我认识的一个朋友,最近因为反复胃痛不见好转,诊断为浅表性胃炎住院了。这几年,她胃一直不好,饭后经常的嗳气反酸,也有看过医生,诊断为浅表性胃炎,吃过一段时间药后,觉得症状有所缓解,就会自行停止。
经常反复,不厌其烦。这次入院,是因为病情加重,不得不入院观察了,她打电话向我抱怨, 为什么浅表性胃炎,总是反反复复那以治愈呢 ?

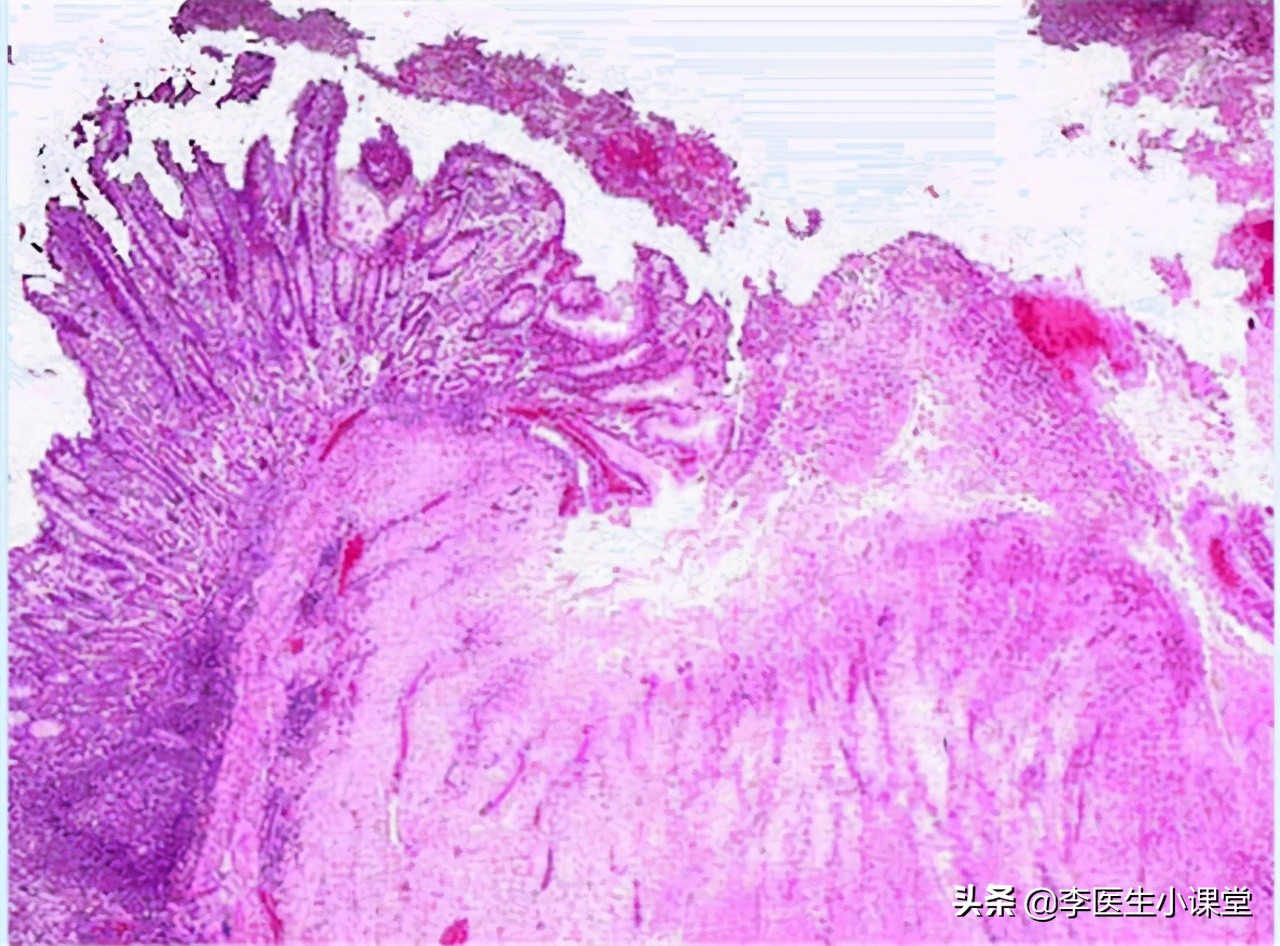
浅表性胃炎 ,又称为 慢性浅表性胃炎 ,是一种很常见的慢性胃炎。是在相关的致病因素作用下,胃黏膜发生以淋巴细胞浸润为主的,可能伴有糜烂、胆汁反流的慢性炎症。
其实临床上,大多数人去做胃镜,都会检查出有慢性浅表性胃炎。而其中有一部分原因,是功能性消化不良或者是非溃疡性的消化不良,并不是胃黏膜真正有了严重的表现。所以 并不是所有的慢性浅表性胃炎,都需要医治 。

要想治疗慢性浅表性胃炎,我们要了解它的诱因,从而一一对症进行根治。 慢性浅表性胃炎的相关致病因素,有哪些呢 ?
1.幽门螺旋杆菌(Hp)感染
幽门螺旋杆菌 ,是慢性浅表性胃炎发生的 最主要的原因之一 ,感染率在50%以上。就如同我们普通的感冒一样,人体感染细菌或病毒,自身免疫系统不敌,导致胃黏膜的受损,并且最终诱发局部组织的损伤。

