
本文内容来自公众号中日友好医院口腔医学中心
平日非常重视口腔卫生维护的何阿姨最近牙齿总是酸痛敏感,刷牙时不敢用牙刷触碰牙龈。到医院检查,医生说没有发现牙齿有任何龋坏,这让何阿姨非常苦恼。一来不敢正常刷牙,二来牙齿酸痛敏感,却没有发现任何龋齿导致的龋洞。何阿姨的牙齿到底怎么了?
如果您也有这样的症状,可能是您的牙龈发生了退缩。
牙龈退缩后,使得牙齿的根部失去了天然的保护屏障,就像寒冷的冬天,人们只穿了单衣暴露在户外一样。
何阿姨平时有良好的口腔卫生维护习惯,没有发生龋齿,却为什么牙龈会发生退缩呢?发生牙龈退缩后应该如何治疗,并且避免牙龈再退缩呢?这里,我们会一一给出答案。
为了更好地理解牙龈退缩的病因和防治方法,有必要先了解一下天然牙齿周围的生理解剖学。

天然牙齿由表及里由牙釉质、牙本质、牙髓以及根面牙骨质组成,周围覆盖粉红色的牙龈。牙龈分为游离龈和附着龈,以及牙槽黏膜。包绕牙根周围的是牙周膜和附着在牙齿根面的结缔组织纤维以及坚硬的牙槽骨。
天然牙的萌出指其达到牙槽骨嵴顶与牙釉质-牙骨质界之间的正常关系。对于萌出完全的天然牙,健康的牙龈呈现扇贝形的轮廓,位于牙釉质-牙骨质界(CEJ)冠向(牙冠方向)1~2毫米处。

牙龈退缩是指牙龈从上述生理性位置发生根向(牙根方向)的移位,引起牙根暴露。
牙龈退缩的表现
当覆盖牙根表面的牙龈因为机械性、病理性和生理性的原因,不再贴敷到牙根表面时,包裹牙根部的牙骨质就会直接暴露在口腔唾液和各种冷热刺激的环境下。牙根部本该被保护的深层的牙髓就会受到相应的口腔冷热刺激,产生酸痛敏感。
特别要指出的是,无论口腔卫生好与坏,均可能发生牙龈退缩。口腔卫生好的情况下,牙龈退缩常与刷牙、牙线创伤以及牙齿唇向倾斜移位有关,好发部位常为唇颊侧牙龈的最高点。如果口腔卫生不好,则常伴有牙齿邻面牙槽骨嵴顶的骨丧失,表现为牙齿邻面大范围的牙龈退缩,往往涉及多颗牙齿,常出现塞牙的“黑三角”现象。
牙龈退缩根据Miller分类标准分为4个等级:
MillerⅠ类,牙龈退缩未累及膜龈联合,牙齿邻面的牙龈乳头没有退缩;
MillerⅡ类,牙龈退缩累及膜龈联合,牙齿邻面的牙龈乳头没有退缩;
MillerⅢ类,牙龈退缩累及膜龈联合,牙齿邻面有轻度的牙龈退缩黑三角;
MillerⅣ类,牙龈退缩累及膜龈联合,牙齿邻面有明显的牙龈退缩黑三角。

■ ■■■■
牙龈退缩的病因
1
牙齿排列不整齐,过于偏唇颊侧,导致包绕牙根表面的牙槽骨产生结构缺陷。牙龈退缩一部分也可以理解为由骨开裂引起的。骨开裂可以是生理性和病理性产生,也可以是因为刷牙创伤、唇颊系带牵拉和不密合的修复体边缘刺激造成(细菌持续刺激炎症),最终影响了该处牙龈的血运,导致牙龈局部退缩。
2
不正确的刷牙方法导致机械性的损伤。
3
牙颈部牙龈的质和量欠佳。一方面可能由于患者个人先天基因决定,另一方面是局部清洁不当导致炎症继发的改变。
4
长期的咬合功能不调,产生咬合创伤。不当的刷牙习惯是常见因素。没有掌握正确的刷牙方法和刷牙力度,选用了不当的刷毛类型的牙刷,都会造成牙龈的局部创伤。如果患者先天基因型决定了是薄龈生物型的牙龈特点,这种情况就很常见,常伴有牙龈退缩和牙颈部楔状缺损的表现。创伤产生的应力刺激传导到牙颈部时,牙龈就会有相应的保护性退缩反应。
牙龈退缩怎么办
保守治疗:
轻度的牙龈退缩在不影响美观和没有明显症状的前提下,可以考虑从预防疾病发展入手,采取保守治疗,去除病因和诱因。
手术治疗:
重度的牙龈退缩需要进行相应的退缩后根面再覆盖手术来治疗。
手术适应证主要包括:
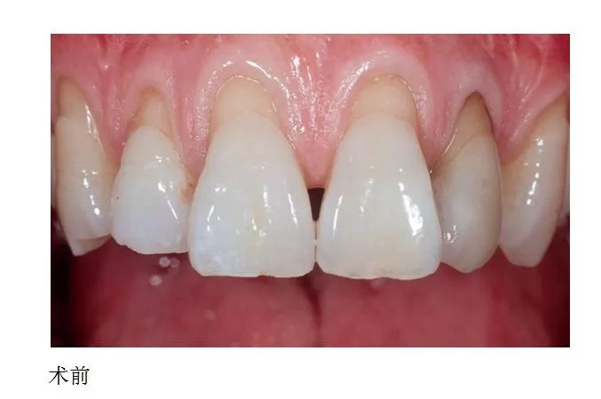
①由于前牙区广泛的牙龈退缩,临床牙冠变得很长,引发美学问题;
②唇面过多暴露的牙根面,导致深层牙髓受刺激,发生严重的冷热敏感,影响生活质量;
③先天基因决定的薄龈生物型患者,导致先天角化牙龈明显不足或缺失,引发口腔卫生维护困难问题。

