
神经介入在线原创文章,如需转载请留言

作者:姚丽娜,宋立刚,马宁
单位:首都医科大学附属北京天坛医院
本
周我们汇报一例左颈内动脉C6-7段重度狭窄血管内介入治疗过程,具体如下。

病例详情
患者,女性,65岁。主因“发作性右侧肢体无力3个月,伴抽搐1次”入院。患者3个月前(2018-4-8)突发右侧肢体无力,表现为右上肢抬举费力,右下肢行走笨拙,伴反应迟钝,就诊于当地卫生院,经治疗(具体不详)后好转。两天后(2018-4-18)上述症状反复,伴发肢体抽搐一次,持续约半小时,期间小便*禁失**。
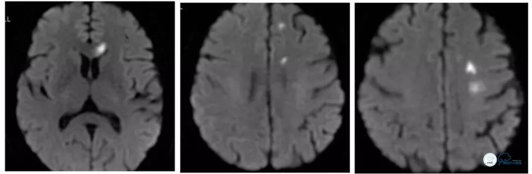
就诊当地医院,行头颅核磁(2018-4-18):左侧胼胝体膝部、左额顶叶新鲜脑梗死(图1)。

图1
颅内及弓上CTA(2018-4-19):左颈内动脉末端、大脑中动脉起始部重度狭窄(图2)。

图2
经内科药物治疗,患者仍有症状反复,为进一步诊治收入我院。
既往史:高血压病史16年。
体格检查:神清,语利,反应稍迟钝,近记忆力减退。NIHSS评分0分,mRS评分0分。
化验检查:血栓弹力图:98.7%,ADP:94.4%。
入院后给予双联抗血小板(拜阿司匹林肠溶片100mg 1/日+氯吡格雷75mg 1/日)、降脂(瑞舒伐他汀10mg 1/日)等治疗。
头颅CTP:左颈内动脉供血区低灌注(图3)。

图3
术前TCD:左颈内动脉颅内段峰值流速无法测出,探及鸥鸣样杂音,左大脑中动脉远端深度49mm处血流速27cm/s。相关区域主要由左大脑后动脉代偿供血。
DSA:左颈内动脉C6-7段重度狭窄,狭窄程度重,病变较长,前向血流减慢(图4,5),后循环造影显示后循环向前循环侧支代偿不足(图6)。

图4

图5

图6
术前讨论
●1. 结合患者病史及多个影像学检查,考虑C6-7段重度狭窄为责任血管,有干预治疗指征。
●2.病变狭窄程度重,局部迂曲成角,长度较长。预期通过病变会存在一定困难,拟采用微导管结合较为柔顺的微导丝先通过病变再更换较硬的微导丝。
●3.治疗风险:高灌注出血风险;狭窄段的重要边支血管损伤;急性亚急性血栓形成;动脉夹层等风险。
治疗过程简述
全麻下右股动脉入路,8F导引导管至左颈总动脉末端,将6F Navien导管送至左颈内动脉C1段以远,造影示左颈内动脉C6-7段长段狭窄,狭窄率约90%,长度约10mm(图7)。

图7
路径图下沿Navien导管送入Echelon 10微导管携Synchro微导丝(0.014″,200cm)尝试过狭窄段未成功(图8)。

图8
更换为Pilot-50微导丝(0.014″,200cm),越过狭窄起始段,再次更换为Synchro微导丝,送至左大脑中动脉M2段(图9)。

图9
跟进Echelon 10微导管以期通过病变未获成功,遂逐节剪断微导管撤出微导管,保留微导丝。送入Ultra-soft球囊(2.0mm×20mm)至狭窄段近端及远端行球扩后造影显示狭窄程度和前向血流均有所改善(图10)。

图10
沿导丝送入两枚Apollo(2.5mm×8mm)球扩式支架由远及近释放(图11,12)。

图11

图12
其后造影显示支架贴壁可,前向血流TICI 3级(图13)。

图13
术后患者出现左眼视物模糊、胀痛。
术后头CT:未见出血。
术后头颅CTA:左颈内动脉C6-7段支架通畅(图14)。

图14
术后CTP:灌注较术前明显改善(图15)。

图15
术后TCD:左颈内动脉C7段流速最高达220cm/s,探及乐音,较术前明显改善,远端阻力指数在正常范围。左大脑中动脉远端流速较术前明显改善,深度49mm处血流速110cm/s。左眼动脉部分闭塞,远端流速降低,主要为颈外动脉通过滑车动脉代偿供血,可探及双向血流。
请眼科会诊,3天后患者眼部症状好转出院(图16)。

图16
讨论
本例患者狭窄程度较硬,微导丝通过病变后但微导管无法跟进,由于首过病变的微导丝系200cm短导丝,遂只能采用分节剪短微管方法撤出微导丝(图17)。

图17
此外受限微导丝长度,也不能使用自膨支架。所幸,使用8F导引导管+6F Navien导管,系统支撑性较强,两枚Apollo支架均能到位,才得以顺利完成治疗。术后患者出现眼动脉栓塞症状,予以处理后病情缓解,目前电话随访患者眼部症状消失。
欢迎大家在下方留言区讨论关于本病例的看法~
