
导读
我市组织收听收看全国安全生产电视电话会议
广东省住房和城乡建设厅调研我市镇级生活污水处理设施建设工作
内脏竟然长反了?英德一“镜面人”获救!
有底气的监督!以“问计划+实地调研”模式 了解群众所想所需
我市组织收听收看
全国安全生产电视电话会议
国务院安委会近日召开全国安全生产电视电话会议。会议强调要毫不放松做好安全生产各项工作,毫不松懈抓好防汛抗洪救灾工作。

会议指出,今年以来,在以习*平近**总书记为核心的*党**中央坚强领导下,各地区、各有关部门和单位认真贯彻落实*党**中央、国务院决策部署,着力加强疫情防控和复工复产中的安全风险防范,积极部署开展安全生产专项整治三年行动,安全生产形势持续稳定向好,但仍面临不少突出问题和风险隐患。

会议要求,要深入学习贯彻习*平近**总书记关于加强安全生产的一系列重要指示精神,按照李克强总理重要批示要求,进一步加强组织领导,层层压实责任,深入推进专项整治三年行动,扎实开展危化品道路运输、非法违法“小化工”专项治理,全面排查治理各类风险隐患,狠抓严格监管执法和事故处理整改落实,把好安全监管每一道关口。加强“十四五”安全生产规划和法规制度建设,加快建立安全生产长效机制,提升安全基础保障能力。统筹做好当前防汛救灾和安全生产工作,严密防范各类灾害事故风险叠加放大,坚决遏制重特大事故发生,为决胜全面建成小康社会营造安全稳定环境。

国务院电视电话会议结束后,省、清远市继续召开会议,贯彻落实国务院会议有关精神。我市领导肖勇科等在英德分会场收听收看了会议。
(吕秀茹)
广东省住房和城乡建设厅调研我市
镇级生活污水处理设施建设工作
近日,广东省住房城乡建设厅村镇建设处副处长王务,清远市水利局*党**组副书记、副局长梁智威等同志一行到我市调研指导镇级生活污水处理设施建设工作,英德市副市长钱金勤及我市相关部门(镇街)和参建单位负责同志陪同调研。

王务一行先是查看了九龙镇污水处理设施现场,现场正在进行基础开挖,各项工作均紧张有序开展。王务对现场施工工作给予充分肯定,并就关心的问题进行了询问,与参建各方负责人进行了交流,了解了当前建设过程中存在的困难。随后,调研组一行人还到连江口镇查看污水处理设施建设情况。对于连江口镇建设进度滞后问题,王务指出,今年是打好“污染防治攻坚战”的最后一年,英德市完成任务的进度势必影响清远市甚至是广东省的“污染防治攻坚战”进度。英德市政府和各镇街政府一定要高度重视英德市镇级生活污水处理设施建设,为工程建设创造良好的外部环境;各参建单位一定要快马加鞭,以年底投入运行使用为目标,落实工作,毫不松懈,充分调动各方的积极性、主动性,确保工程如期完工。

副市长钱金勤表示,目前,我市污水处理设施建设工作面临的形势十分严峻,建设进度严重滞后,拖了全清远市的后腿。下一步,我市将认真贯彻落实今天调研的精神,严格按照省、清远市的相关工作要求,加大工作力度,采取强有力的措施扭转局面,推进我市镇级污水处理设施建设,确保如期完成建设任务。副市长钱金勤强调:

