#非常病例#
想起十年前碰到的一个病例:
五岁男孩,感冒发烧嗓子疼,父母赶忙送医院。医生看完觉得就是上感无大碍,建议回家吃药多喝水,可父母爷爷奶奶看孩子烧得无精打采,心急如焚,要求输液治疗。
医生哪敢得罪这一大家子人,也不敢保证吃药一定能好。万一转成肺炎,难保挨骂。无奈开药输液,本想开点普通青霉素,爷爷反对,我孙子要用好药!医生只好开了菌必治,一家人才满意了。
男孩输了三天,烧*退倒**了,可肚子疼,没胃口还恶心。一家人又找医生,医生也不敢大意,万一是阑尾炎呢?做个全腹部彩超吧。
腹部彩超显示,阑尾没事,但胆囊里有好多结石。大家都很稀奇,这么小的孩子怎么长这么多结石,难道不成是胎儿期就有的吧。
胆结石!全家人感觉天都塌了。儿科医生不敢耽搁,马上转外科治疗。外科医生问了病史查完体,拿着彩超报告左看右看,胆囊里确实有不少石头。怎么办?外科医生也犯难了。
按说切个胆囊,对外科医生来说小菜一碟。可孩子这么小,人生才刚开始,切除胆囊会经常腹泻,影响发育怎么办?先保守治疗继续消炎看看。
又输了三天,孩子腹痛恶心症状还是不缓解,家人也顾不了那么多了,要求赶快手术。
外科医生也下了决心。可上手术前还是不放心,这么小的孩子长这么多结石也太夸张了吧,为了保险再复查个彩超。于是带着患儿找我,让亲自给看下。
彩超显示,胆囊里确实有很多结石样的东西,但感觉发粘聚成团,而且超声能显示全貌,又不象结石一颗一颗那么硬实。
仔细问病史,孩子发病时并无腹痛,只是上感症状,烧退才腹痛,并不象胆结石是发热腹痛相伴的。
不合常理定有其它原因!
看着这些“胆结石”,突然想起前不久看到的病例报告:输菌必治能引起胆囊药物性结石,停药后自行消失。莫非是…一问,果然也输了菌必治!
虽然心里确定了不少,跟医生和患儿家人解释考虑药物结石可能性大,但我也不敢说死,也没把握结石一定能溶解排出去。外科医生之前也没听说过和遇到这样的病例,好在非常信任我,决定先停药观察。
停药两天后,患儿突然剧烈呕吐,最后吐出一些黄绿色胆汁。吐完后,腹痛恶心大为好转。
外科医生亲自带他又来找我复查彩超,胆囊里的结石不见了!让患儿来回翻身多次,查看了胆囊的各个角落也是如此。
患儿全家庆幸又高兴:胆囊保住了!只有我和外科医生后怕:万一没复查手术了…
胆囊药物性结石,在用菌必治之前没有太多报道,所以好多医生并不知道。
菌必治药品名叫头孢曲松钠,是第三代头孢菌素类抗生素,用于呼吸道、胆道、泌尿系敏感菌感,剂型为注射液。
头孢曲松在人体内不被代谢,约40%的药物以原形自胆道和肠道排出,60%自尿中排出。
说明书中常见不良反应有腹痛、腹泻、恶心等,罕见副作用有症状性头孢曲松钙胆囊沉积,小儿泌尿系结石,小儿急性肾衰。
菌必治引起的药物性结石主要成分是头孢曲松钙盐的颗粒物,据临床报道,25%~45%的患者使用菌必治后胆汁瘀积胆汁酸减少,形成头孢曲松钙盐聚合物,有的还有少量胆固醇和胆红素。不仅小儿多发,成人也时有发生。
可见临床报道引起药物结石的比率根本不是说明书中的罕见!
头孢曲松钙盐沉积物最快出现在给药后第2天,最快消失是在停药后第11天。停用后,恢复正常浓度的胆汁酸溶解头孢曲松钙盐,于是结石消失。因此,有人把头孢曲松引起的结石叫做假结石或可逆性结石。
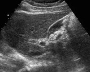
头孢曲松钙结石超声表现为泥沙样、不规则形、块状都有,但有时较粘,一般比真结石后方黑影淡,比真结石更易显示全貌。

(头孢曲松聚合物形成的胆囊假结石)
肝脏产生胆汁,胆汁由胆固醇、胆汁酸和胆色素组成,在胆囊内处于浓缩状态储存。如果胆固醇与胆汁酸浓度和比例发生改变,造成胆汁淤滞就形成结石。
胆结石分为:胆固醇结石、胆色素结石、胆固醇胆色素混合结石。胆色素结石含钙质,一般较硬,呈块或砂砾状。胆固醇结石较酥脆、呈块或细沙状。
这是真结石,并不会自行消失,也不易排出,因为结石较硬,进入胆管内刺激胆管痉挛收缩引起梗阻。超声只能显示结石表面而无法穿透,所以真结石后方是深的黑影。不管结石是沙状还是块状,都比较清爽。

(胆囊真结石)
超声是诊断胆结石的最准确手段,诊断率几乎达百分之百。但超声不能分辨出胆结石的成分,这就让药物结石有了可乘之机。
并不是所有的药物结石都象菌必治形成的可以溶解排出,排不出去的药物结石最后就成为真结石。
药物结石常给医生挖坑,时有超声报胆结石,外科切开胆囊干干净净的事发生。外科医生无法解释,超声医生百口莫辨,患者则大闹要求赔偿。
临床医师应注意不要对胆结石患者仓促手术,向患者说明多次复查超声的必要性。避免患者不必要的治疗和手术,从而避免由此引发的医疗纠纷。
除了菌必治,还有雌激素如避孕药,非甾体抗炎药(如阿斯匹林、布洛芬),治疗冠心病的潘生丁,全胃肠外营养药、一些抗凝药和环孢菌素等都有可能形成药物性结石。
理论上经胆汁排泄或影响胆囊收缩,干扰胆汁代谢的药物都有可能引起药物性结石,所以,一定还有大家不知道的药物。
“是药三分毒”,老话没错,千万别靠吃药保命。