近日,56岁的姚先生(化名)到常州市第二人民医院肿瘤科复查,得知各项检查结果都正常,连连对医院为其采取的抗癌治疗措施表示感谢。原来,姚先生在5年前被确诊原发性肝癌,面对鸽子蛋般大小的肿瘤,医生建议通过手术切除部分肝脏。可是因为种种原因,姚先生拒绝手术治疗。当时根据姚先生的临床表现以及各项检查结果,常州二院肿瘤科团队为他制定了个体化的治疗方案,即采用微创介入治疗,通过根治性射频消融术将姚先生的整个肿瘤消融。如今5年过去了,每年复查一切正常,目前也没有发生复发转移的现象,令姚先生十分欣喜。
“大家都知道,治疗肿瘤往往有手术、化疗、放疗三种主要的方法。那么,微创介入治疗技术则为抗击肿瘤提供了‘第四种*器武**’。”常州二院肿瘤科主任蒋华介绍道,“所谓肿瘤微创介入治疗,是指在血管造影机、CT、超声等影像设备引导下,用穿刺针、导管、导丝以及其它介入器材,通过人体自然孔道或微小创口对患者体内的肿瘤病灶进行直接的物理、化学或生物治疗,使肿瘤病灶即时或短时间内坏死的一系列治疗方法。它是一种人性化、理性化、个体化的治疗模式,不但使肿瘤治疗微创化,也使内科治疗更加精准化。”

蒋华表示
肿瘤微创介入治疗技术只有三十多年的历史,但在近十几年中发展尤为迅速。临床上将肿瘤分为四期,一期就是通常说的早期,二、三期称为中期,四期称为晚期。一、二期肿瘤患者可选择外科手术,也可选择微创介入手术;对年龄大、体质差及心肺功能差不能耐受外科手术的患者,则选择微创介入治疗更适合;对三、四期肿瘤采用微创介入治疗完全灭活或部分灭活肿瘤原发病灶,能显著地提高肿瘤的综合治疗效果。因此,肿瘤微创介入治疗技术的发展,为临床解决了很多难题,使原先不能手术或手术难度很大的肿瘤类疾病得到了简单有效的治疗。
蒋华说道:
“像姚先生这样的病例,过去治疗方法包括肝切除术、全身静脉化疗,现在介入治疗成为部分肝癌首选治疗方法。治疗过程中,我们将一根铅笔芯粗细的消融针,在CT引导下穿刺入肿瘤内,外接消融治疗仪,以90℃以上的温度直接将肿瘤组织碳化灭活。治疗5cm以内的原发性肺癌、原发性肝癌可达到与手术切除相当的治疗效果;对于肺、肝转移性癌进行部分或完全灭活可起到减轻患者肿瘤负荷、延长生存时间、提高生活质量的效果。由于治疗时间短,患者的损伤小,术后2-3天就可以出院恢复正常生活。”

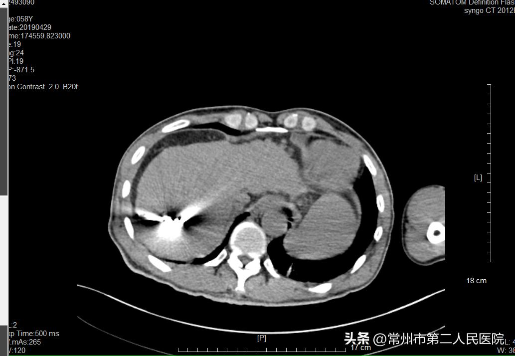
▲术前

▲术中消融针穿刺到肿瘤处

▲术后肿瘤完全坏死,留下包含坏死组织的软化灶
随着患者多层次、多样化的医疗需求逐渐凸显,构建高质量的创新服务体系亟须进行。肿瘤微创介入治疗技术宛如武林高手,以小小的一根针挑动大肿瘤,是一种安全、直接、高效的治疗方法,为肿瘤患者提供了一条可供选择的治疗之路。常州二院肿瘤科目前大力开展肿瘤经皮穿刺射频消融及微波消融术,团队坚持以患者为中心,不但致力于提升恶性肿瘤的治愈率,更追求患者的生活质量能得到更多的改善,从而延长生存期,以实实在在的行动为众多肿瘤患者点燃了新希望。