四,症状特征
结节病患者的症状是多样化的。通常可以无症状,或者表现出「非特异性」症状,比如乏力。乏力是结节病患者的常见症状,出现于最高达80%的结节病患者。还有咳嗽、呼吸困难、眼睛灼热或皮疹,这些可提示诊断。但有此「特异性症状组合」的并不多。
针对736个结节病患者的调研(A Case Control Etiologic Study of Sarcoidosis,ACCESS)的调研显示,95%有胸腔脏器受累,50%有胸腔外受累。但只有2%的单纯胸腔外受累是不伴随胸腔脏器受累。

尸检时20%-67%心脏受累;活检时50%-80%肌肉和肝脏受累
1,呼吸系统:
常见的呼吸道主诉症状:咳嗽、呼吸困难和胸痛,并常伴有乏力、不适、发热和体重减轻。超70岁则更容易有全身症状,比如乏力和厌食。
因疑诊结节病而接受评估的所有患者均应行胸片检查。双侧肺门淋巴结肿大是结节病的典型表现,肺门可能对称性增大(在约50%的病例中)或右侧稍更显著。真正的单侧淋巴结肿大并不常见(<5%的病例)。肺实质表现更为多样,可为正常、弥漫性网状影或磨玻璃样不透光区、结节性实变或囊性瘢痕形成。
现已根据胸部X线摄影表现对肺部受累进行分期,尽管这能提示肺部受累的解剖学情况,但并不能反映疾病活动度或功能受损程度。
常规行胸部HRCT以评估胸片所见异常;或者评估胸片正常,但原因不明的呼吸困难或咳嗽。HRCT可发现胸部X线平片未能发现的肺实质和纵隔异常。HRCT扫描通常显示肺实质变化主要分布于中上肺野:
- 肺门和纵隔淋巴结肿大
- 支气管血管束串珠样增厚或不规则增厚
- 沿支气管、血管及胸膜下区域分布的结节
- 支气管壁增厚
- 磨玻璃样不透明影
- 肺实质肿块或结节性实变,偶伴有空洞
- 肺实质条索
- 囊腔
- 纤维化伴肺结构变形和牵引性支气管扩张
实际上HRCT检查还可以协助医生与其他疾病鉴别。

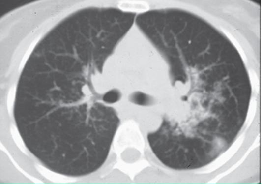
左肺门周围大而不清楚的实变,单侧左肺门扩大,双侧周围结节不清楚

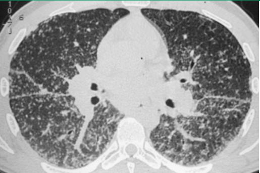
结节病,多发结节,直径1-2毫米,位于细支气管周围。主要裂隙的串珠是淋巴受累的特征。双侧门淋巴结肿大
2,皮肤
在约25%的结节病患者中可见皮肤受累,皮肤病变往往是结节病的早期表现。
- 丘疹样皮损是皮肤结节病的一种常见的特异性表现。通常累及鼻翼、唇、眼睑、前额、颈后发际线处和/或既往创伤处(如瘢痕及纹身处)。
- 结节状皮损则常常分布在面部、躯干和四肢伸侧。
- 斑块状皮损可出现于慢性皮肤结节病中,以肩、手臂、背部及臀部多见。
- 冻疮样狼疮的特征为青紫或红色、质硬的丘疹、斑块或结节,主要分布在鼻部、脸颊、颏部和耳部。冻疮样狼疮与结节病患者鼻部受累风险增加相关。
- 结节样红斑(erythema nodosum, EN)是一种脂膜炎,特征为最常见于下肢前表面的痛性结节。EN是LS的一部分,在欧洲裔结节病患者中出现EN则预后良好且能自发缓解。
- 皮下结节病(有别于EN)的特征是无症状性或轻微压痛性结节,通常位于上肢;患者常常伴有肺门淋巴结肿大。

