你注意过自己猫咪的日常排尿情况吗?作为铲屎官你是否认为这是太平常的事情,也就自然而然的忽视了?要知道,当猫咪发生排尿困难、尿闭、排尿次数多的时候,它们的健康也正在面临着很大的威胁,其中一种可能就是患上尿石症。
今天,宠小爱和大家分享的就是一则猫咪【膀胱结石】的病例。

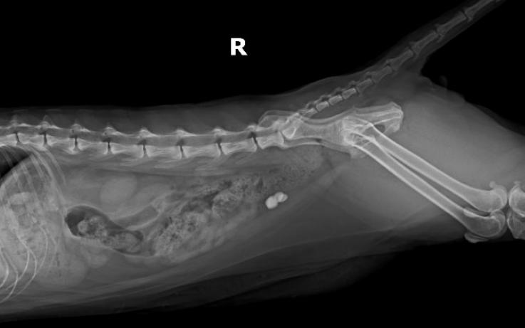
图:来源于网络
▽

〖 宠 爱 国 际 病 历 本 〗

- 宠物名:咪咪
- 性别:母
- 年龄:8岁
- 品种:美短
- 体重:3.45KG
主诉病史
一个月前开始尿血,血挺多的,一个月都有尿血,其他全都正常,总去猫砂盆,绝育没做了, 疫苗还没打,平常喝水不多,一般就吃猫粮。
医院检查
临床检查:
体温.38.6,听诊心肺无异常,触诊腹部膀胱不充盈,其他未见明显异常。
实验室检查:
血常规↓↓

生化↓↓

DR检查↓↓


Dr显示膀胱区域高密度影像,膀胱结石。
临床诊断
膀胱结石
治疗方案
1. 手术膀胱切开术
2. 取出后送检结石分析
3. 药物治疗,术后输液消炎
取出结石照片↓↓

结石分析结果↓↓

病例讨论
磷酸氨镁结晶比较常见的一种碱性结石,少量或者较小结晶结石可以选择保守治疗,颗粒大的结石考虑直接手术取出。
宠爱国际结石实例
雄性斗牛犬膀胱结石,传统手术创伤较大,在宠爱国际动物医院应用宠物临床最新技术,钬激光碎石顺利解决膀胱结石问题,免去了开刀的痛苦,动物福利太棒了↓↓
猫咪尿血来医院检查发现膀胱结石,当天安排了手术,手术前后影像对比,手术将结石全部取出↓↓





可怜的花豆胆结石,家长注意宝贝一旦皮肤发黄一定要立刻就医↓↓
https://v.qq.com/x/page/y3202dskrmk.html
宠爱国际内分泌科
该科室承担内分泌代谢病的诊疗、保健任务,拥有日本富士AU10V动物内分泌分析仪等设备。宠爱国际是国内较早设立小动物内科专科门诊的医院,在小动物内科诊疗领域享有盛名。特色门诊包括内分泌腺体肿瘤摘除手术,肾上腺肿瘤,甲状腺肿瘤,副甲状腺肿瘤,胰脏肿瘤摘除,内分泌疾病药物调控,生长激素不足/过多,甲状腺功能低下/亢进,库兴氏症/爱迪生氏症,糖尿病调理,肾上腺脑积水门诊等,同时充分发挥医院的综合优势,组建“多学科合作综合治疗团队”,如与普外科、内镜中心、麻醉科、ICU等多团队合作开展了外科治疗糖尿病及其它内分泌疾病并发症;与康复理疗科合作开展肥胖、糖尿病、酮症酸中毒等的营养治疗;与泌尿外科多团队合作,在肾上腺病变的筛查及内分泌高血压的诊治方面成效明显;与超声诊断科、磁共振与CT影像中心、病理科合作,在甲状腺结节的良恶性鉴别方面进一步形成特色;与神经外科合作, 提高了垂体疾病的诊治水平;与普外科合作,联合治疗胰腺内分泌肿瘤等。联合我院外科(胃肠道内分泌肿瘤、甲状腺肿瘤,甲状旁腺肿瘤)、泌尿外科(肾上腺肿瘤)、脑外科(垂体肿瘤)的综合优势,建立 “内分泌肿瘤学科群”,提高了临床处理内分泌疾病的能力。在各项疾病诊疗的过程中,良好的疗效显示出宠爱国际内分泌诊疗中心的诊治特色优势。
预防方案及康复后保健措施
医生,猫咪会产生结石的原因是什么?
■饮食饮水:猫以干粮为主,自身原因喝水过少,此外饲喂的猫粮中,含磷,镁,钙含量过高也会引起发生。
■应激反应:应激会引起猫下泌尿道综合征的发生。
■泌尿道感染:泌尿道细菌感染,会产生尿素酶分解成氨和co2 使尿液呈碱性,导致磷酸铵镁过饱和,形成结石。
医生,像这种猫咪结石该如何做提前的预防呢?
■饮水:喝纯净水,勤换水,多喝水,可以换流动水增加饮水量;
■饮食:喂湿粮,或者泌尿道处方粮为最佳;
■生活环境:保证环境舒适安静且干净,减少动物应激,勤换猫砂;
■运动:适当提高运动提高新陈代谢。
医生,猫咪结石预防及预后?
首先可以调节尿液ph,可使用尿液酸化剂如尿石消。
第二就是要定期带猫咪到医院复查,3-6个月复查一次影像学超声 X光,预防结石复发。