出现以上问题,就要通过手术的方式进行治疗。不同的牙龈退缩类型,手术后的预期效果是完全不相同的。MillerⅠ类和Ⅱ类可以完全达到根面的覆盖,Ⅲ类部分覆盖,Ⅳ类难以预期。同时,牙根的突度、牙长轴的扭转和牙颈部是否有充填体和深度,同样对手术后的效果有影响。
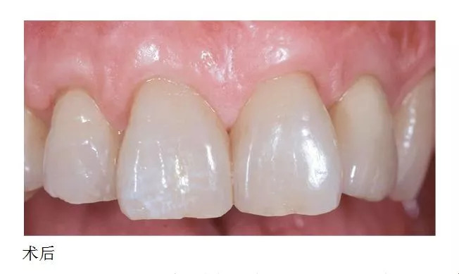
理想的牙龈退缩后根面再覆盖术应该是暴露的牙根面有更多的牙龈软组织覆盖,而且新覆盖的软组织在颜色、形态和质量上与邻牙协调一致。同时保持正常牙周组织的健康。

牙龈根面覆盖术的手术方式有3种:

01
冠向复位组织瓣,根面覆盖手术的金标准是自体结缔组织移植加冠向复位瓣术。
02
侧向或旋转邻近的牙龈组织瓣。
03
引导组织再生术。
影响术后愈合的因素有:
01
手术治疗后的血液持续供应和组织瓣的稳定。因为口腔是一个持续活动且开放的污染创口,患者必须严格按照医生的医嘱,配合手术后维护。
02
大量临床证据表明,吸烟对根面覆盖术效果有明确的不利影响。如果患者拒绝戒烟,或者在术前术后3~4周不愿停止吸烟,应该选择放弃手术治疗方案。
03
伴有糖尿病或其他感染性疾病的患者,术前1小时建议口服消炎药,如阿莫西林或者克林霉素。
术后护理要注意:
1
术后用药包括常规抗生素、非甾体类抗炎药以及抑菌漱口液3类。非过敏者,首选阿莫西林0.5克,每天3次,口服7天;过敏患者,可以使用克林霉素替代。建议术后即刻给予患者非甾体类抗炎药布洛芬0.6克,缓解手术当天的不适,术后3天常规口服布洛芬0.3克,每天3次。漱口水首选0.12%的氯己定,每日三餐后含漱1~2分钟,持续2周。
2
两日内间断冰敷术区对应的皮肤,有利于减轻肿胀。
3
术后2周内,禁用牙刷等工具进行术区机械性清洁,要求患者术后第1、3、7天按时来诊,由医生进行术区牙面的清洁,辅助盐水进行清洁。
4
术后缝线2周拆除。
5
以改良的Stillman刷牙方法进行术区后期维护,避免创伤性的刷牙方式,同时定期进行牙周的维护治疗。

牙龈退缩如何预防
▣首先,健康的口腔卫生环境十分重要,应定期找口腔专业医生清洁维护口腔卫生。菌斑引起的牙龈退缩在进展到牙周炎之前,牙龈退缩仅限于唇颊侧,手术会取得非常好的预期。只有患者接受规范正规的牙周治疗,掌握维护口腔卫生的良好举措,才可以考虑使用手术治疗牙龈退缩。当严重的牙周病引起牙龈广泛退缩,手术也无法达到满意的效果。
▣请口腔专业医生针对牙龈退缩的病因进行诊治,若牙齿错颌畸形要早期进行干预,以预防牙龈退缩。
▣刷牙本身是一把“双刃剑”,一方面会清洁口腔,另一方面也因机械性的摩擦,会造成牙齿一定程度的磨损和牙龈损伤。所以,要针对牙龈自身的生物学类型(薄牙龈型尤其需要重视)选择适宜的刷牙方法和力度。
▣如果是基因决定的先天缺少附着牙龈,可以提前手术治疗,以免牙龈退缩。
(文中图片来自网络)

孙强,医学博士,副主任医师,中日友好医院口腔医学中心种植科副主任。擅长牙周-种植-修复多专业联合诊疗设计。工作重点:重度牙列磨损后的咬合功能重建;前牙美白微创全瓷修复;即刻种植和修复;计算机导航微创种植;美学笑线重建修复;非牙周炎源性的牙龈退缩后的牙龈根面再覆盖。
