作者:王加伟 惠州市第一人民医院
来源:医脉通授权
临床上,胸片作为入院常规检查,我们心血管医生对它再熟悉不过了。拿到一张胸片,我们能从中看到哪些专科上的异常表现呢?在此,我总结了几个方面供大家参考。
胸片检查时,循环系统的异常表现往往反映的是大血管、肺循环及各房室大小及形态的改变,不能直接显示病变本身,而只能观察这些病变引起的房室大小和形态的变化及肺血的改变。
一、心脏增大
X线所见的心脏增大包括心腔扩大、心肌肥厚及两者并存。普通的胸片不能区分这几种情况,所以统称为心脏增大。心房是容器器官,房壁较薄,当心房容量或阻力增加时,都可以表现为心腔扩大。而心室不一样,它可以仅仅表现为心肌肥厚而心腔不扩大;当体、肺循环阻力持续增加时,增粗变长的心肌纤维越来越多,逐渐导致心室壁增厚,随后出现继发心室扩大。
临床上我们常用心胸比及心脏形态(如梨形心、主动脉型心等)描述心脏增大,但实际上,详细分析哪个心腔增大更有诊断意义。
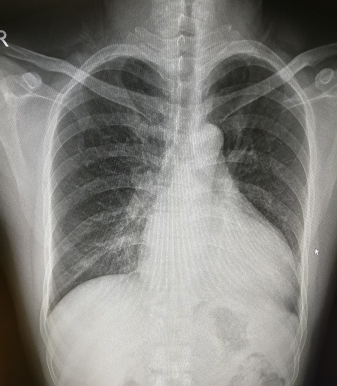
1.左心室增大
常见于高血压病、主动脉瓣病变、二尖瓣关闭不全、先天性心脏病如动脉导管未闭等。见图1。

图1 正位片见左心缘延长,心尖左下移位
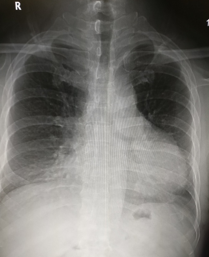
2.右心室增大
常见于心脏瓣膜病二尖瓣狭窄、肺源性心脏病、肺动脉狭窄、肺动脉高压、先天性心脏病如法络四联症等。见图2。

图2 正位片见左心缘向左侧膨隆,心尖上翘,主动脉结缩小
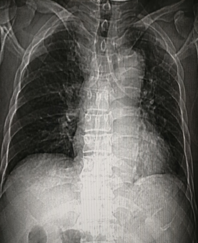
3.左心房增大
常见于二尖瓣病变特别是二尖瓣狭窄、左心衰竭、先心病如室间隔缺损等。见图3。

图3 二尖瓣换人工瓣膜后,左房增大
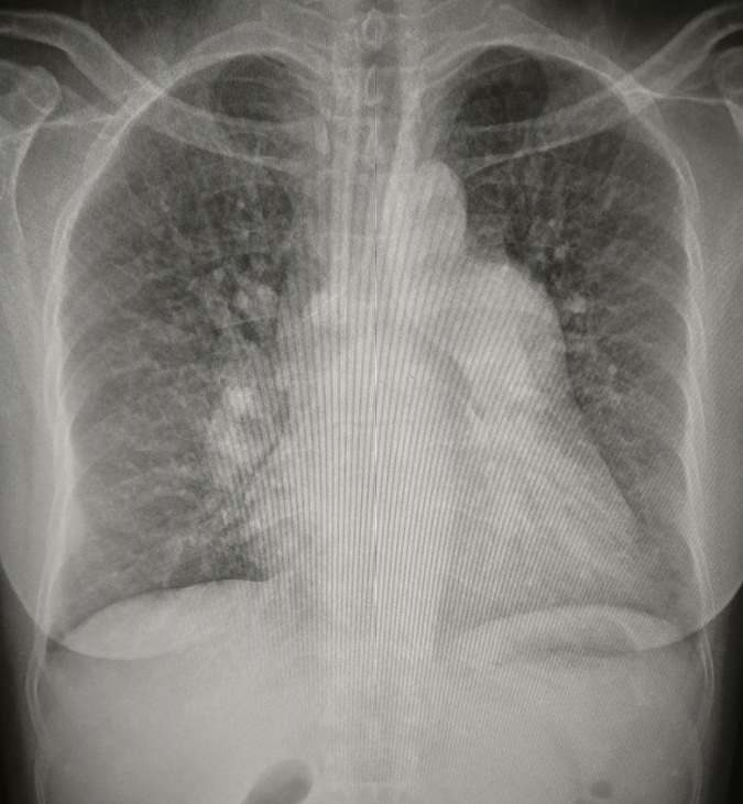
4.右心房增大
主要见于右心衰竭、先心病如房间隔缺损、三尖瓣病变等。见图4。

