纵隔气肿是指纵隔中有空气或其他气体。纵隔气肿可分为自发性或创伤性。创伤性纵隔气肿的原因包括胸部钝挫伤或穿透性损伤,或医源性损伤(如胸部手术引起的损伤)。机械通气是气压伤和纵隔气肿的常见原因。通常认为机械通气引起的纵隔气肿是一种创伤性纵隔气肿,而非自发性。有人将自发性分为原发性(患者没有会增加气漏风险的基础肺病)和继发性(有基础气道疾病,如囊性纤维化或哮喘)。在新生儿中,发病率为1.7-2.5/1000;18 岁以下的儿科患者中,发病率为1/8000 -1/15000(不包括新生儿患者),其中被观察到有两个高峰,一个在6 个月到4 岁之间,另一个在15 到18 岁之间。诱因包括哮喘、呼吸道感染、剧烈呕吐或咳嗽、剧烈体力活动或Valsalva动作。临床表现有系统评价概述了纵隔气肿最常见的主诉症状及其大概发生率:胸痛(55%)、呼吸困难(40%)、咳嗽(32%)、颈痛(17%)、吞咽痛(14%)、吞咽困难(10%)。通常胸部X 线对于诊断纵隔气肿是有用的,但也有假阴性结果。大约30% 的患者不能用胸部X线诊断。CT 被认为是影像学检查的金标准,借助CT 可以很好的显示器官和周围组织的微小变化治疗为支持疗法,包括镇痛、休息和避免增加肺内压的动作(Valsalva动作或用力呼气,包括肺量计检查)。视情况治疗哮喘或其他基础肺病。大多数患者可在数日内恢复,没有后遗症,也较少复发。
病例介绍
患者年龄:14岁
患者性别:女
简要病史:
咽喉痛和颈部两侧突然进行性疼痛,吞咽加剧来急诊。没有哮喘。
体格检查:
皮下气肿分布于肩颈部。
辅助检查:
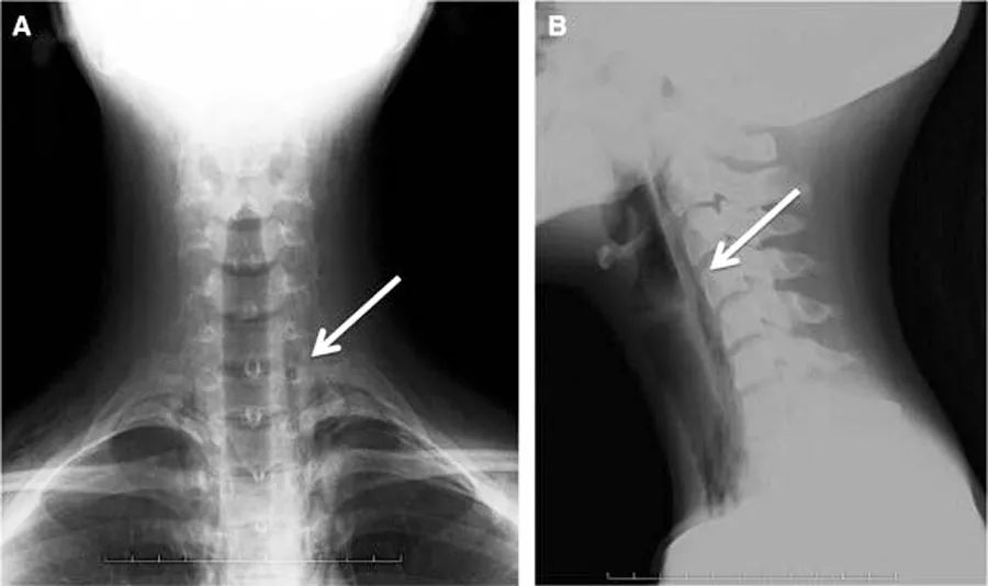
颈前和侧位X线片:气管旁和咽后间隙的漏气(图1,A和B)。

CT显示空气条纹从咽鼓管穿过颈部到前纵隔(图2,A-C)。

临床诊断:纵隔气肿
治疗经过:
卧床休息5天后,皮下气肿和纵隔气肿消失。在24个月的随访中,没有复发。
病例总结
虽然肺泡破裂是诱发纵隔气肿重要原因(黑点),包括咽鼓管在内的颈部病变漏气(红点)也会引起颈气肿和纵隔气肿。

由于空气不能越过咽基底筋膜,气肿可能扩展到咽后间隙,刺激咽神经丛,导致咽喉痛。
在遇到青少年头颈部不典型疼痛时,应将自发性纵隔气肿纳入鉴别诊断。
永军朗读
