
急性旁中心中层黄斑病变(paracentral acute middle maculopathy,PAMM)是一种在频域光相干断层扫描(SD-OCT)中定位于内核层(INL)的带状高反射病变,主要病因是视网膜中层及深层毛细血管丛缺血或梗塞。据报道其可见于视网膜血管阻塞性疾病如CRAO、BRAO、CRVO及系统性疾病如糖尿病性视网膜病变、镰刀细胞视网膜病变和远达性视网膜病变。而en face-OCT则是在传统高密度“B-scan”的基础上经软件运算处理而成的所谓“C-scan”图像,可提供视网膜及脉络膜不同深度层次的平面影像。Ghasemi Falavarjani K等人研究了视网膜静脉阻塞时en face-OCT中PAMM所呈现的特殊静脉周围蕨状图像,成果发表在American Journal of Ophthalmology。
该研究为回顾性病例观察,纳入了经OCT确诊为PAMM的11只RVO患眼(6男5女),年龄21-85岁,症状持续时间5小时-30天,患眼最佳矫正视力指数-1.0不等,并尽可能通过系统检查排查全身疾病,如高血压、冠心病、慢阻肺、AIDS及甲亢等(病例特点见表1)。所有患眼均行眼底彩照、FA以明确病因。彩照、FA、OCTA结合后使用GIMP软件在INL层面图像上进行血管绘图,动脉标红而静脉标为蓝色。
表1. 基线期病例特点

研究结果表明FFA除在9个病例中显示了明显的动脉血流减缓外,未能显示与OCT图像中出现的内核层高反射相关的病灶。但en face-OCT则显示所有病例均出现与PAMM分布相关的静脉周围病灶,而大动脉分支周围并无此表现(见图1-5)。多数患眼中出现的静脉周围PAMM呈蕨状分布,但在较严重病例中静脉周围病灶较宽而无此表现。

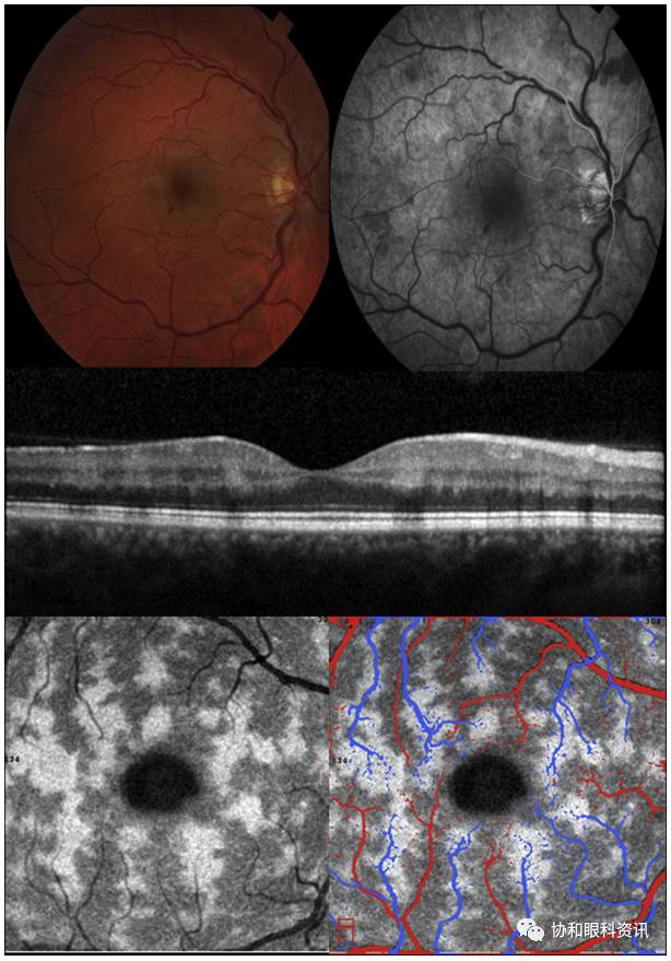
图1. 36岁男性CRVO患者。第一排为彩照及FA;第二排为OCT B-scan,可见内核层高反射,第三排为en face-OCT图像及血管绘图,可见静脉周围蕨状PAMM而动脉周围无此表现。

