
4月8日、9日,门头沟区医院骨二科匡正达主任团队的副主任医师石立刚和主治医师匡敬勇,成功为两位多节段腰椎管狭窄症、下肢剧烈疼痛、保守治疗无效的老年患者,进行了微创椎间孔镜手术治疗,避免了开刀大手术,术后第二天下地行走,疼痛及麻木症状消失!
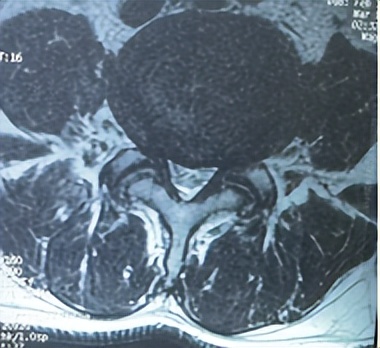
病例1



核磁显示腰4/5、腰5骶1椎管狭窄
61岁男性患者,腰4/5及腰5骶1两个节段椎管狭窄,腰痛伴左下肢放射性疼痛10年,伴有间歇性跛行,影响日常生活,保守治疗无效,但身体并发多种内科疾病,无法行开放手术,局麻下行微创椎间孔镜双节段减压。



微创椎间孔镜术中
病例2



腰3/4、腰4/5两个节段椎管狭窄
66岁男性患者,腰3/4、腰4/5两个节段椎管狭窄,左下肢放射性疼痛、麻木2个月余,间歇性跛行,保守治疗无效。其爱人9年前患腰椎间盘突出症,副主任医师石立刚利用微创椎间孔镜治疗后,至今效果满意。此次慕名前来。



微创椎间孔镜术中
相关科普
微创椎间孔镜手术 是局部麻醉下,使用放大的内窥镜,对压迫神经的椎间盘组织进行摘除,来缓解患者坐骨神经痛的先进的微创治疗方法。 常见疾病 有腰椎间盘突出症、腰椎管狭窄症、神经根型颈椎病等,其中腰椎间盘突出症尤为常见,同样适用于高龄不能耐受大手术的,多节段狭窄的患者, 此手术风险要明显低于开放手术。
专家介绍

匡正达
骨二科
(脊柱中心)
主任
主任医师
出诊时间: 周三上午
个人介绍
硕士研究生导师,曾任解放军总医院第三医学中心(原*警武**总医院)骨三科主任。享受全军优秀人才岗位津贴。发表学术论文60余篇,其中SCI论文2篇。主编专著2部,参编专著6部。
1.中国康复协会肢残康复专业委员会常务委员。
2.中国医师协会创伤外科医师分会第一届委员会常务委员。
3.中国康复医学会骨与关节康复专业委员会第一届委员。
4.中国中西医结合学会第三届脊柱医学专业委员会委员。
5.中国医促会中老年保健专业委员会脊柱外科专业副理事长
6.北京市中西医结合学会第四届骨科分会常务委员
7.国际矫形与创伤外科学会SICOT中国部微创外科学会第一届委员会委员。
8.北京医学会骨科分会第十一届委员会骨肿瘤骨感染组委员。
9.《中华灾害救援医学》杂志第一届编委会编委。
10.《医学参考报》灾害救援医学频道第一届编委会编委。
11.2013年*警武**部队医疗成果奖励评审委员会委员。
12.北京市医学会医疗事故鉴定专家。
13.海淀区医学会医疗事故鉴定专家。
2007年中央电视台《人物》栏目曾以“中国骨科医师——匡正达”为题作专访报道。
2008年参加中央电视台《人物》栏目“医学专家讲救灾”讲座,多家媒体也曾进行过相关报道。
多次参加国际重大灾害救援。
专业擅长
1.颈椎病、颈椎间盘突出、颈椎后纵韧带骨化、颈椎肿瘤及颈椎骨折脱位的前后路手术治疗。
2.胸椎间盘突出、胸椎管狭窄的手术治疗。
3.腰椎间盘突出、腰椎管狭窄、腰椎滑脱、腰椎峡部裂的手术治疗。
4.强直性脊柱炎及脊柱侧弯的矫正手术治疗
5.腰椎肿瘤、腰椎骨折、及老年性骨折疏松导致的骨折的手术治疗。
6.全膝关节置换及全髋关节置换手术。
7.脊柱结核的手术治疗。

石立刚
副主任医师
出诊时间: 周四上午
个人介绍
中国医师协会中西医结合分会脊柱微创学组委员,中华中医药学会脊柱微创专家委员会委员,中华医学会北京医学分会脊柱微创学组委员,世界中联骨关节疾病专业委员会第二届理事会理事,白求恩基金会微创专委会委员,掌握骨科常见病、多发病、疑难病的诊断及治疗。近10年来,专注于脊柱微创的手术治疗及技术革新,师从多位国内知名脊柱微创专家,椎间孔镜技术娴熟,可以镜下完成各个节段、各种类型的突出腰椎间盘的摘除手术;熟练掌握神经根型颈椎病脊柱内镜的治疗;对于高龄患者的多节段椎管狭窄及腰椎开放术后失败病例的镜下减压治疗,积累了丰富的临床经验并发表了相关论著。迄今已主刀完成脊柱内镜手术3000余例,保持了超高的手术成功率和患者满意率。
骨二科电话
13521658869
(微信同号)