【提要】最近收治一例特殊患者,该患者几天前在腔镜下接受过肺手术,术后发现右侧胸壁缺损,且有切口疝,经妥善处理,获得了满意效果。

最近收治一例特殊患者,该患者几天前在腔镜下接受过肺手术,术后发现右侧胸壁缺损,且有切口疝,经妥善处理,获得了满意效果。
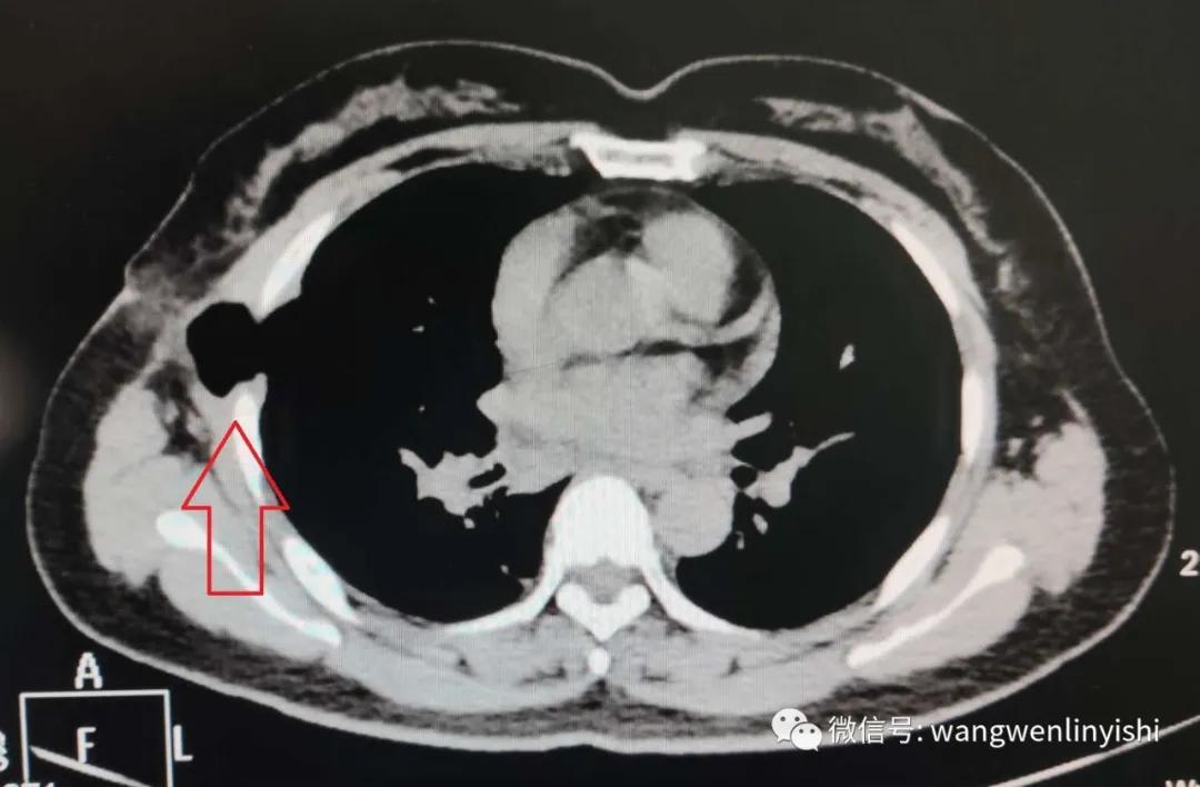
患者为中年女性,因肺部小结节在某院接受胸腔镜手术,术后患者出现剧烈咳嗽,经对症处理效果不佳入我院。行CT检查,发现右侧手术切口处有明确胸壁缺损,肺组织嵌入缺损,形成切口疝。患者诊断明确,为胸部手术后的胸壁缺损,切口疝。考虑到缺损较大,我们采用保守方法做处理。经一周治疗,症状消失。再次复查CT,肺组织回复胸腔,但胸壁缺损尚存。考虑到缺损较小,不做特殊处理,病人出院。

(右侧胸壁缺损,肺组织疝入缺损)

(胸壁缺损)
胸壁缺损是胸壁外科常见的疾病,可以为原发性和继发性。此患者有明确的手术史,且CT显示位于切口处,因此病因非常明确,为手术所致。导致缺损的原因也很清楚,应该是切口缝合不完善所致。
一般来说,胸腔镜手术后的肋间不需要专门缝合,术后很少会出现肺组织疝入切口的情况。此患者之所以出现这样的问题,主要原因有两个:其一是肋间切口过大,其二是胸壁肌肉缝合不严密。切口过大就会形成缺损,肺组织乘虚而入,最终导致严重问题。
此患者带来的启示是,胸外科手术后,切口必须妥善处理,尤其深层的肌肉,要尽可能严密闭合,都这就可能出现意想不到的并发症。
(王文林,广东省第二人民医院胸壁外科主任,微信:wangwenlinzhuren;公众号《胸廓畸形手术专家》:wangwenlinyishi)