欢迎加入环保技术交流圈,在这里你将和万千环保同行一起学习环保技术,得到疑难问题指导和同行交流,最大限度提升环保从业专业技能!
(此处已添加圈子卡片,请到*今条头日**客户端查看)
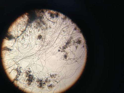
活性污泥法的污泥膨胀,可以说在污水厂的运营管理中是最常见的两种异常现象之一(另一种是污泥泡沫),大多数污水厂在生产运行中都曾遇到过污泥膨胀,有些污水厂污泥膨胀甚至频繁发生。
正是基于此,污泥膨胀成了环保水处理运营人员最头疼的问题,很多污水厂的运行员工对污泥膨胀都有着不同程度的认识和理解,这也是运行人员口中的二沉池跑泥、翻泥的主要根源。
大家都说好才是真的好,大家都头疼才是真的头疼,通过这么多的现场运行人员的认知,足以验证污泥膨胀在污水厂的运行管理中常见性和严重性。
那么污泥膨胀到底是如何产生的?一般情况下我们又该如何应对污泥膨胀呢?
01
产生污泥膨胀的7点原因

导致污泥膨胀的原因很多,大体有以下几点:
- 原水中的营养物质含量不足:活性污泥法处理污废水的过程,就是污泥中的微生物种群不断的吸收、利用水中污染物,在自身增殖的同时,将污染物加以降解的过程。随着反应的进行,需要多种营养物质保证其正常的新陈代谢活动,并维持微生物的动态平衡或活动,若微生物的食物不足,会使低营养型微生物丝硫细菌、贝氏硫细菌过度繁殖,在与菌胶团细菌的竞争中占优势。
- 原水中碳水化合物和可溶性物质含量高:丝状菌与其他菌种相比有其自身的一些特点,它对高分子物质的水解能力较弱,较难吸收不溶性物质。所以当废水中含有较多量的可溶性物质时,有利于底物中丝状菌的繁殖,此外废水中含过多量的糖类碳水化合物时,诸如球衣菌属的丝状菌能直接将葡萄糖、乳糖等糖类物质作为能源加以吸收利用,同时分泌出高粘性物质覆盖在菌胶团细菌表面,从而大大提高了污泥的水结合率。
- 硫化物含量高:正常的活性污泥中硫代谢丝状菌含量不多,若污水中硫化物含量偏高(这种情况多存在于工业废水中),容易引起诸如硫化菌、021N型菌、贝氏硫化菌等硫代谢丝状菌的过量繁殖,致使引发污泥膨胀;
- 进水波动:进水波动是指进入活性污泥反应器的原水在流量以及有机物浓度、种类方面的改变。如果曝气池中有机物浓度突然增加,就会因微生物呼吸迅速使溶解氧含量降低,此时丝状菌在争夺氧中占优,大量繁殖,引起污泥膨胀。
- 温度:反应器底物中每种菌都有自己最适宜的生长温度,在最适宜的生长温度下,其繁殖能力旺盛,竞争力强,如果温度低,污水中微生物代谢速度较慢,会积累贮存起大量高粘度的多糖类物质,使活性污泥的表面附着水大大增加,SVI值增高,从而可能会引起污泥膨胀,温度对丝状菌的影响也是很普遍的,丝状菌膨胀对温度具有敏感性在其他条件等同的情况下,10℃时产生严重的污泥膨胀现象,将反应器温度提高到22℃,就不再产生污泥膨胀,这也是大多数活性污泥在冬季时会产生污泥膨胀或者污泥膨胀更加严重的原因。
- 溶解氧:溶解氧作为构成活性污泥混合液的三要素(气、水、泥)之一,是许多微生物降解反应的必要条件。菌胶团细菌和浮游球衣菌等丝状菌对溶解氧需要量差别比较大,菌胶团细菌是好氧菌,而绝大多数丝状菌是适应性强的微好氧菌,因此若溶解氧含量不足,菌胶团菌的生长受到抑制,而丝状菌仍能正常利用有机物,在竞争中占优。
- pH值:pH值较低,会导致丝状真菌的繁殖而引起污泥膨胀,活性污泥微生物最适宜的pH值范围是6.5~8.5,pH值低于6.5时利于真菌生长繁殖,pH值低至4.5时,真菌将完全占优,活性污泥絮体遭到破坏,所处理的水质恶化。
02
解决污泥膨胀的5点思路

