一、病历摘要
患者,男,80岁。2013年7月18日因“排尿困难2月余”就诊某三甲医院,查PSA 14ng/mL,盆腔MRI示前列腺9点及4点方向结节影,侵犯双叶,考虑前列腺癌。建议活检,患者担心不良反应,拒绝穿刺。此后定期复查PSA逐渐升高至23ng/mL。经反复与其说明穿刺获取病理的重要性,患者同意穿刺,2013年11月19日行前列腺穿刺活检提示腺泡腺癌;Gleason评分4+3=7。全身骨显像:①右侧第8前肋及左股骨大转子放射分布浓聚;②L4椎体及右足部异常放射性浓聚,考虑退行性病变。
【既往史】有心房颤动病史。
【临床诊断】前列腺癌(T2cN0M0,Ⅱ期)。
【治疗过程】
1.内分泌治疗
患者因心房颤动拒绝手术,给予“比卡鲁胺50mg口服1次/日+注射用醋酸亮丙瑞林3.75mg皮下注射1/4周”内分泌治疗。2014年10月31日复查PSA下降至0.18ng/mL。考虑治疗有效,故按原方案继续治疗。2014年12月患者PSA呈持续性升高。
2.根治性放疗
2015年8月7日PSA升高至1.08ng/ml,睾酮16.74ng/dl。复查盆腔MRI示:前列腺7点方向结节影,考虑前列腺癌。全脊柱MRI示颈椎、胸椎及腰椎退行性改变,颈3-4、颈4-、颈5-6及颈6-7椎间盘膨隆,腰4-5及腰5-骶1椎间盘膨隆。考虑内分泌治疗效果不佳。
2015年8月24日给予前列腺癌根治性调强适形放射治疗,考虑患者病灶局限于前列腺内,80岁高龄,为提高生活质量,不予盆腔预防照射,不良反应轻,靶区包括前列腺及双侧精囊,肿瘤照射剂量 72Gy/1.8Gy/40f。
放射治疗过程予以“注射用醋酸亮丙瑞林3.75mg皮下注射1/4周+比卡鲁胺50mg口服1次/日”联合内分泌治疗。放射治疗结束复查PSA 1.620ng/ml,此后定期复查,病情稳定,继续内分泌治疗。
2016年3月复查PSA0.27ng/ml ,2016年12月复查PSA 0.64ng/ml ,2017年2月17日复查(图1)PSA:1.62ng/ml,睾酮17.77ng/dl,2017年5月24日复查 PSA 2.0ng/ml,睾酮23ng/dl,2017年7月6日因冠脉综合症伴心衰停止内分泌治疗。

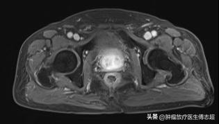
图1 2017-2-8放射治疗1年半后复查盆腔MRI
3.姑息内分泌治疗
2018年9月复查PSA 4.28ng/ml,睾酮87.62ng/dl,提示病情进展,因患者个人原因,拒绝新型内分泌治疗,故再次给予“注射用醋酸亮丙瑞林3.75mg皮下注射1/4周+比卡鲁胺50mg口服1次/日”内分泌治疗。随访期间无尿频、尿急、尿痛及血尿脓尿,无发热、腰痛、骨痛等,目前生活尚能自理,饮食二便正常。
二、病例点评
(1)该患者诊断前列腺癌(T2cN0M0,Ⅱ期,高危组),因外院盆腔MRI提示肿块侵犯前列腺双叶,因此T分期为T2c;高危因素包括:PSA>20ng/ml根据NCCN指南T2cN0M0Ⅱ期,高危组患者初始治疗可选择放射治疗2~3年ADT或根治性前列腺癌切除术+盆腔淋巴结清扫术。该患者因高龄、房颤未选择手术及放射治疗,行单纯内分泌治疗。该患者为高危局限性前列腺癌,内分泌治疗后进展,符合CRPC(去势抵抗性前列腺癌)诊断,但无远处转移,预期寿命少于10年,故选择局部放射治疗。对于高危组的患者内分泌治疗建议时间为2~3年,该患者因冠脉综合症伴心衰停止内分泌治疗,采用间歇性内分泌治疗。
(2)去势抵抗性前列腺癌(CRPC)是大部分前列腺癌单纯内分泌治疗后不可避免的最终结局,除非预期寿命较短,Gleason评分<7,仅推荐行单纯内分泌治疗;否则前列腺癌均建议行内分泌治疗联合放射治疗,或者手术。对去势抵抗性前列腺癌进展主要是局部复发、区域淋巴结转移还是远处转移进行评估,目前仍比较困难;局部根治性放射治疗是局部复发去势抵抗性前列腺癌的首选治疗手段,特别预期寿命少于10年,一般情况差的高龄患者。本例患者CRPC后调强放疗后,局部控制时间(PFS)3年,且患者耐受好,在高龄及严重心功能不全的情况下,其生活质量明显提高,达到预期延长生存期和保证较高生活质量的治疗目的。

参考资料
摘自傅志超、程惠华主编《前列腺癌病例精解》,科学技术文献出版社,2022年5月。