❖进一步明确工作目标,提高政治站位。我们将围绕10月份完成主体工程,12月份投入运行这个目标,狠抓工作不推诿。
❖进一步强化工作保障,加大各项投入。协调各参建单位加大人力、物力的投入,从资金、人员等方面给予充分保障。
❖进一步加强项目管理,完善相关制度。尽快完善英德市新一轮城乡污水处理基础设施建设PPP项目相关制度和工作流程。
❖进一步优化工作计划,合理倒排工期。以目标时间倒逼工期,编排切实可行的施工计划。
❖进一步加强统筹协调,形成强大合力。我市将加大对项目建设工作的协调力度,及时跟进制约工程进度的各项因素,着力解决问题。请上级部门放心,英德一定会按照要求,确保镇级污水处理设施于10月底完成主体工程,12月底完成竣工验收,向英德市民交上一份合格的答卷。
(市水利局)
内脏竟然长反了?
英德一“镜面人”获救!
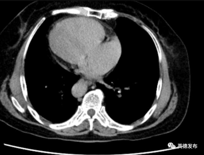
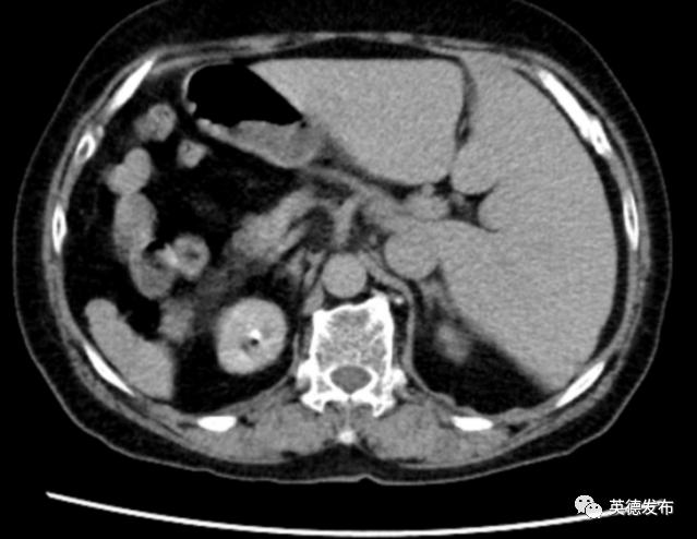
近期,英德市中医院成功救治了一名镜面右位心伴全脏器反转(即“偏心”)合并大面积肺栓塞患者,把病人从死亡边缘拉回来。
胸痛头晕就诊
惊奇发现“偏心”
67岁的谢阿姨因“胸痛气促10天,加重伴头晕1小时”到英德市中医院急诊科就诊。经相关检查,初步考虑为冠心病收入心病科,后经专科听诊、心脏彩超检查,惊奇地发现谢阿姨为“镜面人”,即心脏长在右侧,心、肝、胆、脾、胃、胰腺和肺整个内脏的位置都跟正常人完全相反,就像正常人的内脏照镜子时呈现的影像。

据了解,出现“镜面人”的概率约为百万分之一。“镜面人”只是内脏器官位置发生变化,内脏之间的相互关系并未改变,因此生理功能跟正常人一样,对健康与生活没有影响。但这种特殊的生理结构极易引起误诊,治疗难度更大,中医院医护团队时刻保持高度警惕。
借助先进设备
终寻得“元凶”
经营养心肌、扩张血管等冠心病专科综合治疗后,患者的症状未见缓解,胸痛气促加重伴有血压下降、大汗淋漓,相关指标不容乐观,双下肢血管彩超提示左侧下肢腘静脉栓塞,心脏彩超提示重度肺动脉高压……种种迹象让人堪忧,极可能是肺栓塞、主动脉夹层等急危重症。

为进一步寻找“元凶”,医护团队充分做好相关应急预防措施,马上通过先进的80排160层螺旋CT,实施胸部血管螺旋CT血管成像(即“胸部血管CTA”),可见患者右肺上叶舌段动脉,左肺下叶动脉闭塞,余双肺各叶大部分闭塞,管腔明显狭窄,于是迅速作出诊断:大面积肺栓塞,已出现休克症状,患者随时可能死亡。
ICU团队当机立断
精准治疗助康复
诊断出来后看似“松了一口气”,但这只是“万里长征第一步”。英德市中医院ICU团队第一时间会诊,认为患者病情危重,必须马上转ICU监护治疗,征得家属同意后,当机立断,大胆接过救治接力棒。患者转入ICU后,虽然神志清醒但呼吸急促,遂立即实施气管插管、有创呼吸机辅助呼吸让肺脏“休息”,同时给予抗凝、扩张血管增加肺部血流等救治措施。

面对这样的“偏心”大面积肺栓塞患者,ICU全体医护人员打起十二分精神应对,迅速组织科内讨论,研究治疗方案,最终认为治疗患者的原发病肺栓塞才是根本之道,即肺栓塞的溶栓治疗。经过2小时溶栓后,患者的血氧饱和度、血压逐步上升至正常。此时,医护人员才稍微松口气;谢阿姨有希望了!经过多日的精心治疗,患者氧合指数逐步升高、呼吸机参数逐步下降……各项指标不断向好,第12天顺利拔除气管插管改面罩吸氧并转普通病房继续治疗,历时21天的治疗,患者好转出院。
据了解,肺栓塞是体循环的各种栓子脱落阻塞肺动脉及其分支引起肺循环障碍的临床病理生理综合征,病死率高达30%,在临床上居第三位,仅次于肿瘤及心肌梗死,但由于人们对该病的防治缺乏重视,容易导致漏诊、误诊。英德市中医院医生提醒,出现不明原因的虚脱、面色苍白、出冷汗、呼吸困难、胸痛、咳嗽等,并有极度焦虑不安、倦怠、恶心、厌食、低血压、消瘦、便血等症状者应高度警惕,广大群众要坚持定期体检,正确认识自己的身体状况,及时识别危险因素并进行早期预防,争取早发现早治疗。
(刘文慧、王兰)
有底气的监督!
以“问计划+实地调研”模式
了解群众所想所需
近日,黎溪镇人大组织全镇各级代表开展“更好发挥人大代表作用”主题活动,以代表小组(联络站)为单位分成四组,开展代表以“问计划+实地调研”模式对群众关心的事项进行监督视察,用真正接地气的方式了解群众的所想所需。
围绕监督事项来视察
助推美丽乡村建设
围绕黎溪镇2020年政府重点工作监督安排,以“谁监督,谁视察”为原则,恒昌片区代表小组对所监督的美丽乡村项目进行视察。

