刘叔今年近50岁,自小居于东北山区,从他十几岁起就被关节肿痛所困扰,发病后举家搬迁至山东,后来病情基本稳定,但是手、足、踝部的关节还是会疼痛,需要上医院做一些对症治疗。这次,在门诊遇到了刘叔,看片子觉得不像常见的骨关节病,询问病史得知他在十几岁时就已经确诊大骨节病。

大骨节病又叫算盘珠病、柳拐子病、Kaschin-Beck病;是以关节软骨、骺软骨和骺软骨板变性坏死为基本病变的地方性骨病。大骨节病在国内主要分布在东北、西南的山区和半山区。本病多发于儿童和青少年,成人很少发病,无明显的性别差异。本病常常多发、对称性侵犯软骨内成骨型骨骼,导致软骨内成骨障碍、管状骨变短,继发关节变形。手、足和踝部发病率高。临床表现为关节疼痛、增粗变形,肌肉萎缩,运动障碍。

病因不清,可能与硒缺乏、粮食镰刀菌T-2毒素及水中腐殖酸含量有关。少年时期发病,由于骺板提前骨化,使发育出现障碍,体型矮小、关节粗大,伴疼痛及活动受限,以踝关节发病最早。因骺板融合速度不一致,双下肢往往出现膝内翻,膝外翻或髋内翻畸形。发病年龄愈轻,畸形愈重。若青春后期发病,则畸形不明显,主要表现为骨关节炎症状,关节肿胀,有少量积液,有时还可见关节游离体。成人下肢发病多,因踝、膝肿胀疼痛,活动受限。
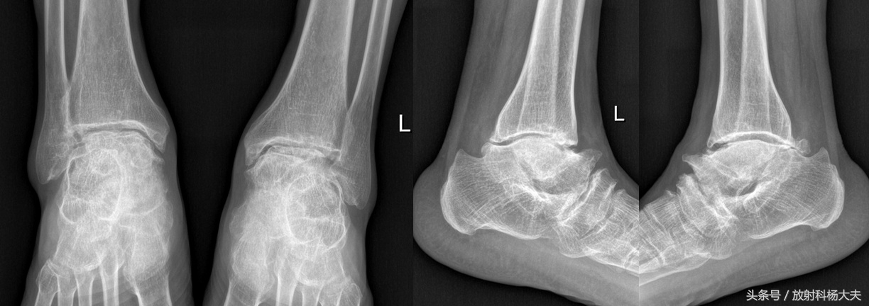
X线表现早期干骺端凹陷硬化增宽,边缘欠光整,骨骺边缘模糊凹凸不平,骨骺、干骺端提前愈合。骺线闭合后,骨长径停止发育而变短,骨端增大变形,关节面下见多发囊状骨质破坏区,关节间隙狭窄,见关节内游离体。手部:掌指骨改变常见而多发,多发生于近节及中节指骨;表现为骨端粗大,关节面欠光滑,关节面下囊状骨破坏。踝部:踝关节粗大, 胫距关节、舟距关节边缘硬化,骨刺形成。距、跟骨损害,常见且有特征,距骨颈缩短、体积小而密度高、滑车低平、头部上翘、跟骨变小而短,足弓扁平、足弓及跟骨角变小(见下图)。

目前,西药治疗大骨节病主要是针对其可能的病因治疗或者运用非类固醇抗炎止痛药来减缓关节疼痛及疾病进展。大骨节病晚期可采取手术治疗:如经皮骨穿刺减压、关节清理、人工关节置换、关节融合等。
(文 史珊)