“蒋医生,49床又说腰痛和腹痛了。”美小护推门说。我俩对视一眼,49床使用*啡吗**的频率越来越高了,止痛的效果越来越差,哎,又是一个胰腺癌晚期的病人。
49床是一个71岁的老年女性,瘦瘦小小的,看着精神有点萎靡,说话温柔,但是很有主见。病人因为腹胀、腹痛伴有尿黄、皮肤巩膜黄染、消瘦3+月到我科门诊就诊,当时门诊行了腹部彩超检查发现胰头占位性病变,遂收入我科住院治疗。
入院后行腹部MRI检查,发现CA199、CA125异常升高,诊断胰腺癌明确,而且是属于晚期的胰腺癌,分期为T3N2M1,基本上没有手术机会,而胰腺癌对于放化疗的效果是很差的,这也就意味着,病人的生命已经到了最后的时间了。

病人有2个儿子1个女儿,都挺孝顺的,老伴也很关心病人,家属一致决定暂时先瞒着病人,然后找到我,想找到一个既可以治病,延长生命,又可以不让病人痛苦的办法。
望着家属的眼睛,我详细的讲解了目前病人的情况。1、目前病人的情况手术切除肿瘤的方法肯定是没办法做了,因为除了胰腺癌变,腹膜后的血管周围的淋巴结增多并有融合趋势,那么肯定有淋巴结的转移,同时MRI发现胆总管胰头段壁增厚、腔狭窄,胆总管胰头段以上肝内外胆管扩张,说明胆总管也被侵犯了,这也是为什么病人会有尿黄、皮肤巩膜黄染的表现。
2、病人不能手术切除肿瘤,胰腺癌对于放化疗的效果不好,但可以试一下,不过放化疗有比较大的副作用反应,病人家属坚决拒绝放化疗的治疗办法。
3、保守治疗,根据病人的指标,给予营养支持、止痛、退黄等对症治疗。
目前病人梗阻性黄疸逐渐升高,如无法解决梗阻,那么病人最后的时间可能会更短。如想延长生存时间和提高生活质量,准备给病人安置一根管在胆管里面引流胆汁出来,降低黄疸指数。
但安管有2种方式,1种是ERCP+ENBD的办法,但需要长期经鼻带管,病人是注意仪表的人,这种方案被家属否了。
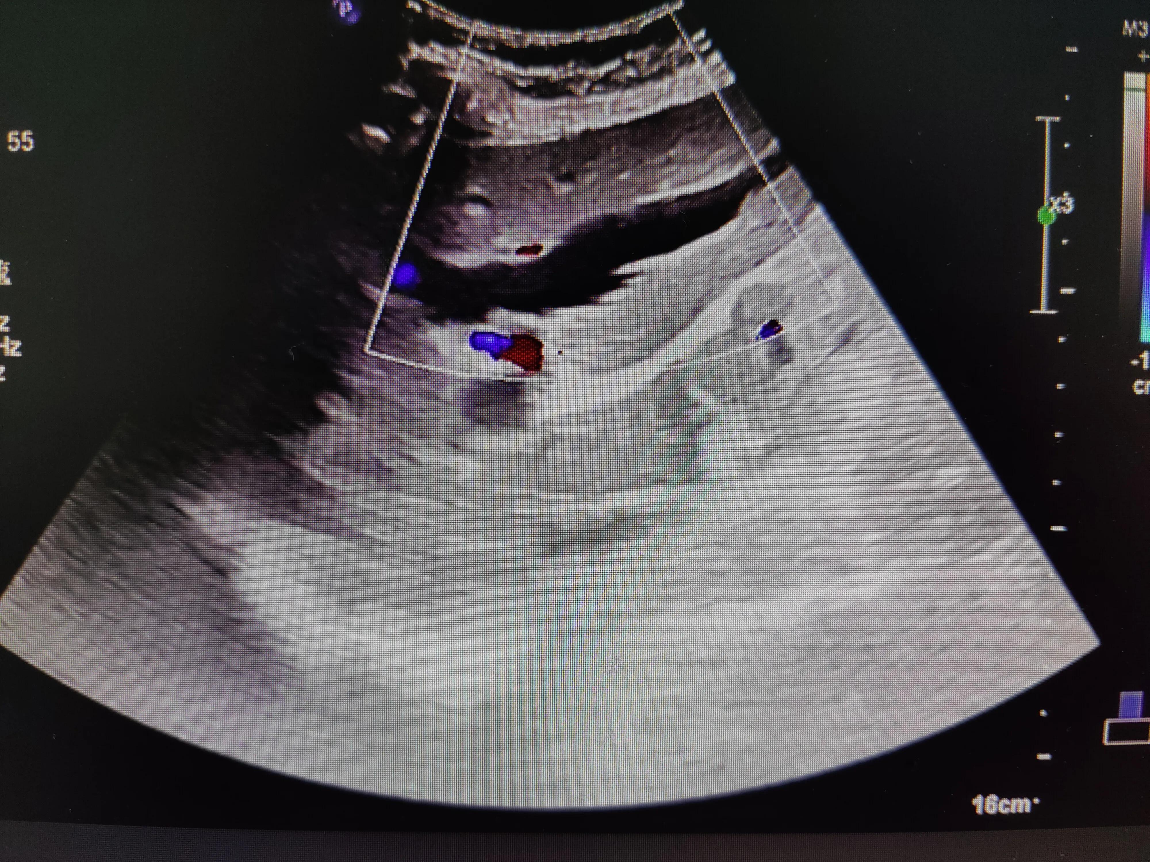
另一种是PTCD(经皮肝穿刺胆道引流),在皮肤上开一个小口,将管子安置在胆总管里面,固定在皮肤上,这样胆汁可以引流出来,管子可以隐藏在衣服里面。
病人家属最终商量后选择做PTCD,经过超声引导,10分钟就完成了置管,浓稠的暗黄色胆汁就引流出来,经过几天的引流,胆汁的颜色也逐渐变成清亮的金黄色胆汁,病人的胆红素经过复查也和正常指标接近。

病人的胃口也逐渐好转,不过癌症带来的疼痛也逐渐加重,口服*啡吗**的止痛也从一天一片变成一天2、3、4片,家属也从最开始的惊慌失措慢慢接受,在病人最后的时间中陪着她到处旅游,满足病人最后的心愿。#向癌症说不##健康热力计划#