结节病的斑丘疹样皮肤改变

结节病肉芽肿的近观

结节病肉芽肿在透视下呈现苹果果冻样表现

面部的结节病结节

结节病的狼疮冻疮样皮肤改变

结节病的皮下结节改变
3,骨骼肌肉与关节病
约50%-80%的结节病患者存在骨骼肌肉受累,10%-15%的结节病患者有相关的关节病变。当患者只有关节痛的主诉时,结节病性关节病的诊断则相当困难。根据临床特征,结节病关节病可以分为两个:
A,急性关节炎和Löfgren综合征
急性结节病性关节炎最常作为Löfgren综合征的一部分,该综合征的特征为肺门淋巴结肿大、急性多关节炎和结节性红斑三联征;急性关节炎不常单独出现或伴肺实质性受累。急性多关节炎最常累及踝关节(>90%),常为双侧受累,其次多见于下肢的其他较大关节;急性多关节炎有可能被误认为反应性关节炎。这种类型的关节炎以少关节型关节炎为主(87%),且通常呈对称性受累(76%)。
Löfgren综合征见于不到5%-10%的结节病,并且通常是自限性。偶尔,单纯累及手部小关节则可能与类风湿关节炎急性起病相似。当多关节炎呈游走性时,结节病关节炎可类似于风湿热。同时表现出葡萄膜炎和关节炎的年幼儿童可与幼年特发性关节炎患者类似。

Löfgren综合征:膝关节炎、下肢皮肤结节性红斑和肺门淋巴结肿大
B,慢性关节炎
慢性关节炎是结节病的一种不常见的临床表现(1%-2%)。表现出慢性关节炎的患者的年龄一般比急性关节炎患者的更大。踝、膝、手、腕、掌指和近端指(趾)间关节最常受累。慢性关节炎的形式可以为:
- 非畸形关节炎伴肉芽肿性滑膜炎
- Jaccoud型手部畸形(非侵蚀性关节畸形)
- 邻近结节病骨病变处存在关节肿胀
- 指(趾)炎[一个或多个手指(足趾)的香肠样肿胀]

结节病指炎

结节病的慢性关节炎改变,手部畸形

结节病关节病的治疗前后

结节病累及关节导致骨囊性改变
4,眼睛
结节病患者中最高可达25%累及眼部,5%以眼部受累为主诉症状。女性、美国籍非洲裔患者、日本患者中眼部表现的发生率较高。眼病可有多种形式,包括:葡萄膜炎、干眼、视神经炎、眼睑炎症或眼眶疾病。主要症状有:干眼、视物模糊、畏光、发红、眼痛、飞蚊症和视力下降。结节病也可以累及眼外组织,包括泪腺、结膜、眼外肌和视神经鞘,可表现为眼眶软组织肿物。相关情况还应请眼科医生会诊。

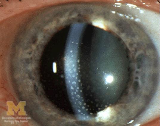
结节病眼睛表现:裂隙灯下漂浮的淋巴细胞形成灰白色团块,羊肉脂肪的外观
5,其他
心脏结节病通常是良性的,但偶尔也可以引起猝死。大多数是无症状性----通过尸体检验时发现。如有症状,则主要是心悸、晕厥、头晕或胸痛。结节病主要是导致心脏传导阻滞和心律失常,但也有心力衰竭、心瓣膜功能障碍、心梗样表现及心包疾病。
最高达40%的结节病患者中存在外周淋巴结肿大。约30%的结节病患者的腹部CT显示腹腔内淋巴结肿大(短轴切面上有2个淋巴结直径大于1cm)。
肝结节病患者通常没有症状,不过许多患者有肝功能检测结果异常或肝肿大;少数患者可发生晚期肝病。在50%-65%的结节病患者中,肝活检可见非干酪性肉芽肿,伴或不伴肝肿大。
结节病患者尸检中脾肉芽肿发生率为50%。但带来有意义的临床表现和特征的不多。比如,脾功能亢进的很少。此时,脾脏肿大可作为信号来提示结节病可能。
约5%的结节病患者会出现无痛性唾液腺和腮腺肿大;也可以见到口干燥症和干燥性角膜结膜炎,类似于干燥综合征和IgG4相关系统性疾病的临床表现。结节病也可以与干燥综合征相伴出现。

