今天一早
“宇宙中心”粤海街道
又一次成为全深圳焦点
这里的居民、打工人
ssfd(瑟瑟发抖)地熬到中午
终于实锤了

粤海街道划定高、中风险地区
▽

这意味着有人确认阳性
深圳连续8天本土“0新增”破防了
上一次粤海街道这么“万众瞩目”
还是在2月25日下午
“中国第一加班楼”科兴科学园
有人“涉疫”需要排查
大部分公司让员工提前下班
数万人上演“带机跑毒”
扛着电脑主机、显示器跑路

那一刻
科兴人完美诠释了深圳的“打工人”精神
头可抛、血可流
但搞钱不能停,工作不能丢

“全国加班第一楼”的名号
真不是白叫的!

话说回来
科兴人,你们加班这么卷
真的不怕“爆肝”,不怕“心梗”吗?
有科兴人郑重回答:
不怕,我们有阜外!
▽

“中国第一加班楼”
旁边就有三甲“心梗”医院
提起阜外,心血管界无人不知。
北京的阜外医院,全称中国医学科学院阜外医院,是国家心血管病中心所在地,被称为心血管病“国家队”。
2018年10月,阜外来到了深圳。深圳市政府与这支“国家队”正式签约,委托它管理深圳市孙逸仙心血管医院,共建阜外医院深圳医院。

医院的位置,在南山区的西丽街道,但是紧挨着粤海街道,和“中国第一加班楼”科兴科学园在同一条马路,相隔1公里。
连打的的钱都省了!

就在昨天,这家医院荣升“三甲”。
8月10日,中国医学科学院阜外医院深圳医院举行“三甲”揭牌仪式,成为——
广东省首家
公立三级甲等心血管专科医院

有人问,深圳的阜外,跟北京的阜外,是一回事吗?心梗找他们,真的靠谱吗?
来看一个故事。
“蜗居”车里的夫妻
在这等来“救命恩人”
最近,深圳广电《第一现场》报道了一对住在车里的夫妻。
他们来自广东粤西的信宜,6月底来到深圳,把车停在一片荒地的路边,妻子睡在后排,丈夫阿成则蜷着身“躺”在车尾箱。
因为他们要省钱,他们的13岁儿子文韬,正住在旁边的阜外医院深圳医院,等待着救命。

图源:深广电《第一现场》栏目
医院对面的乌石头路上,有一家快餐店。老板主动让阿成一家在这免费吃饭、充电、洗澡,给儿子做饭。
路边的大汉“偷听”到阿成讲电话,二话不说塞给他200元就走,有人看了报道,开车赶来捐款1000元……

图源:深广电《第一现场》栏目
2019年11月是阿成家的分水岭。
暑假里,儿子文韬参加了军训。父亲阿成喜在心头,有这个好身体,以后干啥都行。
11月的一天,小女儿突然跑进家门,气喘吁吁地说:“哥哥走不动,晕倒了。”
阿成和老婆跑下楼,见到儿子捂着肚子蹲在地上,脸色发青,还以为是“肠胃炎”。
文韬是“留守儿童”,一直由奶奶看着长大。奶奶最先观察到,他的腿不对劲。
那次“肠胃炎”后,文韬的腿就像发面团一样胀起来,奶奶轻轻一按,立即出现一个坑,很久才能复原。

在市里的医院,主治医生看过片子说:“心大啊!”
“我们确实心太大,没有留意孩子。”阿成说,自己两夫妻一直在东莞打工,愧对两个娃。
“不是,我是说孩子的心很大。”
文韬被确诊为扩张型心肌病,心衰了。

图源:腾讯医典
心脏就像一个泵,健康的心脏,心肌(心脏肌肉)是紧实的。
可心衰时,心就像个不合格的“哈密瓜”,瓜瓢很多,瓜肉很少,瓜瓢的稀疏无法让泵动起来。
得病后两年,儿子休学在家,食量却越来越小,只能吃下1/5碗饭。阿成辞职,回到信宜做点小生意维持生活。
“医生交待过,一点小小的感冒都可能要了孩子的命。他打个喷嚏,我的心都要抖一下。”
今年6月是流感季,文韬突然发起高烧,呼吸急促。到医院一查,射血分数(LVEF)只有22,这是心衰的表现之一,正常人应该有60。
医生一句“没办法”,让父亲阿成在医院走廊里眼泪哗哗流。

图源:深广电《第一现场》栏目
“只剩心脏移植这条路了。”
阿成之前上网查过,心脏移植得看运气,即使能凑够钱,你也不知道啥时候才能等来别人捐献的心脏。
在等到之前,“人工心脏”也可能带来一线生机。他认识一个病友,刚在北京阜外医院植入了一颗人工心脏。
阿成几经周折联系上阜外的医生,恨不得第二天就赶去北京。
那边一听,赶紧“叫停”:
“不用折腾来北京,我们阜外在深圳有医院,离你们近。”

