健康科普系列(一)
原创,版权你懂的
加关注,更多健康知识免费看。

冬季天气寒冷,流感多发,很多婴幼儿(0-3岁)缺乏户外活动。
不能坚持户外活动的婴幼儿,维生素D缺乏症——佝偻病的发病率比户外活动多的高7~8倍。
尤其在北方,冬季日照时间短,紫外线弱,佝偻病的发病率更高。
作为家长,应学会判断佝偻病的体征,做到早发现、早诊断、早治疗。
佝偻病多发于3岁以内的婴幼儿,1岁以内最多见。
佝偻病在临床上主要表现为精神症状和骨骼症状。
一、精神症状
佝偻病初期主要表现为精神症状,可持续几周至几个月。
1、多汗
特别是入睡后头部汗多,与气候、室温、被子的薄厚均无明显关系。
在汗液的刺激下,患儿睡眠时经常转头,与枕头摩擦形成枕秃(片状或环状)。

2、夜惊
患儿在夜间睡眠时突然惊叫、哭喊,并伴有惊恐表情和动作:两眼直视,手足乱动等。
同时伴有心率增快、呼吸急促、出汗、瞳孔扩大等自主神经兴奋症状。
通常发作时间较短,每次发作约持续1~2分钟,并且难以唤醒。
3、易激怒
患儿可出现哭闹不安,身体用力,面部肌肉紧张等症状。
以上精神症状因患儿不同表现有所差别,但可作为佝偻病早期诊断的参考依据。
二、骨骼症状
1、颅骨软化
颅骨软化是佝偻病的早期表现,多见于3~6个月的婴儿。
主要表现为前囟门边缘软化、闭合延迟。

宝宝前囟门在出生 6 个月后逐渐骨化面积变小,到 1 周岁(最迟不超过 18 个月)闭合,被骨质取代。
后囱门在出生时已接近闭合,约在出生后 2-4 个月完全闭合。
颅骨软化的患儿,前囟门可延迟至2~3岁才闭合。
严重者出现“方颅”、“鞍状头”、“十字头”等症状。

2、出牙晚
患儿出牙可延迟至1岁,或3岁才出齐。
严重者牙齿排列不整齐,牙釉质发育不良,易患龋齿。
3、肋骨串珠
肋骨发生性状改变,也可向内压迫肺部,易患肺炎。

4、胸廓畸形
1岁以内患儿因肋骨软化,胸廓内陷,沿胸骨下缘出现水平凹沟,称为“赫氏沟”。

肋骨外翻

2岁以上患儿可有鸡胸、漏斗胸等症状。

如不及时治疗将难以自行恢复,必须通过手术矫正。
4、O形腿或X形腿
由于骨骼软化,婴儿爬行时可发生上肢弯曲,站立行走后则发生下肢弯曲。

另外,长骨骨骺端肥大,尤其是腕部、踝部,形成“手足镯”。

三、其他症状
佝偻病患儿一般发育不良,神情呆滞,行走时间较晚。
6个月以下常出现肌肉痉挛或手足抽搐,大一点的患儿可出现骨痛、骨变形等。
由于胸骨畸形,呼吸运动受阻,易发生肺部感染。
患儿也常见消化系统的功能障碍。
家长如发现上诉症状或疑似症状,应及时进行相关检查,以防延误病情。
1、碱性磷酸酶活性测定
碱性磷酸酶活性升高在病程中出现较早,在临床诊断中价值较大。
在治疗期间仍需定期检测,直至其水平恢复正常。
2、25-(OH)D3水平测定
血清25-(OH)D3水平是敏感可靠的生化指标,适用于临床症状和体征不典型的患儿。
亚临床佝偻病患儿该值显著下降,典型的佝偻病患儿该值几乎为0。
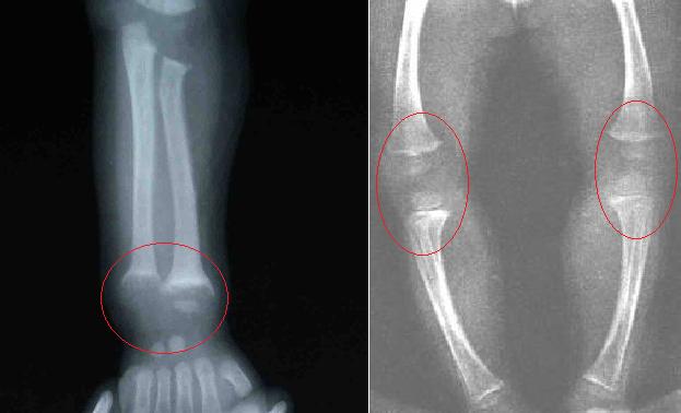
3、X射线检查
长骨发育较快,症状较明显,尤其是尺桡骨近腕关节处和胫腓骨近膝关节处最为明显。

确诊后应及时服用或注射维生素D滴剂并增加户外活动,同时也要注意钙剂的补充。
需要注意的是,切勿一时心急,给宝宝服用过量维生素D。
维生素D摄入过量可引起中毒!
维生素D中毒的剂量个体差异较大。
一般婴幼儿每日服用2万~5万单位,连续服用数周或数月可发生中毒。
中毒早期出现食欲减退、烦躁、精神不振、低热,可有恶心、呕吐、腹泻或便秘;
继而出现烦渴、尿频等;
长期慢性中毒可出现骨骼、肾、血管、皮肤钙化,影响体格和智力发育;
严重者可致死。
避免维生素D缺乏、预防佝偻病最好的方法就是增加户外活动。
生命在于运动,运动还有利于骨钙沉积。
让宝宝沐浴在阳光下,健壮成长!
独乐乐,不如众乐乐。把好文章分享给身边的人吧!