随着社会的进步和经济的发展,人们更加注重追求健康、追求完美,为达到笑容更加美丽
的目的,牙齿形态和功能的完美至关重要。目前牙齿的矫治已成为广大群众,特别是青年爱美
人士的迫切要求。但是人们通常会面临如何选择一家专业的正畸医疗机构或一名专业的正畸医生
的问题,为此,我们介绍一下正规的矫治就诊流程。
我们都有这个常识,要想得到良好的牙齿功能和美观的容貌,我们首先必须要选择正规的、有口腔正畸专科医生的医疗机构(可通过各类app、网站、报纸或周围的亲威朋友介绍等途径来获取信息)。慎重地选择专业的正畸医生后,应该与医生进行初步的沟通,告诉医生你期望达到的效果。待医生、患者双方达到初步的共识后才开始下一步的诊疗流程。
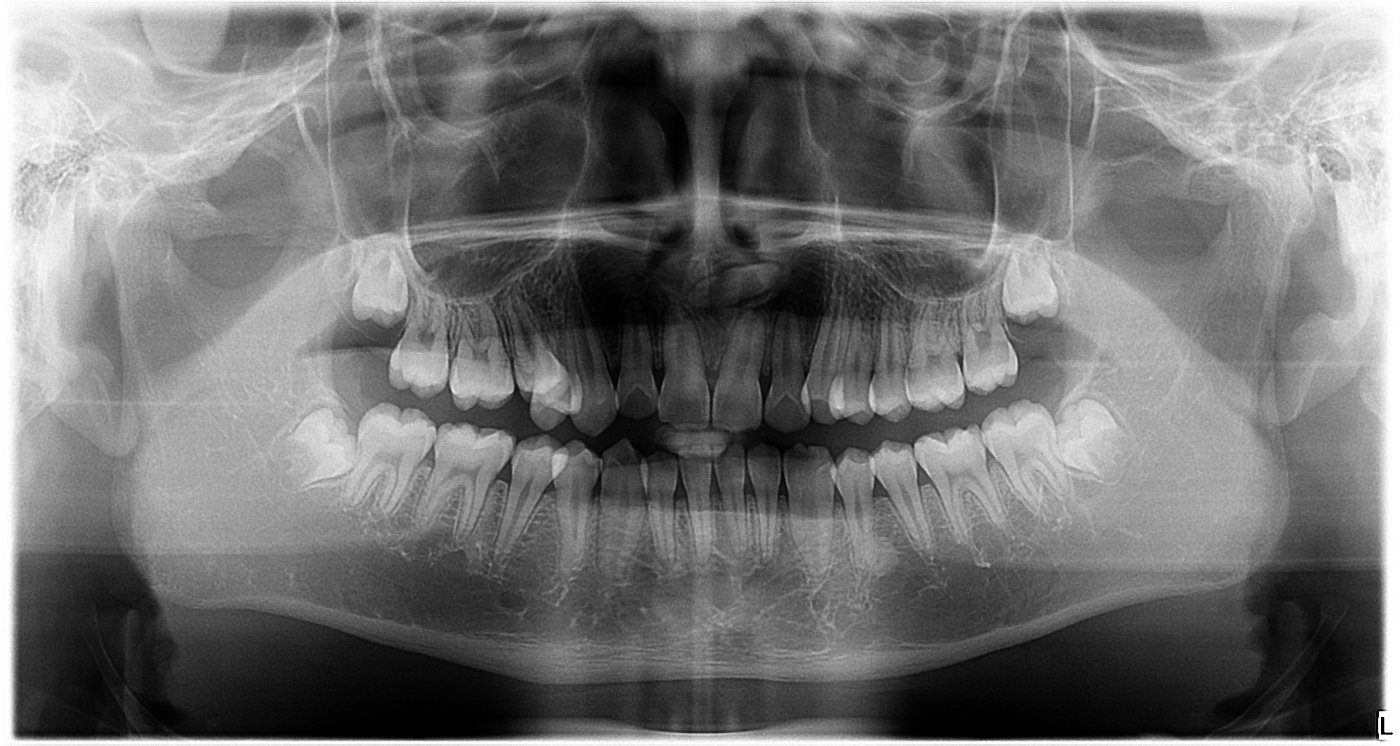
(1)拍摄两张x光片(包括全景片、侧位片)。

侧位片

全景片
(2)制取矫治前的上、下颌牙齿原始模型。

牙齿石膏模型
(3)拍摄牙齿及面像的照片。

口内照

面型照
(4)医生将根据上述所收集的资料进行分析;
头影测量一因为x线头影测量是对牙齿、面型正确诊断的重要手段之一;
照片测量一利用照片研究面部比例和形态结构特征,在容貌研究中有一定的应用价值。
牙验石膏模型的测量分析一通过对该种模型的测量观察分析作出诊断。
只有诊断准确,才能制定出相应的矫治方案和治疗计划。
(5)听取矫治方案。
主诊医生综合上述资料进行全面的分析诊断,一般会在一~两周内制订出科学的矫正方案。医生通知患者前来听取矫正计划,与患者及家人共同沟通,包括是否设计拔牙矫治、术前是否进行牙周洁治、矫治期的估计、矫治器的选用、治疗费用、复诊安排等。待方案确定后方可进入治疗程序。
医生或专业护士会详细交待矫治过程中的注意事项,如刷牙方法及时间、饮食的合理选择等。最后患者或家属与主诊医生签约相关的治疗文件(如病人知情同意书、预后说明等)。
(6)复诊时间。
由于矫治器的不同,复诊的时间和频次也是不同的。
固定矫正器大约四周复诊一次,每次大约需要30分钟;而隐形矫治器的复诊时间更为灵活,可根据患者具体情况调整,普遍为2~3个月复诊一次,复诊时长15分钟左右;有特殊情况复诊周期可延长至半年一次;
经过1~2年的矫治治疗后,大部分患者已达到预期的治疗效果,这时候可根据实际情况判断矫正效果,效果理想就可以结束矫正了,也有些特殊情况会进行精细调整。
最后一个步骤,进入活动保持器的保持阶段。
此阶段患者千万不可轻视,一定要按医生的要求戴好活动保持器
(前一年时间除吃饭、刷牙外昼夜戴用,一年后再坚持晚上戴用,至少维持半年),否则可能会造成复发,使前一阶段的矫治过程反弹。
如有牙齿矫正相关的问题,可以私信我进行预约面诊。