牙齿的健康,离不开牙龈的健康,刷牙出血、牙齿肿痛、牙石等牙周问题都和牙龈健康密切相关。

在日常生活中,这5种常见的行为习惯,会让你的牙龈受伤,快看看你中了几个!
01、忽视口腔卫生
忽视口腔卫生是引发牙龈问题最重要的原因。不坚持好好刷牙,或是刷牙方式不对。不仅不能保护牙齿,还会损伤牙龈。
02、长期吸烟
经常吸烟、不爱喝水都不利于牙龈健康。建议戒烟并坚持喝水,可帮助清洁牙菌斑,保护牙龈。

03、用牙齿咬硬物
用牙齿咬硬物,如骨头、螃蟹壳、核桃等都会损伤牙齿和牙龈,用力咀嚼没有充分烤爆的爆米花也会损伤牙龈。
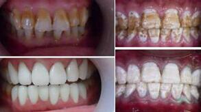
04、不洗牙
依靠刷牙不能完全清洁牙结石,如果牙石持续增大,会刺激压迫牙龈,使牙龈越来越低,牙龈萎缩越来越严重。
05、经常塞牙
牙齿中的食物残渣发酵会产生细菌,如果长期得不到解决,可能会造成牙龈萎缩、牙缝越来越大等问题。

怎么维护牙龈?
1、每天认真按时刷牙,或用牙线帮助清洁牙缝
2、补充维生素C和钙
3、至少每年洁一次牙
最后,
我们希望更多人的牙齿牙龈更加健康,
所以,如果你身边的人牙龈经常出血,
或者食物经常塞牙等等,