我的牙缝很大

在日常生活中,人们常常会有这样的困扰:吃了肉类或某些蔬菜后,不小心食物中的纤维便嵌塞在牙缝里,形成食物嵌塞,用牙刷使劲刷也刷不到,用牙签怎么剔也剔不出,让人烦不胜烦。怎么办呢?

首先我们了解牙缝为什么会变大

又是牙结石惹的祸!往下看
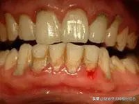
牙龈炎阶段:牙龈红肿出血,牙齿周围有牙石


早期牙周炎:除牙龈炎症外,牙周袋形成,牙槽骨轻度吸收
起初牙龈并没有什么变化,只是出血,其实牙结石正在悄悄地“吃”你的骨头。
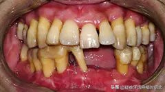
中期牙周炎:牙周袋进一步加深,牙齿松动、移位


晚期牙周炎:牙槽骨几乎完全被破坏,牙齿松动、脱落
牙周病会引起牙缝,牙缝有可能引起塞牙,塞牙也会引起牙周病,冤冤相报何时了!

牙缝☞塞牙☞牙周病☞牙缝☞塞牙☞牙缝☞☞☞掉牙

顶着满嘴的牙缝,别人会怎么看,爱人会怎么看,领导会怎么看!有没有把你看扁了!!!
如果不想去看牙医,那你就先用牙线。
此时,小小牙线就能解除您的困扰。用牙线去除牙缝间嵌塞物是最有效的方法,而且还可以明显提高口腔卫生水平,消除塞牙带来的痛苦。
另外,牙线的使用还可以通过按摩刺激牙齿周围的牙龈,增加牙龈的血液循环,从而达到预防或减少,乃至治疗牙科疾病的目的。尤其是对于种植牙患者,使用牙线更是必不可少,有研究表明,种植牙患者只要坚持在三餐之后使用牙线,能达到预防种植体周围炎的目的。
所以,外出就餐、旅游随身带上一盒小牙线能解除大烦恼哦。

我使用牙线时,牙龈会流血,我该如何避免发生这种情况?
刚开始使用牙线的人,牙龈很容易会流血。那可能是患有某种牙龈疾病的徵兆。在使用牙线一阵子以後,你的牙龈就会恢复健康,并停止流血。假如你的牙龈仍持续不断地流血,那就要赶快去看牙医。

那么如何正确使用牙线呢?牙线使用一般在刷牙后进行,取一段长约20~625px的牙线将两端打结形成一个线圈。用双手食指和母指绷紧长约1~37.5px的一段,将绷紧的牙线沿牙齿的颊舌方向做拉锯式动作,将牙线上下移动,刮除牙面上的菌斑。重复4~5次,清水漱口或再次刷牙。使用牙线时切勿用力过大,以免损伤牙龈。要用不同节段的牙线进入不同的牙缝内, 保持始终以清洁的牙线去除邻面菌斑。
下图为牙线的用法


