
小细胞肺癌是我国常见的恶性肿瘤之一,局限期平均生存时间约为12-20个月(广泛期 7-12个月),局限期5年生存率10-20%(广泛期小于2%);可见其恶性程度高,预后差;早期可无症状,多因乏力、咳嗽、气短、体重下降、疼痛、咯血初诊。小细胞肺癌患者中90%以上的人有吸烟史,发病年龄35-68岁,平均发病年龄60岁,男性多于女性。小细胞肺癌的综合治疗以化疗为主,放疗在其早中晚期均能起到巨大作用,现举例如下:
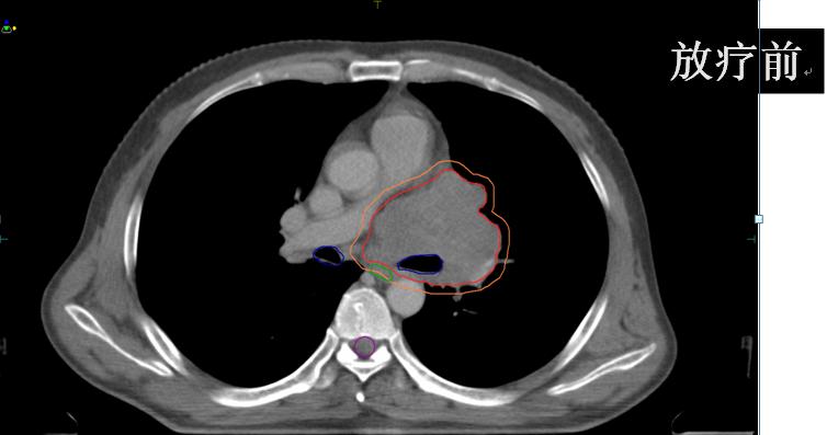
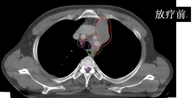
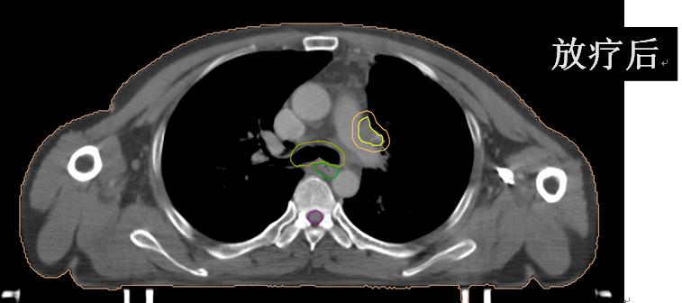
男性,48岁,2016年4月无明显诱因出现左肩背部疼痛,自服布洛芬可缓解,其后疼痛逐步加重伴咳嗽、咳痰,偶有痰中带血,自服镇咳药物及抗生素效果欠佳,2017年2月初诊胸部CT:左肺上叶肺门旁占位合并远端阻塞性不张及炎症,纵隔淋巴结肿大。气管镜活检病理:小细胞肺癌。骨扫描未见异常,头颅CT未见异常。遂于外院行EP方案化疗,期间出现恶心、呕吐、脱发、白细胞下降,对症支持治疗后好转;2周期化疗后咳嗽、咳痰减轻,左肩背部静息时疼痛及痰中带血消失;但出现胸闷、气短、声音嘶哑,咳嗽时仍有右胸剧痛,休息后缓解。复查胸部CT:左肺上叶支气管变窄并软组织肿块形成,符合中央型肺癌改变,伴纵隔、左肺门及左侧锁骨上淋巴结转移;右肺上叶结节,性质待定,双肺轻度间质性改变。综合评价:病情进展;考虑化疗效果欠佳,建议行放疗。
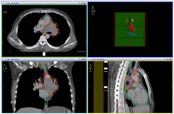
患者急诊来我院,具体治疗计划如下:
• (肺及纵隔病灶)iGTV1/GTV1/CTV1/70Gy/60Gy/50Gy/20F;
• (锁骨上病灶)GTV2/CTV2/60Gy/50Gy/20F。







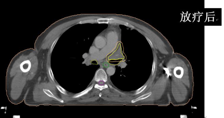
放疗后患者咳嗽、咳痰、左肩背部疼痛、痰中带血、胸闷、气短完全缓解;继续于外院行综合治疗并定期随访观察。
有图有真相:放疗效果显著!是不是疗效好就应该损伤重呢?肺损伤?


放射治疗作为强而有效的肿瘤治疗*器武**,世界范围内广泛应用;国内因无药商药厂的持续推广往往被大众“雪藏”,并因所谓的放射性肺炎、放射继发肿瘤等被大家厌弃。实事求是的讲,化疗没有肺炎么?!化疗没有继发肿瘤么?!抗击肿瘤需要各学科各专业精诚合作,最大程度的综合治疗才能实现延长生存时间、改善生活质量这一最终目的。对于小细胞肺癌来讲,早期可以放疗根治,晚期可以放疗减症;对于脑转移、骨转移更是具有绝对的治疗优势。
因为我们专业,所以我们客观:小细胞肺癌是个全身系统性疾病,放射治疗不可缺,药物治疗亦重要;珍爱生命,且行且珍惜!