越来越多的女性,注重乳腺健康,我们去医院体检的时候,乳腺专科医师触诊之后,经常会让女性朋友去做乳腺彩超,乳腺彩超就像医师的第三只眼睛,可以看到肉眼看不到的病变,可以延伸医师的手指,使医师在触诊之外对病变有了更加准确的定性。
彩超报告往往是一大堆专业术语,其实,从其中的8个方面,可以针初步来观察、评估乳腺结节的良恶性:
1.乳腺结节的形态:
结节的形态可分为椭圆形、圆形和不规则形,大部分良性肿瘤形态表现为椭圆形和圆形,而肿瘤形态不规则时,则以恶性肿瘤多见。
2.乳腺结节的纵横比。
这是乳腺结节良恶性非常重要的一个区分特征。指的是:结节的最长轴是否与皮肤平行作为标准。纵横比小于1指的是:结节长轴与皮肤平行,结节呈平行位、水平生长,这是良性结节的特征。纵横比大于1指的是:结节的长轴和皮肤不平行,即结节呈垂直生长,多见于恶性肿瘤。

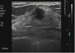
3.乳腺结节的边缘。
分为:光整和不光整(模糊、成角、微小分叶、毛刺等)。边缘光整是指:结节的边缘与周围组织界限清晰,往往是良性结节的特征。结节边缘不光整往往是乳腺癌的征象,指的是:模糊(结节的部分边缘无清晰的边界)、微小分叶(结节边缘出现锯齿状结构)、成角(结节边缘部分或全部形成锋利的角度,通常为锐角)、毛刺(从结节的边缘放射状的锐利细线)。

结节边缘为微小分叶,术后病理为恶性

结节的边缘成角,是恶性的表现
4.乳腺结节的内部回声。
分为:无回声、低回声、等回声、高回声和混合性回声。不均匀低回声的结节多为恶性,混合性回声多为囊实性结节,其恶性的可能>10%。

结节内回声不均,术后病理为恶性
5.乳腺结节后方回声特征。
在彩超图像上,结节后后方回声增强或无改变是良性征象;后方回声衰减往往提示恶性可能性大。
6.乳腺结节有无钙化。
彩超往往仅能发现粗大的钙化(指≥0.5mm的钙化灶),一般为良性钙化。而对于<0.5mm的微钙化,彩超往往不敏感,需要进一步的钼靶检查,细小、多个、簇状分布的微钙化,是乳腺癌的特征性表现。

结节内的钙化
7.乳腺结节的血供。
良性病变多是无血供的实性结节,而恶性结节由于对营养成分的过量摄取,往往其周围的血管数目、血供丰富,往最高血流速度大于20cm/s,血流阻力指数RI≥0.7,这是恶性结节的特征性表现。

结节内血供丰富,是恶性的征象。
8.乳腺结节周围组织的变化及腋窝淋巴结。
恶性结节的周围组织往往受压结构扭曲,周围组织层次消失、Cooper韧带增厚或僵直,腋窝淋巴结增大,皮髓质分界不清等。
这就是乳腺彩超中隐藏的秘密:从这8个方面,可以初步判断结节的良恶性,并根据具体情况进一步的检查钼靶、磁共振,或者结节进行空芯针活检穿刺,病理确诊,做到早期发现、准确诊断,早期治愈!