糖果这个东西是很多人的喜爱之物,上到七老八十的老人,吓到牙牙学语的娃娃,任谁听到这个东西都会眼前一亮,别问,问就是想吃。这个特别受人喜爱的东西,却是小时候食物里面的黑名单榜首,爸爸妈妈每天都要说“不许吃糖!”认为糖是让小朋友长蛀牙的罪魁祸首。

不光吃糖会长蛀牙,还有一些其他原因,赶紧来看看。
蛀牙,一听名字就容易使人误解成“蛀虫蛀牙”。事实上,蛀牙在形成的过程中,根本没有蛀虫,各位家长朋友就不要老拿蛀虫吓唬小朋友了,所以说,蛀牙这个名称是不科学的,医学上称它为龋齿。其实不光小朋友会长龋齿,很多成年的朋友也会长,所以就更要注意了。

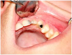
如果牙釉质钙化不良,就更容易发生蛀牙。外来的致病原是指口腔里的致病菌,尤其是变型链球菌和乳酸杆菌,它们依靠淀粉及糖类蛀牙的初期,这是家长不让吃糖的原因,它只是一个小黑点,当然也有棕褐色的。

经过一段时间后,这个小黑点就会变成小洞,并不断扩展成大洞。到最后,整个牙冠被腐蚀,只剩下牙根。这样,一只牙齿全完了。在发病的过程中,常常会有疼痛或化脓肿胀的情况发生,真是应了那句老话,牙疼不是病,疼起来真要命。

小朋友如果从小就长了蛀牙就会导致乳牙龋坏严重,造成咀嚼功能降低,影响儿童的营养摄入,对生长发育造成影响。

长了蛀牙不可怕,及时去医院做正确的处理就会有所好转,所以啊牙疼时一定要当回事不要给自己当医生哦。