图4 房间隔缺损,以右房增大为主,右肺动脉干增宽,肺动脉段明显膨隆
二、主动脉异常
胸片可看到主动脉扩张、迂曲、延长及主动脉壁钙化等异常表现,当发现主动脉增宽或扩张,结合临床资料后需要警惕主动脉瘤或是夹层等。见图5、6。

图5 胸痛病人行胸部CT明确为主动脉夹层Stanford A型,此为CT检查前的透视照片,图中见主动脉弓扩张

图6 胸片见主动脉扩张、迂曲,特别是升主动脉,需注意主动脉病变,建议进一步检查
三、肺循环异常
胸片可以很好地显示肺循环改变,具体分为以下五种:
1.肺充血
肺循环血流量异常增加,主要见于左向右分流的先心病(房间隔缺损、室间隔缺损及动脉导管未闭)、甲亢及贫血等。

图7 房间隔缺损病人,胸片上见肺纹理增多、增粗,肺血增多,肺动脉段明显突出,右下肺动脉增粗
2.肺血减少
主要见于右心排血受阻疾病,如肺动脉狭窄、法洛四联症等。见图8。

图8 肺动脉瓣狭窄患者,肺动脉段隆突,主动脉弓短,肺血减少
3.肺淤血
肺静脉回流受阻导致血液在肺内淤积,主要见于二尖瓣狭窄及左心衰竭。见图9。

图9 双肺纹理增粗、增多,双上野明显,心影增大,注意心功能不全
4.肺水肿
肺毛细血管内液体大量渗入肺间质和(或)肺泡,根据渗入部位具体分为间质性和肺泡性肺水肿。
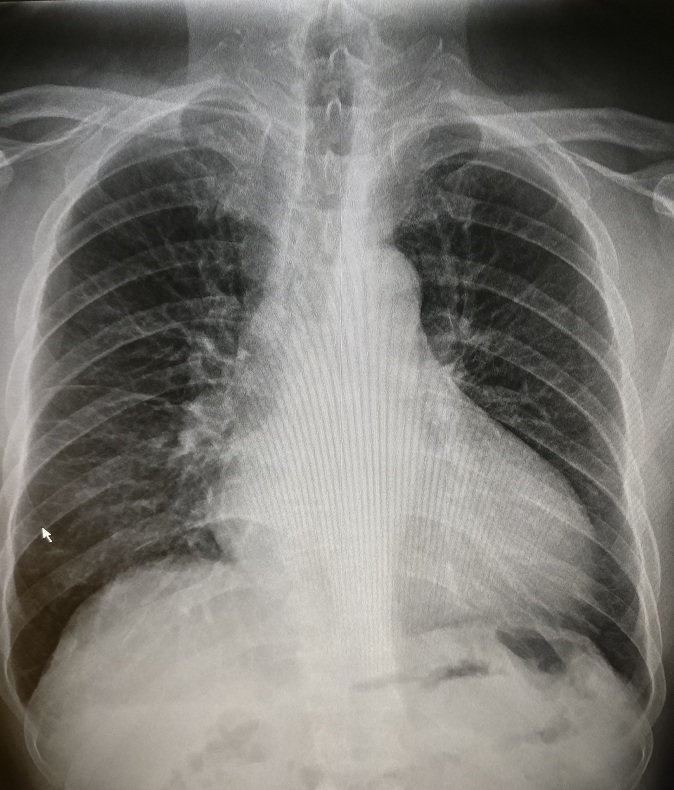
(1)间质性肺水肿:有肺淤血的基础X线改变外,可以出现肺野内的间隔线,以克氏B线常见。常常伴有胸腔积液等,多见于慢性左心衰竭和二尖瓣狭窄。见图10。