△医院未来二期三期规划图
13岁男孩
植入华南儿童第一颗“人工心”
6月27日一早,阿成一家就直奔深圳西丽,晚上8点赶到阜外医院深圳医院急诊科。
此时,文韬已经很虚弱了。
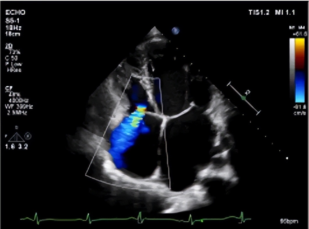
心脏里有四个房间,左心房和左心室之间的“门”就叫二尖瓣,右心房和右心室的门就是三尖瓣。
因为心衰,文韬的心脏“变松变大”,使得门框被拉大了,门关不严,血液就会反流回心脏内,泵不出去,造成全身器官血供不足,心脏负担越来越重,甚至会随时停跳。

△ 心脏超声显示:全心扩大,左、右室壁运动普遍减弱,二尖瓣重度反流,三尖瓣中度反流
“心衰让他无法平躺,只能坐着睡,右心衰加重,导致胃肠道淤血严重,基本吃不下饭。”
——阜外医院深圳医院
心内科副主任医师 朱佩
医院组织了多学科会诊,医院*党**委书记李惠君、院长熊辉主持,和北京连线。
国家心血管病中心主任、中国医学科学院阜外医院院长、阜外医院深圳医院总院长胡盛寿院士团队参加远程讨论。
反复研究后,他们决定:
先植入人工心,让患儿的心脏“躺平”休息。
“人工心脏可以完全代替或部分代替心脏做功,维持身体循环系统,保障各个脏器的供血。心脏休息几年后,心功能就可以得到有效恢复。”
——胡盛寿院士
经过心内科一个月的调理,文韬的身体逐渐缓过劲来。

图源:深广电《第一现场》栏目
心血管病“国家队”队长、心脏外科顶尖专家胡盛寿院士从北京赶到深圳,于8月9日上午主刀这台手术。

图源:文韬妈妈朋友圈
在成人心外科、麻醉科、体外循环科、手术室、术后ICU等团队的配合下,仅3个小时,一枚“人工心”(左心室辅助装置),就被植入了的胸腔里。
这创造了2项记录:
- 华南地区首例未成年人人工心脏手术
- 全国范围内接受人工心脏手术的最小患儿

图源:文韬妈妈朋友圈
这颗“人工心”也不简单,重90克,比乒乓球还小,是目前全球尺寸最小、重量最轻的磁悬浮离心式人工心脏。“中国心”,纯国产!

深圳阜外“不玩虚的”
心脏移植就做了30例
文韬的获救不是个例,在阜外医院深圳医院,“南北连线”会诊、北京专家南下早已成为常态。
北京阜外的顶尖专家,集体“传帮带”,通过门诊+会诊+手术等方式,为深圳医院输送人才、技术和理念。

深圳阜外引进的
七大“三名工程”团队
- 胡盛寿院士:
- 人工心脏及体外生命支持团队
- 郑哲教授:
- 心脏移植团队
- 李惠君教授:
- 心血管急症快速救治体系建设团队
- 潘湘斌教授:
- 结构性心脏病团队
- 颜红兵教授:
- 急性冠状动脉综合征诊治团队
- 李守军教授:
- 小儿心脏外科团队
- 李静教授:
- 重大慢病注册登记研究团队


“深圳阜外”所在的科技园片区,是中国高新技术产业的一面旗帜,这里的人不讲虚的,靠技术吃饭。
阜外医院深圳医院同样如此,用“硬实力”说话。
“国家队”接管4年来,医院成功开展了30例心脏移植手术,6例人工心脏植入手术,零死亡。
2019年至2021年,医院开展了心脏介入手术2万余台、外科手术4千余台。
外科术后十日院内死亡率逐年降低,2021年为0%。

深圳阜外创造的第一
- 全国首例心脏收缩力调节器(CCM)植入术
- 华南地区首例第三代全磁悬浮人工心脏装置植入/撤除术
- 华南地区首例基于介电成像技术的心腔内三维射频消融手术
- 华南地区首例用于肺血管炎患者的肺动脉专属Pul-Stent支架植入术
- MitraClip系统在国内获批上市后的华南地区首例临床应用
- 华南地区首例未成年人人工心脏手术
- (刷新了目前全国范围内接受人工心脏手术患者的最小年龄)
……

“大神”在身边
但希望你永远用不上
我国每年心源性猝死人数居全球之首,但心跳骤停的抢救成功率不到1%。心跳骤停的黄金抢救时间只有4分钟,停跳10分钟后,抢救的成功率几乎为0。
身处南山科技园、粤海街道的“打工人”是幸运的,在这里加班,钱比一般人多,命也比别人更有保障。毕竟,心血管病“国家队”的大神就在身边。
但是,这绝不是无节制加班的理由。

人的欲望是无穷的,但身体是有限的。
钱永远搞不完,但健康很快就会被透支。
病倒了再去找阜外的大神抢救,只是人生迫不得已的“下下签”。
“国家队”大神在身边,与其说保命,不如说是警醒。
希望有一天,“中国第一加班楼”不再夜夜加班,阜外医院深圳医院的手术室也不再“灯火通明”。
当这座城市华灯初上时,每一位打工人,每一位医护人员,都在餐桌旁,和家人谈笑吃着晚饭。
深圳人,不该只有搞钱。

图源:卫粉


-End-
「有用就点在看」
采写:郑健阳
信息来源:中国医学科学院阜外医院深圳医院