点击右上角立即关注,更多健康内容不再错过,不定期惊喜送给你
肺假性肿瘤不是肺癌,它只是一种良性肿瘤。肺假性肿瘤也叫作肺炎性假瘤,主要是因为肺部炎性物质导致的肉芽肿、机化、纤维结缔组织增生,和其肺部疾病导致肺部肿块。

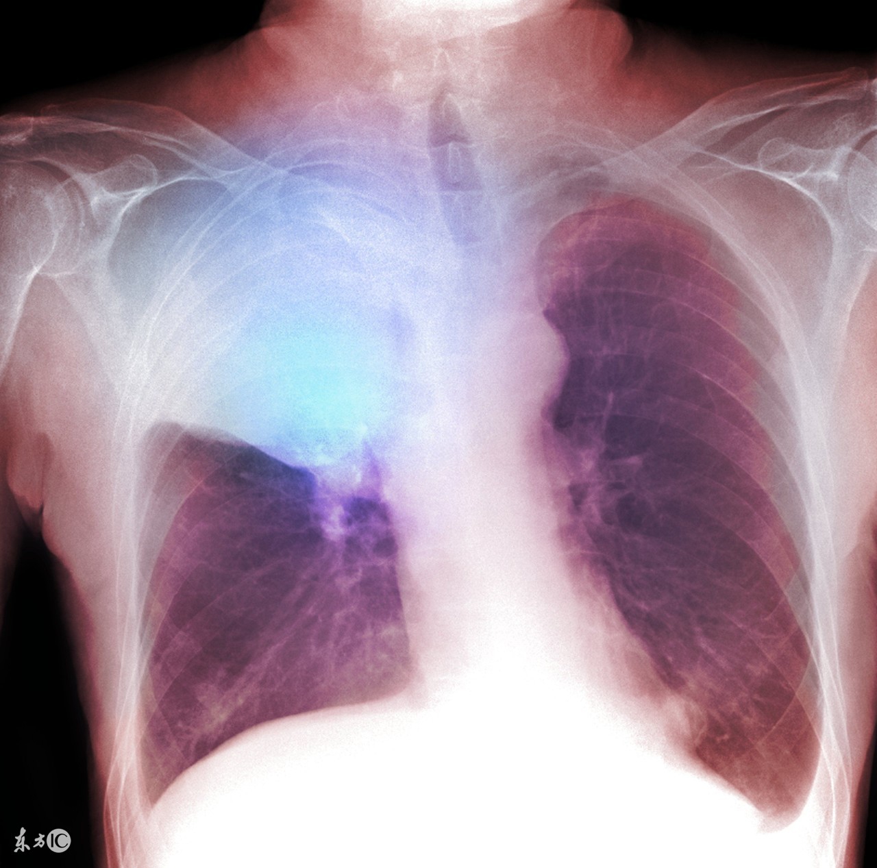
肺假性肿瘤严重吗?
很多来呼吸科就诊的患者中,很多人都存在肺假性肿瘤这一疾病,大都惊慌,担心癌变,一直询问医生是不是肺癌。其实肺假性肿瘤不是肺癌,只是一种常见的肺部良性肿瘤而已,不必过于担心。
如果你患有慢性支气管炎、肺炎、肺化脓症,并且伴随咳嗽、咳痰、低热,或者胸痛、血痰,咯血,如果这些症状不是很明显,就有可能是肺假性肿瘤的表现。如果症状明显,需要及时就医,排除恶性肿瘤的可能性。诊断肺假性肿瘤后,最好及时就行手术切除,以防万一。

肺假性肿瘤可以通过X线检查、CT检查、纤维支气管镜三种方式检查出,所以并不难诊断。因此诊断出肺假性肿瘤的几率越来越高,对患者查明病情、对症治疗、消除患者顾虑有很大的帮助

养肺吃什么好?
养肺可以多吃木耳、鸭肉、蜂蜜、芹菜、百合、梨、芥菜、冬瓜、胡萝卜、银耳、葡萄、苹果、枇杷、橄榄、杨桃、糯米、薏米、豆浆、白萝卜、甘蔗、番茄等食物,这些食物营养价值丰富,不仅可以养肺护肺,还可预防肺癌和其它癌症。肺不好的朋友可以多吃这些食物,清肺除霾,减少空气污染对肺部健康的损害。
肺假性肿瘤不是肺癌,被检测出肺假性肿瘤的患者不用过于焦虑担忧,积极的配合医生治疗即可。
注:文中图片来自网络,如有侵权请联系删除