图10 双肺中下肺野外带见多发克氏B线,心影增大
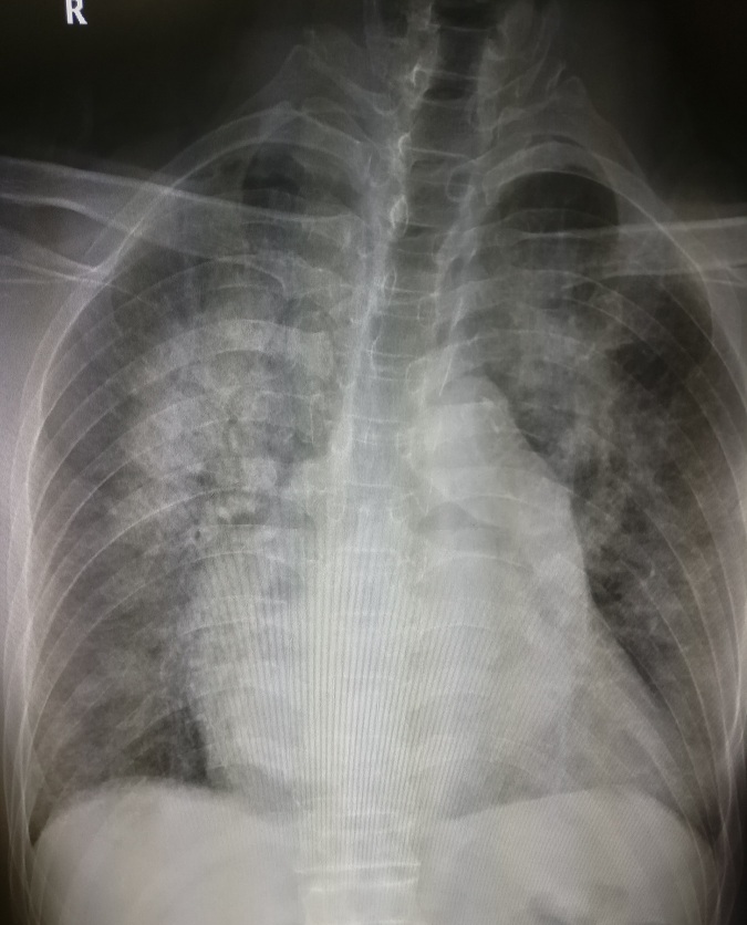
(2)肺泡性肺水肿:经常与间质性肺水肿同在,以“蝶翼状”片状模糊影为典型改变,主要见于急性左心衰竭和尿毒症。见图11。

图11 双侧肺门影增大,肺门旁“蝶翼状”模糊影
5.肺循环高压
分为肺动脉高压及肺静脉高压。
(1)肺动脉高压:肺动脉收缩压大于30 mmHg或平均动脉压大于20 mmHg,可由肺充血或是肺循环阻力增加(如肺内小血管狭窄或痉挛等)引起。可见图4。
(2)肺静脉高压:肺静脉压力大于10 mmHg,其X线表现为肺淤血或间质性肺水肿。
临床上,胸片已经是诊疗常规;当然,它给我们提供的信息可不止以上这些,只是作为心内科专科医生更需要注意到专科异常表现,这是基础技能。
参考文献:
[1] 白人驹, 张雪林, 孟悛非, 等. 医学影像诊断学(第3版)[J]. 人民卫生出版社, 2010.
[2] 郭启勇. 实用放射学[M]. 人民卫生出版社, 2007.
[3] 陈灏珠, 林果为, 王吉耀. 实用内科学.第14版[M]. 人民卫生出版社, 2013.
[4] 云昌华. 22例怪异型心脏的X线平片诊断分析[J]. 中国医学影像学杂志, 1999(2): 102-103.
【版权声明】本平台属公益学习平台,转载系出于传递更多学习信息之目的,且已标明作者和出处,如不希望被传播的老师可与我们联系删除