如何控制并解决活性污泥膨胀问题?大致有以下几种方法:
- 投加Cl2或漂*粉白**:控制污泥膨胀采用的传统氧化剂是Cl2.具有氧化能力的氧化剂渗入细胞后,能够破坏菌体内的酶系统,导致细胞死亡,绝大程度上说的丝状菌都可通过加氯气加以控制,一般投加在回流污泥中,加氯点的Cl2浓度应控制在<35mg/L,加氯量最适宜控制在10~20mg/L.d,投加量过大反而会杀死菌胶团细菌,造成絮体解体。当SVI值逐渐降低、膨胀不断缓解时,应逐渐减少投药量。
- 投加H2O2:双氧水在控制污泥丝状菌膨胀中的应用也是相当广泛,控制丝状菌的最少投加量是0.1g/kg.d(H2O2/MLSS)时,将会破坏脱磷作用,投加一段时间后(大概10天左右)脱磷作用会慢慢恢复。双氧水的毒性对脱氮作用的影响比较小,在检测中没有发现氨氮和硝酸盐氮的明显变化。
- 投加臭氧:投加臭氧也可以控制丝状菌引起的污泥膨胀臭氧还能够有效改善硝化作用和提高难降解有机物的去除率,臭氧的投加量在4kg/kg.d(O3/MLSS)左右,一般投加在好氧区。
- 投加絮凝剂:投加合成的有机聚合物、铁盐、铝盐等混凝剂均可以通过其凝聚作用来提高污泥的压密性,投加高岭土、碳酸钙、氢氧化钙等也可以通过提高污泥的压密性来改善污泥的沉降性能。实践证明,不设初沉池的污水厂,其SVI值都比较低,所以设有初沉池的污水厂发生污泥膨胀时,将部分污水直接送到曝气池也是一种控制污泥膨胀的方法。
- 回流污泥:此法主要应用在脱氮除磷工艺中,将二沉池排出的回流污泥排入一单独设置的曝气池内进行曝气,将微生物体内贮存物质氧化,从而使菌胶团细菌具有最大吸附和贮存能力,使污泥得到充分再生并恢复活性,所以可以在与丝状菌的竞争中获得优势,抑制丝状菌的过量繁殖。活性污泥中复杂微生物与废水中的有机营养物形成了复杂的食物链,最显担当净化任务的是异养菌和腐生性真菌,细菌特别是球状细菌起着最关键的作用,优良运转的活性污泥,是以丝状菌为骨架由球状菌组成的菌胶团。沉降性好,随着活性污泥的正常运行,细菌大量繁殖,开始生长原生动物,是细菌第一次捕食者,活性污泥常见的原生动物有鞭毛虫、肉足虫、纤毛虫和吸管虫。活性污泥成熟时固着型的纤毛虫、钟虫占优势;后生动物是细菌的二次捕食者,如轮虫、线虫等只能在溶解氧充足时才出现,所以当出现后生动物时说明处理水质好转标志,其性能指标包括:混合液悬浮固体浓度(MLSS),污泥沉降比(SV),污泥容积指数(SVI)、污泥密度指数(SDI)。
03
结尾语

其实有关于污泥膨胀的学术研究,从来就没有停止过,国内外大量的文献资料都有所述及,但是污泥膨胀这块“牛皮癣”,还是一刻不停的出现在各个污水处理厂站,所以仅仅依靠理论是远远不足的。
希望有经验的大神,都可以把自己的见解分享下,我们一同在工艺运行管理上深入探讨,如何来规避污泥膨胀的运行风险,欢迎大家留言参与讨论哦。