【多学科会诊病例】
以下为一位肺鳞癌患者经过二个方案化疗后,疾病进展、不耐受继续化疗。三线“PD-1抗体+安罗替尼”治疗, 2周期后肿瘤明显缩小:

患者郑WD,男,46岁,吸烟20余年,平均20支/天。2018年10月因“咳痰、胸闷20余天”在当地医院就诊,胸部CT发现右上肺占位。支气管镜病理活检(2018.10.24):鳞癌, PD-L1高表达(+约90%)。

PET-CT示(2018-10-28):右肺上叶近肺门软组织肿块代谢不均匀活跃,远侧肺组织不张;右侧锁骨上/下及纵隔(2R)和4L 小淋巴结淋巴结代谢稍活跃。

一线、二线化疗经过:
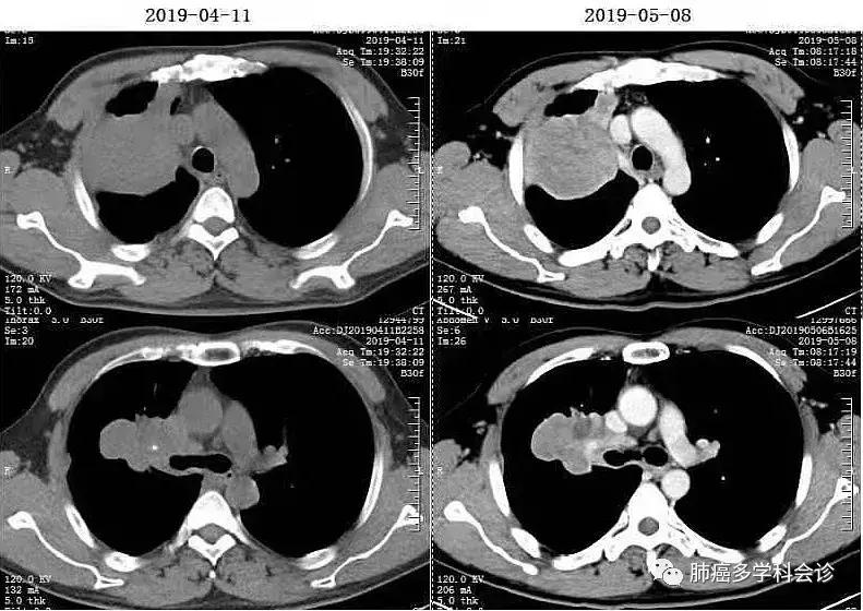
2018.10.28 - 2019.03.22,在呼吸科接受一线化疗:“吉西他滨+奈达铂”× 6周期,最佳疗效PR。2019-04-11复查CT,示疾病进展:

2019.4.12复查CT示病情进展,二线“多西他赛+奈达铂”化疗1周期。2019.5.8复查CT,提示病情稳定。患者不能耐受继续化疗。

免疫治疗+抗血管生成治疗:
患者同意参加“PD-1抗体(国产某公司生产)+安罗替尼”治疗NSCLC的临床试验(研究者发起)。于2019-05-09 开始进行“PD-1抗体+安罗替尼”治疗,之后不久,患者自觉双眼胀痛、心悸。2019-06-01查T3、T4均明显升高,抗甲状腺过氧化物酶抗体239.40IU/mL(0-155) ↑,抗甲状腺球蛋白抗体273.80IU/mL(0-34) 。彩超:甲状腺弥漫性回声改变伴血流增多,颈前VI区淋巴结肿大。
免疫性甲状腺炎、甲亢,请内分泌专家会诊,建议口服:“甲巯咪唑” 10mg qd。服药至2019.6.27。
暂停"PD-1单抗+安罗替尼"治疗。
2019.06.28复查:T3和T4均下降,TSH明显升高,遂停用“甲巯咪唑”,开始口服“优甲乐”。
于2019.6.29(距第1周期51天)进行第二周期“PD-1单抗+安罗替尼”治疗。
2019.7.31(治疗2个周期后32天)复查CT,肿瘤明显退缩,疗效评价:PR。

于2019-08-01(距第2周期33天)进行第三周期“PD-1单抗+安罗替尼”治疗(因患者推迟返院日期)。
患者免疫治疗期间发生了甲亢和随后不久发生甲减,以下为血清T3、T4和TSH在短期内变化:




【讨论】
免疫检查点*制剂抑**与抗血管生成的两类药物联合在肝癌、肾癌和结直肠癌等多种肿瘤都展示了强大的抗肿瘤功效,在肺癌方面也同样有着不俗的表现。该患者PD-L1高表达,提示会对免疫检查点*制剂抑**会有较好的反应,三线治疗仍在短期内使肿瘤大幅退缩。由于患者经过化疗后体质较弱、发生甲亢(有症状)和其他原因,都没能按计划每 3周重复,治疗间隔较长且不规律。在真实世界这种情况较常见,但愿这种“不规则”治疗在保证患者有较好的生活质量的同时,没有明显影响这种疗法的疗效。
患者在免疫治疗开始后不久就出现了免疫性甲状腺炎,第一周期后就发生了甲亢,来得快去也快,短期已转化成甲减。在补充甲状腺素方面又显得剂量不足,造成TSH持续升高。就此患者而言,当初在出现甲亢时,如果没有口服甲巯咪唑,有可能会减轻随即发生的甲减的程度。
目前该患者的影像检查还没有发现远处转移,在必要时机给予放疗治疗,在肿瘤较小时进行放疗有可能充分发挥局部治疗的优势。
国内有一项小样本的“安罗替尼联合信迪利单抗”治疗晚期NSCLC研究,在22例可评价疗效的晚期NSCLC患者中,“安罗替尼联合信迪利单抗”的有效率(PR)高达 17/22 (77.3%),疾病控制率高达100.0% (22/22)
帕博利珠单药一线治疗PD-L1高表达者的有效率达到了44.8%(Keynote 024),但该药三线治疗的有效率就不得而知了,该国产PD-1抗体三线单药治疗PD-L1高表达NSCLC的疗效也没有数据可查。安罗替尼三线治疗NSCLC (ALTER0303研究)的有效率接近10%,mPFS比安慰剂延长3-4个月(5.37 vs 1.4月)。该患者肿瘤退缩幅度大,PFS已有3个月,在当下的时间节点上评价该患者的临床获益,应该是两种药物共同作用的结果。
免疫检查点*制剂抑**引起的甲状腺问题常表现为(亚临床)甲状腺功能减低,大多数情况下可以继续免疫治疗,部分患者需要补充左旋甲状腺素。也有少数患者在免疫治疗后会出现甲状腺功能亢进,此时,需检测甲状腺过氧化物酶抗体(TPOAb)及促甲状腺激素受体抗体(TRAb)以鉴别诊断。对于无症状的甲亢患者可以继续免疫治疗;必要时可服用普奈洛尔 10-20mg q4-6h,直至甲状腺毒症消失;每4-6周复查甲功,如果甲功恢复正常,则无需进一步治疗甲亢;如果甲亢持续存在,则应行甲状腺摄碘率检查以明确是否合并Graves病;多数甲亢患者最终往往会演变为甲减,此时需补充左旋甲状腺素将TSH维持在正常水平。
温馨提示:有关肿瘤问题可以点击左下方“了解更多”或私信免费咨询,平时身体有其他不适的话,都可以咨询我。↓↓↓