2.不良的生活习惯
吸烟、嗜酒,饮茶(或咖啡),刺激性食物,还有不良的饮食习惯 等,这些都有可能导致浅表性胃炎。比如辛辣、粗糙的食物,有可能会破坏胃黏膜;而不规律的饮食习惯,过饥或过饱,也很有可能造成胃黏膜的损伤。
3.药物影响
水杨酸制剂,皮质激素类、保泰松、洋地黄类 ,特别是非甾体消炎药,长期使用,会引起正常机体的异常反应。可能会导致慢性的胃黏膜损害,不过一般情况下,药物引起的浅表性胃炎,停药一段时间后会自行恢复。
4.胆汁或十二指肠液反流
胆汁或十二指肠液反流入胃,破坏了胃黏膜屏障,使氢离子、胃蛋白酶反向弥散至粘膜内,引起一系列的病理变化,最终造成胃黏膜的损伤,形成慢性胃炎。

5.心理因素
紧张,焦虑,抑郁等 负面情绪 ,会导致交感、副交感神经功能的失衡,造成内分泌和多种器官的紊乱,最终导致了胃黏膜的损伤。
以上几种原因中, 幽门螺旋杆菌 是 引起浅表性胃炎的最主要的因素 ,也是很多胃病的罪魁祸首。
临床上针对幽门螺旋杆菌引起的慢性浅表性胃炎,通常采用 四联疗法 : 两种抗生素+黏膜保护药(铋剂)+胃酸分泌抑制药(拉唑类) 。4种药物联合应用14天,然后停药四周,后进行幽门螺旋杆菌的复查,转阴后即可停药。四联疗法的应用,明显提高幽门螺旋杆菌的清除率,抑制溃疡的发生,降低了慢性浅表性胃炎的复发率。
既然四联疗法能够治疗慢性浅表性胃炎,那么为什么临床上还有那么多的浅表性胃炎患者,并且反反复复,不容易治好呢?
首先 ,幽门螺旋杆菌只是导致浅表性胃炎的一个因素,并不是唯一的; 其次 ,我们日常的生活,存在太多的诱因和变数,这些是无法预测的。
现在我们能做的,通过尽量认识这些因素并规避,尽可能减少浅表性胃炎反复发作。
导致浅表性胃炎反复发作的因素有:
1.我们知道浅表性胃炎的临床表现并不明显。
有时候患者甚至没有任何的临床表现,而另一些则表现为上腹痛,腹胀、餐后的饱腹感,食欲减退等消化不良的症状。
没有明显指征的症状,可能会被我们忽视 ,或者是单纯性的,当做只是消化不良。身体给我们发出的预警,被我们不当回事儿忽略过去,而等有明显的指证出现时,我们的身体已经受到更大的伤害了。
2.不良生活习惯难以改变。
现代人的生活工作压力大,往往会通过吃喝玩乐,来分担一部分的压力。吸烟、喝酒,喝咖啡,吃刺激性的食物、暴饮暴食等。
吃饭过程中的不良习惯 ,比如吃的过快,食物还没有嚼碎就咽下去,很容易损伤消化道黏膜,引起慢性炎症。吃得过饱,使胃长期处于工作状态,容易造成胃动力下降,胃功能失调。

这些不健康、不规律的生活习惯,我们都知道是隐形的“杀手”,却难以改变。一方面,长久形成的习惯难以改变,另一方面,工作生活不允许,所以生活习惯的改变,是最容易也是最难的。
3.心情因素
中医讲“郁伤肝”,其实 心情抑郁伤的不只是肝,胃也容易受影响 。很多人都深有体会,如果生闷气或者是受到委屈时,心里就会堵得慌,不想吃饭。
不良的情绪 ,还可能会影响我们人体的植物神经系统功能,导致胃中分泌过多的胃酸和胃蛋白酶,使胃黏膜屏障受损,最终导致胃黏膜的损伤。这是心理层面,影响到了我们的生理层面,所以我们 要注意日常生活的心情管理 ,不要长期被负面情绪所控制。
4.胃植物神经紊乱
前面我们讲到,浅表性胃炎的相关致病因素有很多,也比较复杂。 有一些因素可以通过相关的检查能够确诊,而有些则不可以 。
胃植物神经紊乱 ,又称为 胃神经*能官**症 , 是功能性的疾病,也是导致浅表性胃炎,反复难以治愈的一个主要原因 。胃植物神经紊乱的出现,除了不规律饮食导致外,还有可能是心理因素,比如负面的情绪,可能通过大脑皮层引起下丘脑功能紊乱,最终导致胃肠道功能的失调。

现在的医学水平,还 无法通过仪器检测出胃植物神经紊乱 ,所以这一原因,很容易被医生、患者忽视。
以上就是浅表性胃炎反复发作,难以治愈的主要因素。其实说白了, 大部分胃病包括浅表性胃炎,反复发作,难以治愈,很大一部分原因,是人自身“作出来”的。
日常生活中,尽量 保证规律的饮食习惯和作息习惯,不要乱用药物,保持一个稳定良好的心态,定期体检,积极锻炼 。学会保护自己的胃,有一个健康的消化器官,我们才能吃嘛嘛香,更好的享受生活的美好。