今年50岁的刘女士,是一个村卫生室的工作人员。
今年八月份,积极响应上级单位的号召和安排,前往镇政府参加鲜血。当天参加鲜血的单位很多,人员众多。早早来到献血室的刘女士好不容易才排上队。
坐在医生面前,核对了一下身份证,核对了献血通知书和基本情况表,医生开始为刘女士量血压,血压显示刘女士的血压值偏低。医生就问刘女士:“有没有什么不舒服的地方?是不是血压一直很低?”
刘女士就回答到:“血压一直不高,以前体检也说偏低。”
接着医生开始为刘女士进行简单的心肺听诊。刘女士安静地端坐在板凳上,医生将听诊器放在心脏听诊区,低下头安静地聆听。

心脏听诊
过了一会,医生告诉刘女士:“您最好去大医院检查一下心脏,我感觉您的心脏有点问题。”
“不会吧,我年年体检的!”刘女士非常惊恐和惊讶。
“那您有没有仔细查过心脏呢?比如心脏彩超?”医生又反问道。
“那倒没有,就是基本的常规体检。我平时没有任何不适呀,丝毫没有感觉到心脏不舒服。”刘女士不可置信地再次反驳道。
“那您最近有没有感觉到呼吸有点吃力?感觉胸口闷呢?”医生进一步问道。
被医生这么一问,刘女士联想到自己最近确实有过胸口发闷,呼吸有点吃力的感觉。特别是工作了一段时间之后,就感觉很累。刘女士也不曾想,这难道与心脏有关系?
最终医生在刘女士的建议栏上写上不建议献血的字样。因为医生告诉刘女士,她的心脏很可能“破”了,需要到医院进行修补。
医生的这句话,把刘女士吓的够呛。
拿着建议书,刘女士若有所思、心事重重地走出献血室。认识的人都问刘女士是不是已经献过了,刘女士尴尬地笑道:“医生不给献,说我血压低。”

胸闷
回到家的刘女士就和先生说起了这个事,先生就说不放心我们就去市里面检查看看。
正好刘女士的膝盖最近很疼,就一直都想去医院检查看看,这一下碰到一起了,于是第二天一早,刘女士就和先生一道前往了市里的大医院。
到了医院医生对刘女士进行了简单的听诊,听诊发现刘女士胸骨左缘有明显的心脏收缩期吹风一样的杂音。医生结合刘女士的自诉,当时就建议刘女士进行心脏彩超检查。
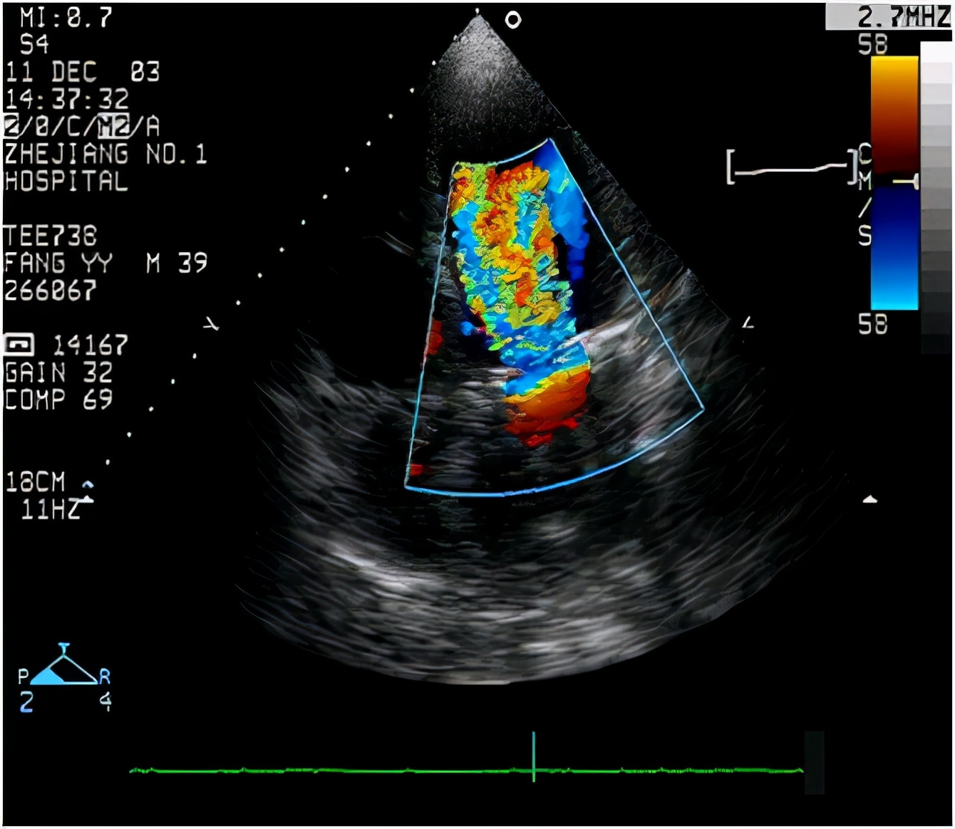
没想到心脏彩超检查时,就真的发现了问题:刘女士的右心房和右心室有不同程度的增大,房间隔中部连续性中断,缺损最大达26mm。

心脏彩超+
刘女士被确诊为房间隔缺损。而且属于缺损较为严重的等级,因为刘女士已经可以感觉到呼吸吃力,易劳累等临床表现,如果不及时手术修补治疗,很可能会导致心衰、肺淤血、心房纤颤、心房扑动等并发症,最终导致寿命缩短,发生充血性心力衰竭死亡。
听闻医生这么说,刘女士赶紧住院进行了微创手术修补术,经过半个月的调理,刘女士康复出院了。
在医院住院时,刘女士就问医生,自己儿子上网查房间隔缺损是先天性的心脏病,为什么自己这么大年纪了才发现呢?
医生解释,房间隔缺损的确是一种较为常见的先天性心脏病,一般为胚胎发育的过程中,左右心房之间的间隙不能完全关闭。房间隔缺损可单独存在,也可以合并其他的心血管畸形,一般女性多见,男女发病比例为1:3。

介入手术
至于为什么刘女士50岁了才发现房间隔缺损,医生表示,对于初期缺损很小的房间隔缺损,如果没有任何临床症状,或缺损最大间隔小于5mm,可以不手术治疗,仅临床观察。且存在一部分病人可能是后天因素导致的房间隔缺损,这就比较难以发现。
如果患者出现呼吸困难,咳嗽,乏力,活动耐量下降,很多人易误认为是呼吸系统疾病和老年性的其他疾病,几乎不能想到是心脏疾病。如果心脏房间隔缺损不能及时发现和治疗,一旦缺损面积进一步增大,左右心房反流严重,会导致严重的充血性心衰,易出现心功能不全和心律失常以及肺动脉高压,明显降低寿命。
医生同时也说,近些年随着先天性心脏病的筛检力度大大加大,很多婴幼儿的先天性心脏病都被筛查出来并及时得到了救治,但是对于中老年等后天因素引起的,就比较难以发现,这就很容易降低人的寿命,影响生命健康。
#健康科普大赛#