胸痛是结节病的少见症状之一
五,诊断与鉴别诊断
结节病相对少见。医生只有认识到它,才能避免视而不见听而不闻。有一定警惕心后,当结节病的肺部和肺外表现都呈现时,因为症状典型而不易忽视。但,只有胸腔内改变,或者单纯肺外改变,则很难想到。
实际上,有些患者已有肺门淋巴肿大,但却未必有症状。当主诉关节病,但无其他症状时,医生也难想到结节病可能。当其他疾病难以解释时,应想到行胸部影像学检查。
结节病有多个实验室检验异常:
1,血常规:有贫血、白细胞下降等。但这些并不常见。
2,高钙尿症较高钙血症更为常见。
3,血清碱性磷酸酶浓度中等程度升高提示肝脏受累。需跟原发性胆汁性胆管炎鉴别。
4,75%未治疗者的血管紧张素转换酶(ACE)是升高的,但其特异性差(10%的假阳性率),其临床价值相当有限。
5,几乎所有结节病患者都存在25-羟维生素D缺乏,但是70%的结节病患者1,25-二羟维生素D水平充足。然而,这一表现的特异性也不强,不足以确诊结节病。
综上所述,可发现实验室检查对诊断的帮助有限。
诊断也是一个不断鉴别诊断的过程。有不少疾病跟它相似而需鉴别:
1,分枝杆菌感染:结核分支杆菌或非结核分支杆菌,都可以表现为肉芽肿样病变。从症状体征上区分是困难的,组织活检是关键性的。
2,真菌感染:主要是肺内结节样改变可以很相似。结节病的肺外改变可以协助鉴别。但只有肺内改变时,活检是仍是决定性的。
3,尘肺:某些尘肺(特别是慢性铍病)的影像学及病理学表现可与结节病类似。活检和相关血液检查可以协助诊断。
4,其他疾病:肉芽肿性多血管炎、肺朗格汉斯细胞组织细胞增生症、Erdheim-Chester病等。
鉴别诊断时,胸部影像学、组织病理可以协助诊断。但如何取得组织也考验医生们。尽可能采用易取样的外周病变,如,皮肤病变、可触及的淋巴结、结膜病变等。当上述不通时,通常会使用到纤维支气管镜检查和超声引导下内镜。必要时外科手术取样。

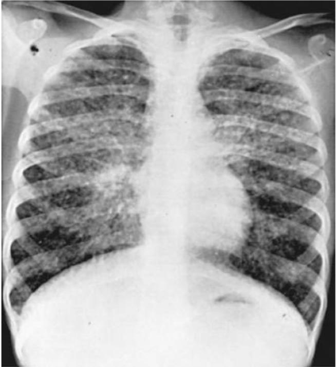
10岁女孩的结节病胸片:多发性细结节伴有肺门淋巴结肿大
六,特别的Blau综合征
Blau综合征又称为幼年系统性肉芽肿。它是一种常染色体显性遗传病,特征是皮肤、眼部和关节的肉芽肿性炎症。目前它被归入自身炎症性疾病。
Blau综合征由核苷酸结合寡聚化结构域蛋白2(nucleotide-binding oligomerization domain protein 2, NOD2)突变所致。NOD2突变似乎跟早发结节病相关。
该病临床表现有:
1,红斑状丘疹,有时仅为一过性。
2,关节炎发生于10岁前,通常表现为腕部、踝部、膝部和/或肘部极其轻微的症状性肿胀,伴有手指进行性屈曲性挛缩(屈曲指)。活检通常显示有滑膜肉芽肿。
3,肉芽肿性葡萄膜炎,其可导致青光眼和失明。
4,其他:发热、颅神经病变、动脉炎和内脏器官的肉芽肿性病变。
目前越来越倾向于把Blau综合征单独列出,而不再归入结节病范畴。
参考资料:
1,《 Rheumatology》(第7版)
2,《Rook’s Textbook of Dermatology》(第 9 版)
3,《Dermatology》(第4版,博洛格尼等著)
4,《Nelson Textbook of Pediatrics》(第20版)
5, Uptodate临床顾问