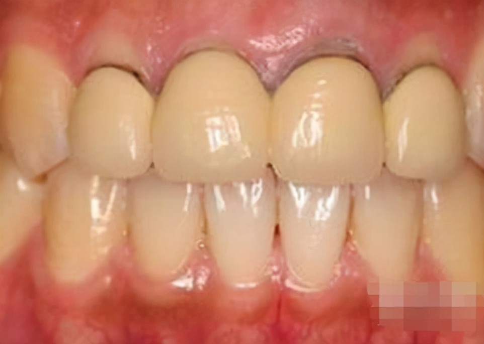
在临床案例中经常可以看到,镶了烤瓷牙的患者,几年发现牙冠边缘变得黑黑的,怎么刷都刷不掉,无奈只能来求助医生了。
这样的情况,究竟是怎么回事?要怎么修复,是否要重新更换一副牙冠?

首先了解下,牙冠的边缘为什么会发黑?
一般造成牙冠周围发黑有两个可能性,牙肉萎缩或者是牙冠内金属成分的游离造成染色。而牙肉萎缩和口腔健康息息相关,需要进行针对性的治疗才能缓解;另外金属游离造成的染色,属于美观问题,视情况处理。 ①牙肉萎缩:如果牙肉发生萎缩,会导致金属烤瓷冠内部的金属材料外露,所以看起来黑黑的影响美观。而造成牙肉萎缩的主要原因是牙周病,或者没有掌握正确的刷牙方法,天生牙龈较薄的人也会容易发生牙龈萎缩。

2、不良修复体:若选择的烤瓷牙材料不好,生物相容性差的话,会对牙龈周围组织产生不良刺激,从而出现烤瓷牙过敏、腐蚀、金属离子渗出等现象,进而引发牙龈炎、牙周炎、龈缘黑线、口腔异味等问题。

在我国,普通烤瓷牙的价格相对较低,所以应用得也比较多,但这样的烤瓷牙也存在着比较明显的缺点,比如:边缘密合性差、生物相容性差,大部分患者佩戴一段时间后,牙龈边缘会出现明显的“黑线”。而烤瓷牙一般在使用3—5年后会开始出现各种症状,如崩瓷、脱落、咀嚼无路、牙龈变色,甚至引发牙龈出血、牙周病变等。
以上的这些情况均属于烤瓷牙修复失败,而牙冠边缘发黑是比较常见的,这样的情况一旦出现,应该及时回院复诊处理,避免二次伤害。

那么,针对做了烤瓷牙后出现异常应该怎么处理呢?以下几个“应急”措施可以了解一下!
1、保住牙根
若做了烤瓷牙修复的牙齿出现发炎、松动等症状,应及时检查,确认牙根的健康状态。
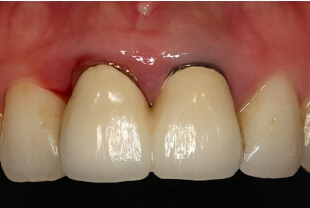
2、消除牙龈黑线,防止牙龈萎缩
烤瓷牙冠边缘与牙龈是否足够密合,是判断烤瓷牙修复是否成功的重要标准。如果密合不佳会使细菌进入牙龈与牙冠之间的缝隙内,从而引起牙齿发炎、牙龈萎缩、牙龈发黑等。

3、选择好的牙冠
建议做牙冠修复时,尽量选择价格中等偏上、生物相容性较好、对身体无害的修复体材料,如全瓷牙冠或仿生材质,这样可以最大限度的避免选材不当造成的烤瓷修复失败。
4、牙周护理
若烤瓷牙修复失败的患者,牙周一般都会出现一定程度的病变,这时候要及时得到专业口腔医院进行牙周治疗,牙周护理,确保牙齿的基本健康。
