院区口腔科经全麻下为一名7岁患儿行多生牙(阻生牙)拔除术,手术治疗成功,当日患儿在家属陪同下离院。

7岁的患儿在拍摄X线片时发现上颌埋伏多生牙一颗。经CT检查,多生牙位于右上中切牙后方根中1/2至根尖部,多生牙呈锥形倒置位。完善术前各项检查,检查结果正常,于手术室行全麻下多生牙(阻生)拔除术,手术治疗成功,患儿复苏良好并在家属陪同下当日离院。
什么是多生牙

多生牙,又称额外牙,可能是牙齿发育过程中形成过多的牙蕾,也可能是牙胚分裂而成。可发生在颌骨任何部位,但最多见的是“正中牙”,位于上颌两中切牙之间,常为单个。
多生牙多为锥形或蕾状牙齿,有萌出的多生牙,也有阻生于颌骨内,儿童多见。有些多生牙可以自行萌出,容易被家长发现;有些多生牙倒置生长,不能萌出,但会造成相邻恒牙间隙变大,往往由于牙间隙大前来就诊被发现。
多生牙的危害

多生牙不仅影响恒牙胚的正常发育方向,而且常常阻碍恒牙的正常萌出,造成邻牙的扭转、异位和牙列拥挤。
因为多生牙有遗传倾向,自己曾有多生牙病史的父母要格外注意孩子替牙时牙齿排列的情况,并养成每半年定期口腔健康检查的良好卫生保健习惯,才能早发现早治疗。
如何治疗

埋伏多生牙除造成错颌畸形、邻牙牙根吸收、影响正畸治疗外,还有可能会引发牙源性囊肿和肿瘤,因此需要早期干预治疗。由于患儿年龄等因素的影响,有时无法配合门诊手术治疗。河北省儿童医院中西医结合院区口腔科针对此类患儿开展多学科联合治疗,对不能配合门诊治疗的患儿,可通过全麻舒适化日间手术的方式,进行口腔治疗。
科 室 介 绍

河北省儿童医院中西医结合院区口腔科为儿童口腔专业科室。目前已发展为集临床医疗、教学为一体的一站式口腔全科医疗学科,在本地区有较高的影响力。科室由基础知识扎实、训练有素且具有多年儿童口腔诊疗经验的专业医护团队组成,采用规范化“四手操作”技术进行常规口腔诊疗工作。科室以无痛化治疗技术、舒适的诊疗环境和先进的诊疗设备为患儿提供优质的诊疗服务。
开展的治疗项目:
儿童牙病预防,儿童龋病、牙髓病、根尖周病的治疗,儿童牙外伤的治疗,年轻恒牙治疗,根尖诱导成形术,儿童早期咬合诱导,预成冠修复,橡皮障隔湿,微创拔牙,各类复杂牙、阻生牙拔除,牙周及口腔黏膜疾病序列治疗等。
针对低龄儿童龋病,开展了全麻下儿童牙病舒适化的治疗项目。
科室秉承儿童口腔舒适化治疗理念,为儿童提供高质量的医疗服务。