陆博,口腔医学博士后,副教授,硕士生导师,副主任医师,热衷于用简单明朗的文字,为市民普及口腔健康知识。
最近发现一个很有意思的现象,
每周三下午,总有家长一起组团来我们医院儿科补牙,
总听说吃饭组团,现在连孩子看牙都组团来了~

如果你稍加留意,身边但凡有孩子的,几乎都有蛀牙。
在我国,儿童患龋率高达 95%,是近视人数的两倍之多,并且还在逐年升高。
可见, 蛀牙 已经势不可挡地成为 儿童口腔健康 的 杀手 。

有家长说:“我已经不让孩子吃糖了,怎么还会有蛀牙?”
说实话,不吃糖可以减少蛀牙的可能,但糖真的减得了吗?
且不说零食、饮料满大街都是,更何况牛奶、米饭里也是含有糖分的。
所以光从“不吃糖”这点出发,根本行不通。

那家长又问了:“认真督促孩子认真刷牙呢?”
可以是可以,但 大部分孩子刷牙是为了应付家长 ,根本达不到“标准”的要求。(此处应该很多家长深有体会)

况且蛀牙是不可逆的。
一旦出现,只能说明这已经是一颗不健康的牙齿。
说到底,预防蛀牙才是解决蛀牙的最有效方法。

有没有 对孩子无伤害 、 科学 、 便宜 的防蛀方法呢?
当然有!
那就是“ 窝沟封闭 ”和“ 涂氟保护 ”~

去过儿童口腔科的家长,应该都听过这两个保护方法,但大多数只是听医生一提,没有太多印象。
其实窝沟封闭和涂氟治疗是目前公认的 非常有效、且安全的防龋方法 。
比如 苏州市姑苏区的儿童幸福口腔工程 ,已经持续开展了十年,
就是免费给姑苏区内学校符合年龄段的孩子做免费的窝沟封闭,
可见窝沟封闭的重要性。

本期我们重点讲“窝沟封闭”的相关问题——什么是窝沟封闭?操作过程疼吗?孩子会抗拒吗?注意事项什么?多少钱?等等,解除家长们的疑虑。
一、什么是窝沟封闭?
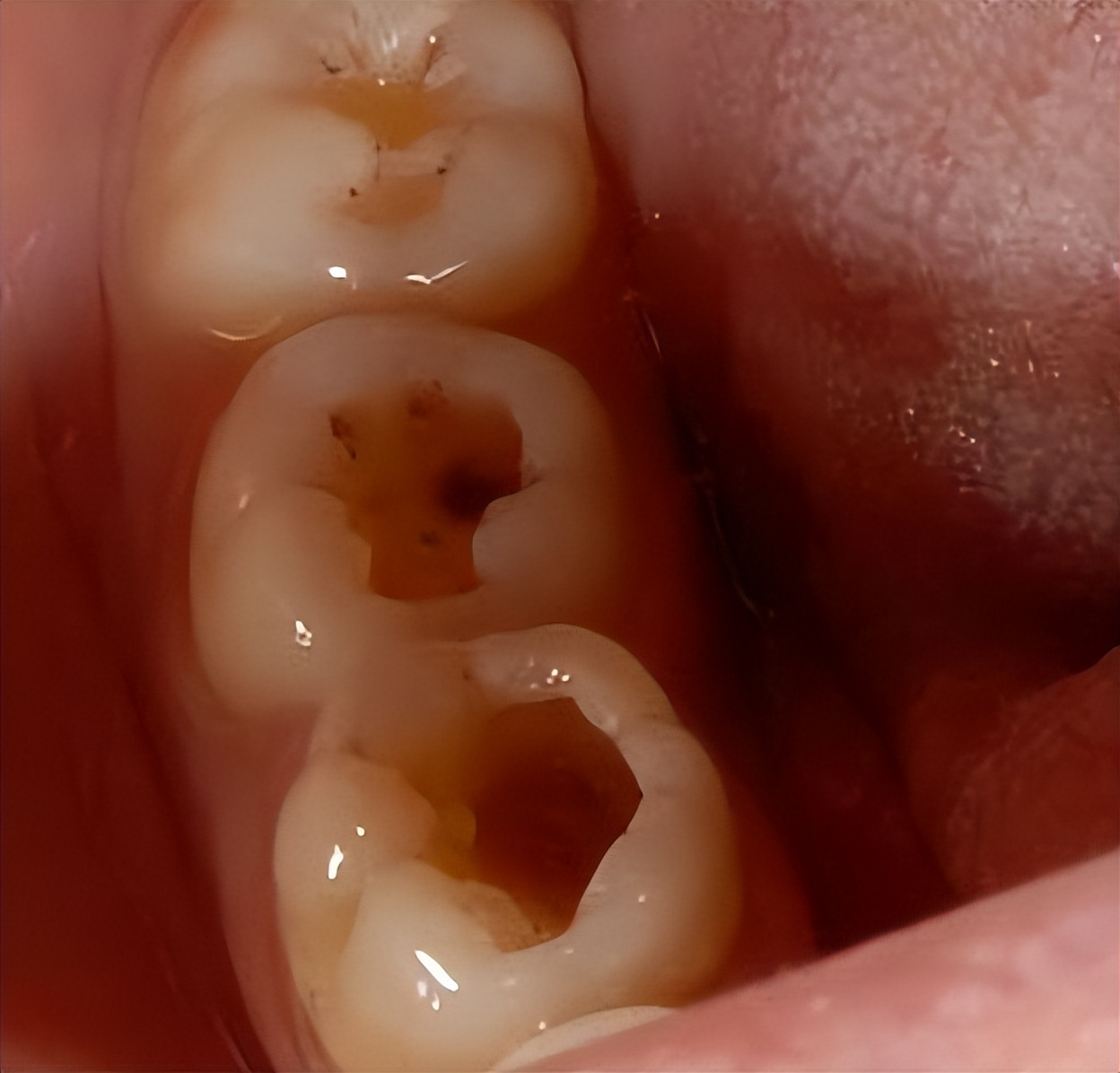
张开嘴巴,我们会看见后牙表面有像沟壑一样的窝沟。