图2. 37岁男性CRVO患者。第一排为彩照及超广角FA; 第二排为基线期en face-OCT图像;第三排为随访第11天时en face-OCT图像 ,视力较前提高。

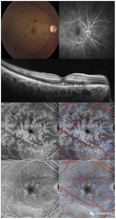
图3. 48岁男性CRVO患者。第一排为彩照及FA;第二排OCT示内核层高反射;第三排为基线期enface-OCT图像;第四排为随访一个月后en face-OCT图像,示PAMM变窄变薄。

图4. 70岁女性高血压患者突发视力丧失。第一排为彩照及FA;第二排OCT B-scan;第三排基线期en face-OCT图像示PAMM及动脉周围狭窄无病变区域;第四排为随访一个月后en face-OCT图像。

图5. 22岁女性半侧中央静脉阻塞(HRVO)患者。Enface-OCT示上方HRVO区域沿静脉周围精确分布的PAMM病灶。
研究者分析认为这种特殊类型的病变分布与动静脉周围的氧分压相关。动脉氧分压高,因此其周围的视网膜细胞对缺血损伤的耐受性更好,而静脉周围则恰好相反。尤其当急性血管阻塞更严重时,PAMM这类缺血性疾病病灶更趋近于动脉分布范围,以至蕨状分布模式消失。
不可否认,本研究样本量相对较小,也未能提供所有病例的随访图像。但瑕不掩瑜,这是关于视网膜静脉阻塞时PAMM在en face-OCT中出现静脉周围蕨状分布的首次报道,证明了en face-OCT在评估PAMM方面的重要性。本研究也提示我们,在OCTA大热的今天,换个角度观察平时常见的OCT B-scan图像,或许能有新的发现。
(本文图表均摘自原文)
参考文献:
GhasemiFalavarjani K , Phasukkijwatana N, Freund KB, et al. En Face Optical Coherence Tomography Analysis to Assess the Spectrumof Perivenular Ischemia and Paracentral Acute Middle Maculopathy in RetinalVein Occlusion[J]. American Journal of Ophthalmology, 2017, 177: 131-138.
短评

陈有信
PAMM,即急性旁中心中层黄斑病变。与其说PAMM是一个疾病的名称,不如说是一系列疾病的一个症状表现,如CRAO、BRAO、CRVO及DR、镰刀细胞视网膜病变和远达性视网膜病变等。FFA的发明,使得我们观察视网膜生理及病理状态下的循环改变,但FFA显示的是视网膜不同层次血管网的叠加影像。OCT的发明,尤其是谱域OCT,可以清楚地显示视网膜的不同层次的病变,PAMM诊断的提出也是与OCT的进展密不可分的。典型的PAMM病变就是SD-OCT的B扫描检查可以发现,在黄斑中心旁视网膜的中层即内核层显示出带状高反射病变。OCT除了可以看视网膜的切面,同时还可以用其C扫描模式观察视网膜的不同层次。本文利用en face OCT观察了11例RVO患者,进行了FFA、B扫描OCT和en face OCT检查进行了对比,有了很有趣的发现。因此,借助不同的检查手段或检查方式,可以发现疾病的不同侧面的特征。目前,OCTA技术也日臻完善,结合OCTA检查,对PAMM也会有新的发现。事实上,自从OCT发明以来,结合自发荧光和其他多功能影像检查,大大提高了临床诊疗水平和对疾病发病机制的认识。
《国际眼科时讯》的【文摘速递】栏目于2015年8月起与《协和眼科资讯》实现共建,所有资讯在两个微信公众账号同步上线,以下为两个账号的二维码: