为什么牙齿会变成褐色?
牙齿有褐色一般由外源性因素和内源性因素引起的。
外源性因素导致的牙齿变成褐色
外源性因素导致的牙齿变成褐色一般适合日常的饮食以及生活习惯造成的。饮食方面如,喜欢喝茶、咖啡红酒等;不良的习惯如,吸烟、吃槟榔、不注重口腔清洁。这些都会造成牙齿出现外源性着色,导致牙齿变成褐色。

治疗办法:首先是要减少色素的摄入,少喝深色饮料、戒烟戒槟榔,做好口腔清洁工作;其次就是到正规的口腔医院进行超声波洁牙。

内源性因素导致的牙齿变成褐色
1、如果是牙齿还没有完全萌出来的情况下,牙齿就是褐色的就要注意了!很可能是因为高胆红素血症或妈妈在孕期或者儿童在8岁前服用了四环素药物引起的变色。

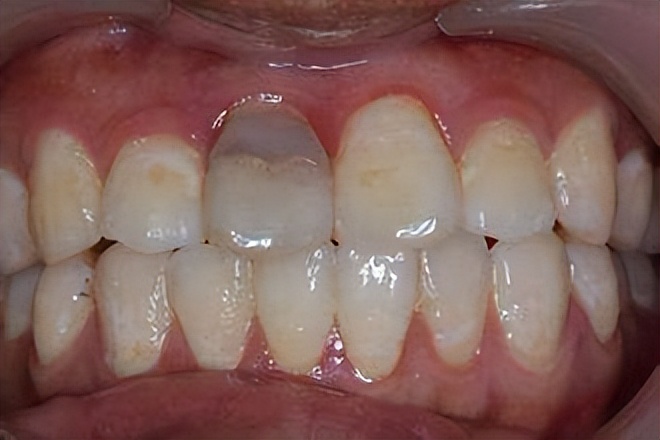
2、如果是只有单颗,非全口性的牙齿出现褐色,可能需要检查,是否因为牙神经坏死导致的牙齿出现褐色。

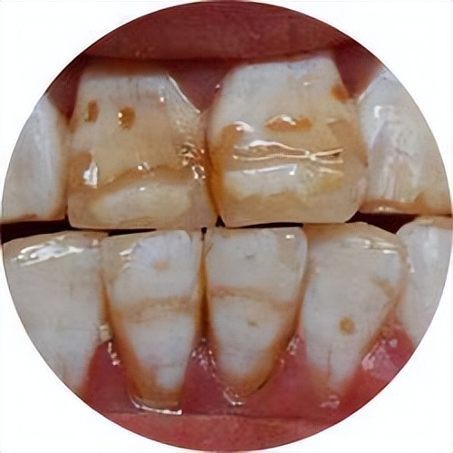
3、如果生活在高氟地区,牙齿出现的是斑状的褐色。

治疗办法:
- 如果是因为龋坏引起的,可以进行根管治疗+牙冠修复方法遮盖住牙齿的颜色;
- 如果是因为药物原因引起的,应该及时到医院检查是否需要停药或者更换其他药物进行治疗,等治疗完成后可以根据牙齿颜色情况选择化学美白,或者贴面、牙冠修复等治疗来解决牙齿出现褐色的问题;
- 如果是因为氟化物摄入过量,应控制氟化物的摄入,然后进行贴面、牙冠修复。