恒昌片区代表小组在大坪大迳口村施工现场视察
恒昌片区人大代表联络站由新村、大坪、黎明、恒昌四个距离镇区较为偏远的村委组成,以往开展活动一直以联络站所在地恒昌村为重点,今年恒昌片区代表小组突破惯性思维,沿着新村同合村、大坪大迳口村、恒昌下菜园村一路实地考察美丽乡村在建项目,每到一处代表们都向施工方详细了解工程进度与建设过程中遇到的困难,建议施工方在保质保量按时完成工程的同时,在工程项目中遇到有群众提出合理意见建议的,要及时与相关部门沟通,结合村*意民**见,以村民满意为目标,建设村民满意的美丽乡村。

恒昌片区联络站代表向施工方了解铺设渠道的材料
紧贴民心民愿
人大代表述民情
前段时间,黎溪镇大小微信群在疯传银英公路黎溪段封闭路口的视频,突然封闭的路口对居住在银英公路边的3000多名大湖、湖溪居民带来了许多不便。趁着开展主题活动的机会,大湖片区代表小组带着群众的诉求,邀请黎溪镇公路办负责人一起来到银英公路沿线,共同探讨如何更加科学设置人行过道与转弯口。

大湖片区代表小组实地查看银英公路路口设置情况
在视察中,代表们提到“关闭部分转弯口是为了出行安全,但是不合理的设置会导致车辆逆行情况出现,增加交通风险,希望相关部门能听取大家的建议,结合当地实际合理设置路口,不要一刀切。”公路办负责人认真记录了代表们的建议,表示会进一步与上级部门沟通,反映我镇群众的需求。
紧民之所紧 忧民之所忧
作为一个移民大镇,黎溪镇将近70%人口居住在镇区,镇容镇貌、环境卫生问题一直是黎溪人民最关心的问题。黎新片区、大埔片区的选民自移民后大部分居住在镇区,黎溪镇人大也把今年镇区综合整治、污水处理等方面的事项分配给两个片区联络站监督,希望各代表能在提出意见建议的同时,监督政府落实好相关工作。

大埔片区代表小组现场了解镇区乱摆乱放现象
近期,黎新、大埔片区代表小组分别到黎溪镇综合市场、银英公路东侧绿化带改造项目进行视察,创文办等相关部门负责人随同。

黎溪镇创文办负责人向黎新片区代表小组介绍银英公路东侧绿化带改造项目
在视察过程中,代表们就监督事项进行仔细考察研讨,在紧接着的“问计划”会议上,代表们纷纷发声:“每户3元的卫生费随水费一起收,收了差不多一年,跟没收之前有区别吗?”“每到街日,路上占满乱摆乱放的摊档,车过不了,行人走过都困难,有没有下一步规划?政府准备如何整治?”。负责汇报的部门负责人尽力解答代表们的问题,把政府当前的工作措施及下一步的工作规划详细讲解,并当场征求各代表的意见建议,进行详细记录,对不能当场解释和需进一步改善的部分,表示将在下一次议事会给大家答复。

大埔片区联络站召开“问计划”会议暨7月议事会
会后,各相关负责人坦言,虽然在面对代表询问时候压力很大,但代表们确实说出了黎溪镇广大群众的心声,所提出的建议也给以后的工作规划带来了新思路,相信通过大家群策群力,政府会把工作落实得更好,“问计划+实地调研”的工作方式值得肯定。
通过开展“更好发挥人大代表作用”主题活动,各代表不仅对今年跟踪监督的事项有了进一步了解,也为接下来的“两问”和“一评一票决”奠定了基础。在助力“南融北康”的同时,用实际行动践行争当“五员”的要求,在视察过程中使群众加深了人大代表履职的印象,充分展现了基层人大代表的风采。
(梁恺凌、李芊)
编辑:英德市融媒体中心
