一位73岁的老太,咳嗽一周,痰中带血1天,来做肺部CT:

如图:右上肺发现一个大肿块,最长的径线有12厘米,里面还看到黑色的空洞,很像肺癌吧?
老年人,肺内发现不规则的厚壁空洞(空洞壁厚度>3毫米,称为厚壁空洞),外缘有分叶,第一个要想到肺癌风险。
73,84,真的是一个坎儿?
家属拿到报告单后很恐慌,民间相信一个说法:73,84,阎王不叫自己去!
难道说老人寿限到了?
我们敬畏神秘的民间俗语,但也要借鉴科学!

建议做个增强CT进一步看看吧,找找更多细节证据。
病人的孩子同意我们的建议,花了930块,做了肺部增强扫描:

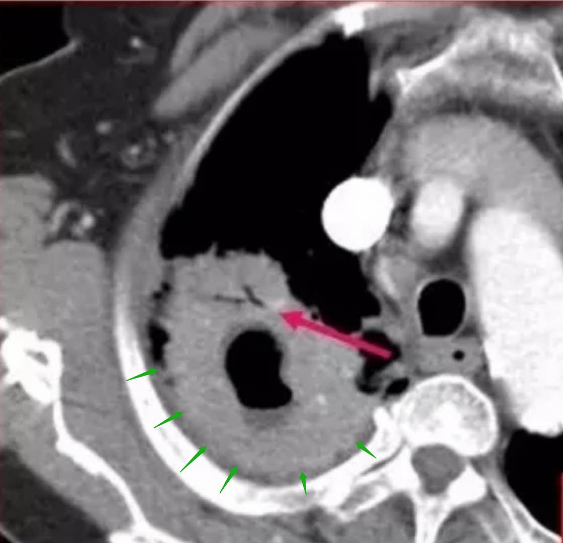
看到这张片子,我们放心多了!
这应该是一个炎症性病灶,不支持肺癌,依据如下:
1.绿色箭头显示,病灶强化很均匀,几乎看不到任何低密度区。
豪大夫前面的文章里提过,肺癌一般是轻度不均匀强化;而结核因为常造成干酪样坏死,血管破坏比较彻底,一般是不强化或者边缘薄环状强化;炎症性病变多为明显均匀强化。所以图中绿色箭头区域支持炎症性病变——肺脓肿。
2.在洞壁上,可以看到一段与洞壁平行的支气管,这个征象强烈支持炎症性病变。
这个支持炎症的征象需要满足两个要素:
(1)病灶为实性肿块,不能伴有磨玻璃,因为伴有磨玻璃的空洞往往是假性空洞;
(2)支气管要与空洞壁平行,不能是垂直的。
这位老太太很幸运,影像都支持炎症性病变(肺脓肿),不符合肺癌,我们建议她先抗炎治疗复查。
后来化验血象,白细胞明显升高,也支持我们的诊断。
经过大约两个多月的抗炎治疗,复查基本吸收了。

其实在医院里,经常遇到类似的幸运!
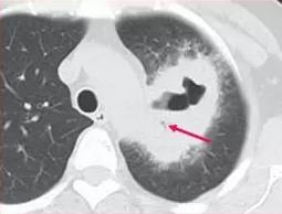
幸运1,女性,56岁,反复咳嗽、咳痰2个月,胸部CT发现左肺不规则厚壁空洞:

虽然是大肿块伴有大空洞,但空洞壁发现平行的支气管,这提示肺脓肿,进一步增强CT检查:

空洞壁均匀强化,也倾向于炎症性病变。
后来抗炎治疗吸收了,证实这也是一例肺脓肿,不是肺癌。
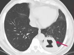
幸运2,男性56岁,老烟民,反复咳嗽咳痰1个多月,发现痰中带血1天:

看到这里,这张图片想必大家都会看了,厚壁空洞,空洞壁有平行的支气管,提示肺脓肿的可能,建议增强扫描!
对的,大家的看法没错!增强扫描显示病灶均匀强化,支持肺脓肿:

后来抗生素治疗后,病灶吸收!
有喜欢胸部影像学的读者朋友说,好的,学到了,平行的支气管+均匀强化,代表炎症!
这样理解没错!但考试只能得90分,因为生搬硬套是不行的。
有一种例外:当肺癌合并感染的时候,会出现类似假象!

像上图这位老人,76岁,咳嗽、呼吸急促一个月,CT发现右肺巨大肿块,可见平行的支气管,增强扫描强化均匀,但经支气管镜证实,这是肺鳞癌合并了感染。
所以,发现此类病例,如果抗生素治疗后病灶基本吸收了,就没事了;如果病程反复迁延,时好时坏,进一步检查也是有必要的,比如支气管镜或者经皮肺穿刺等手段。

所以很多时候,主治医生建议做一下有创检查,也是全盘考虑后的决定,多理解,多支持,大家都是一个战壕的战友,我们都想战胜病魔,攻克癌症。
这里是影像科豪大夫,感谢您的阅读!
如有疑问,可在留言区提问,我会尽量回答。