由于窝沟凹凸不平,细菌和食物容易藏在这里,并且刷牙也很难深入窝沟。
所以大部分蛀牙,是从窝沟开始的。
比如这样的:

这样的:

为了预防窝沟龋,医生会用窝沟封闭材料将窝沟覆盖,

做完呈现出这个效果:

窝沟封闭材料会将细菌拦在“门外”,达到预防蛀牙的目的。
二、窝沟封闭疼吗?
爸妈们心疼孩子,最关心的还是孩子疼不疼。
疼吧?
答案是——不疼。

因为窝沟封闭相当于在外面 给牙齿穿上一层铠甲 ,所有操作都是 在牙齿表面进行的 ,不会伤到牙齿,家长不必担心。
当然不排除一些孩子本身就怕医院,看见蒙着口罩的医生就嗷嗷大哭找妈妈,出现这种情况,建议家长事先沟通好哦 ~

解决这个问题,宝爸宝妈就可以安心往下看啦 ~
三、窝沟封闭麻烦吗?
只要孩子不排斥,整个过程就会很轻松。
直接用图就能看明白:

按照这个标准,每颗牙大约 20分钟的保护时间,完全在孩子的承受范围内。
值得注意的是,窝沟封闭在牙齿表面,所以做完 两个小时内,孩子不要喝水、喝饮料、吃东西或漱口哦~
四、窝沟封闭多少钱?
窝沟封闭这么好,价格不便宜吧?说实话,价格出乎意料地亲民 ~
由于窝沟封闭对 单颗牙 进行保护,因此收费也是按颗收的,而且一般 只需要做四颗六龄牙 。
就拿我们医院来说,80元一颗。
80元,家长两杯星巴克的钱,却能保护孩子一颗稚嫩的牙齿,我认为是值得的。

不过有一点需要注意,由于窝沟封闭材料是“填”在窝沟里的,可能在孩子咀嚼硬物时脱落,甚至随食物吞进肚子里。
家长不要担心,材料是安全可食用的,会正常代谢掉。

五、窝沟封闭多久需要做一次?
一般情况下做完后 保持每半年来检查一次, 看材料是否有脱落即可
如果保持得很好,就不需要额外再补
当然如果脱落了,那就需要及时补上啦~

还有一点需要值得注意:如果已经蛀牙了,就没办法做窝沟封闭了,只能先补牙后再做,所以窝沟封闭一定要提前做好,不要等蛀牙了才想起来。
大家还想了解关于
「拔牙 洗牙 补牙 矫正牙 种牙」等等
或者儿童和成年人各年龄段的
更多专业口腔知识吗?
关注我的头条号就告诉你!
如果有问题,可以私信询问陆博~
看到回复,虽然可能不及时!