
从来都没洗过牙的都看过来!
为什么你的牙医总是让你洗牙?

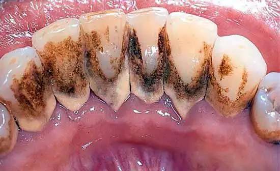
因为你抽烟、吃茶、不好好刷牙,你的牙齿是这样的

即使你认真刷牙看的见得地方是这样的

看不见的地方是这样的

这样的
这是为什么呢?
口腔是一个有菌环境,刷牙后12小时内细菌就会黏附于牙面,牙间,龈沟内形成不能被水冲去或漱掉的牙菌斑生物膜。
(1965年,Löe教授选择12名牙周健康的学生,停止口腔卫生措施,使菌斑在牙面聚集,所有受试者在10~12天内均出现了牙龈炎的症状,牙龈红肿,刷牙出血。)

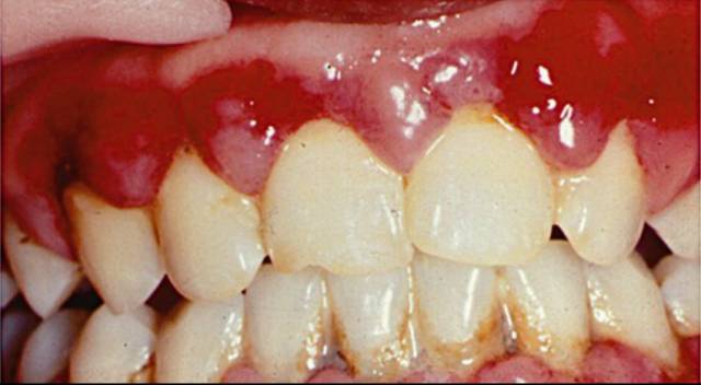
10~30天,牙菌斑生物膜发展成熟达到高峰。不断在你牙上“生老病死,吃喝拉撒”的细菌开始矿化,形成色素沉积和牙结石。此时你的牙龈其实已经悄悄发炎了(牙龈炎)~你开始感觉刷牙出血,上火,口腔异味!

旬月后,在牙结石不断刺激下,牙龈炎症范围向深部扩散,引起牙齿支持组织的破坏:牙龈沟加深、牙槽骨吸收。很遗憾,到这个程度你的牙周组织也发炎了(牙周炎)~你开始感觉牙龈增生、溢脓或牙龈退缩、敏感,口臭,塞牙,牙齿松动!

另外,流行病调查表明,牙周病在我国人口中患病率为70%-85%。而洗牙!医生口中的:全口龈上、下洁治术。当当当当!闪亮登场!
洗掉牙菌斑去除牙结石消除炎症恢复软组织形态维持牙槽骨高度让牙齿一辈子不松不掉牙齿的“大保健”在洗牙过程中及时发现口腔问题是口腔治疗的第一步!

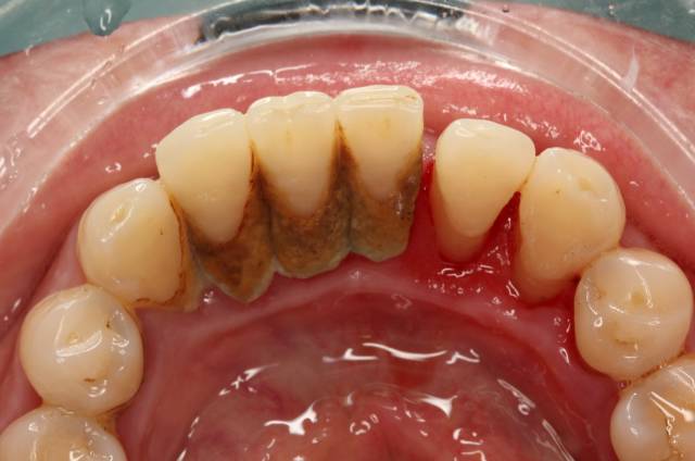
(洁牙前)

(洁牙中)

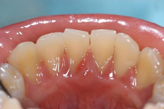
(洁牙后)

(恢复后)