
小尹是个可爱的又活泼的小女孩,一直跟在爷爷奶奶身边,本应无忧无虑的时光,可却在这一刻被打破。
昨日下午,小尹像往常一样在客厅里玩耍,奶奶在阳台外晾晒衣服,爷爷在厨房里忙活一家三口的饭菜。
时间匆匆,也就是爷爷奶奶不在身边的这一小会,小尹像往常一样在客厅里欢快的跳来跳去,一会跳到椅子上,一会跳到沙发上……可以想象,这在有孩子的家庭中,是多么稀松平常的事。
只听见“咚”的一声,然后就传来小尹的哭声,奶奶跑进来一看,发现小尹躺在沙发旁的地上哭喊,并且用小手摸着后脑勺,哭闹一会小安静,因此,奶奶并没有过多的注意,因为觉的沙发不高,最高才50cm,觉得应该没有问题的,于是就让小尹继续自行玩耍了。
谁曾想到,今日早上爷爷奶奶就发现小尹出现持续的抽筋,叫都叫不应,手脚僵直并一直抖动,而且口吐白沫,奶奶当下被吓的瘫软在地,幸好爷爷马上抱起孙女就往外冲,路上遇到好心的邻居开车赶忙往就近的医院急诊科去。
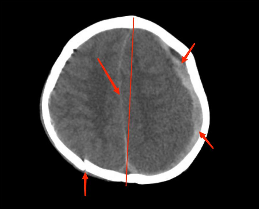
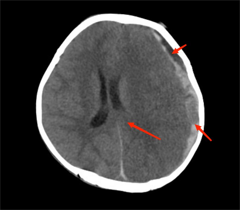
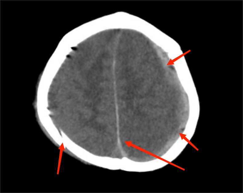
在急诊抢救室,医生发现小尹“双侧瞳孔不等大,对光反射消失”,结合昨天下午她有“摔伤后脑勺”病史,医生判应该“急性颅内出血所致脑疝可能”,紧急查头颅CT提示“硬膜下血肿可能,大脑镰下疝、左侧颞叶钩回疝可能,大脑镰、小脑幕密度增高,蛛网膜下腔出血,枕骨、顶骨骨折,头皮软组织稍肿胀”,考虑“考虑创伤性脑疝”。




因为父母不在身边,爷爷奶奶又六神无主,紧急和其父母电话沟通后,爷爷奶奶代签字后急诊医生马上对小尹进行“脑膜切开伴硬脑膜下腔血肿清除术+筋膜成形术+颅骨去骨瓣减压术”等处理。手术过程顺利,但是未来如何,还要继续住院观察。但是,这对于充满自责和愧疚的小尹爷爷奶奶来说,已经是个好消息了。
真心希望小尹早日且不留后遗症的康复!