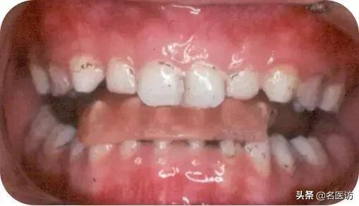
儿童乳牙 ”地包天”
怎么办?
什么是“地包天”?
专业地说,儿童乳牙期“地包天”,就是乳下前牙咬合于乳上前牙唇侧,也叫乳前牙反颌。

牙齿矫正前后
好难哦,医生你说简单点儿[・_・?]
简单说,就是下面牙齿把上面牙齿款到了,限制了上面牙齿和骨头的发育。
那有什么后果呢?
“地包天”的后果
儿童“地包天”很有阔能引起娃娃身心都受挫哦!牙齿不整齐、下巴总是往前伸,不仅看起来不好看,还要影响咀嚼功能、发音、颞下颌关节发育,最恼火滴是对好多娃娃心理健康影响大,搞得娃娃都没得自信了!
当娃娃越长越大,症状还可能加重,下巴前突,面型畸变,更严重的还可能会变成朱元璋一样的“鞋拔子脸”、“半月脸”!

牙齿矫正前后对比图
造成“地包天”的原因
地包天是什么原因造成的?
是我们当爸妈的造成的地包天哟?(⊙o⊙)
“地包天”的病因多得很,父母遗传只是其中一个,它还和先天性疾病、全身性疾病、儿童口腔不良习惯(前伸下颌、吮唇等)、不恰当的喂养方式(平卧喂养)、乳尖牙磨耗不足等各种因素有关。

哎呀不得怕,“地包天”还是阔以预防滴!
预/防/指/南
- 纠正不良的哺乳习惯。提倡母乳,使用正确的喂养姿势,约45°的斜卧位或半卧位。
- 治疗扁桃体肥大,保持口鼻腔呼吸道通畅,预防下颌前伸。
- 尽早破除口腔不良习惯,不要老是吮指头,不要总是习惯性地把下巴往前伸。
“地包天”的矫治
那我家娃儿已经地包天了,怎么办嘛?
莫急莫急,医生还是有办法的
根据娃娃不同患病情况,医生会选择不同的矫治方法(请一定先咨询医生哦!):
01调磨法
这里必须强调一哈,调磨法一定要医生进行操作,千万莫私自行动。一般情况下,两周调磨一次,1-3个月就可以纠正“地包天”了。

调磨法
02
咬撬法
没得错,就是喊你咬棍棍儿!选择压舌板或牙刷柄,每天咬撬木板三次,每次大约2分钟(约20下),每两周复诊,1-3个月就阔以有效纠正“地包天”。

咬撬法
03
上颌颌垫活动矫治器
简单点说,就是喊你把这个上颌颌垫活动矫治器戴到起。

上颌颌垫活动矫治器
04
下颌斜面导板矫治器
还是简单点说,喊你把这个下颌斜面导板矫治器戴到起。你是不是要问“那跟上面那个有啥不同嘛”?回答:因为娃娃的患病情况不同嘛!

下颌斜面导板矫治器

05
头帽颏兜
比较严重的下巴往前突,可以先前期佩戴头帽颏兜,就是下面这个看起来像个兜兜儿的东西,状况缓解后再把上颌颌垫式矫治器戴起。

头帽颏兜
06
功能调节器(简称FR-Ⅲ)
看起来是有点不美观哈,但总比一直“地包天”不美观好撒!

功能调节器(简称FR-Ⅲ)
07
前方牵引
没得错,这也是一个让你长期戴的矫治器。

前方牵引
划重点
一旦确诊“地包天”,在娃娃能配合的情况下尽早矫治,以阻断畸形加重,促进颌骨的正常发育。
儿童“地包天”的最佳矫治年龄为3~4 岁,疗程3~6个月。因为这个阶段乳牙根发育完全了,儿童也比较容易配合。
娃娃的健康和颜值
家长们一定要重视起来
早矫治、早康复!
今天的科普就到这里啦,如果大家有牙齿问题,也可以在评论区留言哦~牙齿有问题,那就关注「名医访」吧!好了,我是小美,有任何牙齿问题都可以撩我【mingyikanyahao】