侯某,男,37岁,2009年7月诊。

(网络图片)
症见:右侧腰部肿胀,腰痛阵作,并向小腹放射,尿常规检查红细胞满视野。
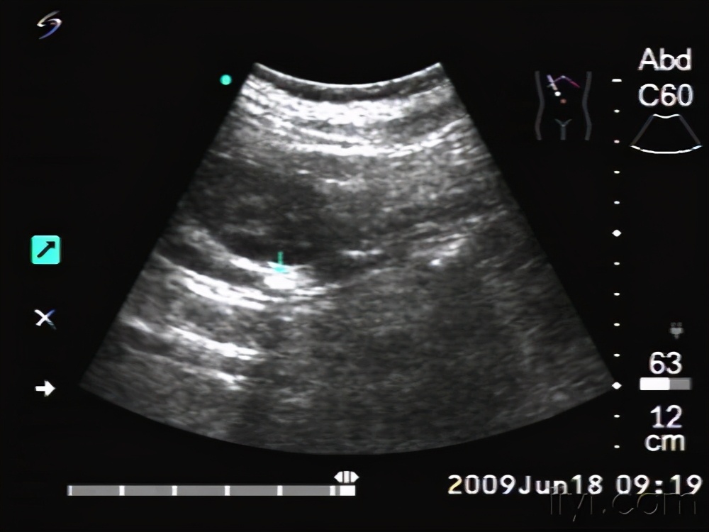
B超检查视:右肾90×45mm集合系统分离20mm ,右输尿管上端扩张12mm,距输尿管开口处20mm见6mm光团伴声影。
诊断: 右肾盂积水,输尿管扩张伴结石
治法: 温肾滑肠,通下利尿
方药:苁蓉、锁阳、冬葵子、车前子、石苇、朴硝、赤苓、猪苓(剂量因人而异),水煎服。
复诊:经服上方2个月后,某日突然尿道刺痛伴小便频数,随即排出结石一块。
小便通畅,腰部胀痛顿时减轻,复查B超“右输尿管未见结石”,尿检(-)。

按语:本例用药突出处在肉苁蓉、锁阳之温肾滑肠。
其作用可使输尿管柔软并蠕动增加,合朴硝通下增加输尿管平滑肌的蠕动。
更合石苇、冬葵子、车前子加强利尿以使结石顺利排出。

注意:上面涉及组方并不适合每一个人,要辨证施治才行。
如果有任何健康问题,需要辨证,可以咨询我,祝健康每一天。
#清风计划# #输尿管结石不能吃什么# #头条健康#