导读
医脉神经每周五个工作日都有雷打不动的早餐病例学习,每天3个短小精悍的小case,每天掌握3个知识点。
每个群的群主轮流提供早餐病例,感谢各位群主及老师们的辛苦付出,也感谢参与讨论的众多群友。大家思想的碰撞,产生了无数的智慧火花,常在群里逛逛,每天都有新的收获。上周的精彩晨读病例摘选如下。
本次病例整理:赵伟
医脉通编辑整理,未经授权请勿转载
病例1(病例提供: 杜琴 老师)
患者,青年女性。患者入院前3小时于院外行“左侧颞部自体脂肪填充术”。2小时候后自觉头晕,随即出现失语。急诊取栓后两天去世。

答案:急性脂肪栓塞
本病例难度不高,目的是再次让老师们了解美容手术可能造成的致命性危害。自体脂肪注射是一种常见的面部软组织美容手术。虽然这种手术通常是安全的,但有个别患者在注射后出现视力丧失或脑梗死。患者大脑中动脉低密度灶,符合脂肪栓塞。颞部自体脂肪注入术时,注射针刺入颞浅动脉,高压注射下,脂肪碎块经颞浅动脉逆行入颈外动脉,经颈总动脉和颈内动脉再进入颅内导致颈内动脉供血系统的脑栓塞,和/眼供血受阻导致失明。因此,脂肪注射应缓慢进行,并确保注射器回抽没有血液。
病例2(病例提供: 赵尧辉 老师)
患者,女,18岁。主要症状为急性头痛、呕吐、视物模糊。患者既往有炎症性肠病和口腔溃疡病史。

答案:神经白塞病
本病例开始没有给炎症性肠病和口腔溃疡病史,好多老师考虑是中毒。当一个既往有反复口腔或生殖器溃疡、葡萄膜炎或白塞病其它症状的患者出现神经系统症状时,需要考虑神经白塞病(NBD)。神经白塞病是一种累及多系统的自身免疫性疾病。临床表现为复方性口腔溃疡、生殖器溃疡、皮肤病变和葡萄膜眼,也可累及血管、神经系统、消化道、关节、肺、肾等器官。当累及神经系统时,称为神经白塞病。中枢神经系统受累较多见,可有头痛、Horner综合征、假性球麻痹、癫痫、无菌性脑膜炎、视乳头水肿、偏瘫、失语、截瘫、感觉障碍、精神异常等症状。脑实质NBD典型的好发病灶是脑干,通常累及脑桥,可向上蔓延至中脑、基底节、间脑;可表现为半球的白质病变,也可为半球孤立性病灶,需与肿瘤、脓肿和先天性囊肿等鉴别;急性/亚急性病灶为T1WI上等-低信号,增强通常有强化,T2WI和FLAIR上为高信号,DWI上高信号,相应ADC值降低。
病例3(病例提供: 赵尧辉 老师)
患者,女,45岁。主要症状为持续打嗝、呕吐、吞咽困难、眩晕,多动,上视性眼球震颤。患者完善脑脊液检查,提示AQP4(+)

答案:AQP4(+)的视神经脊髓炎,极后区综合征
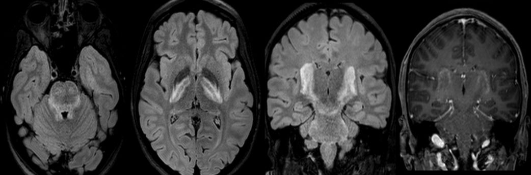
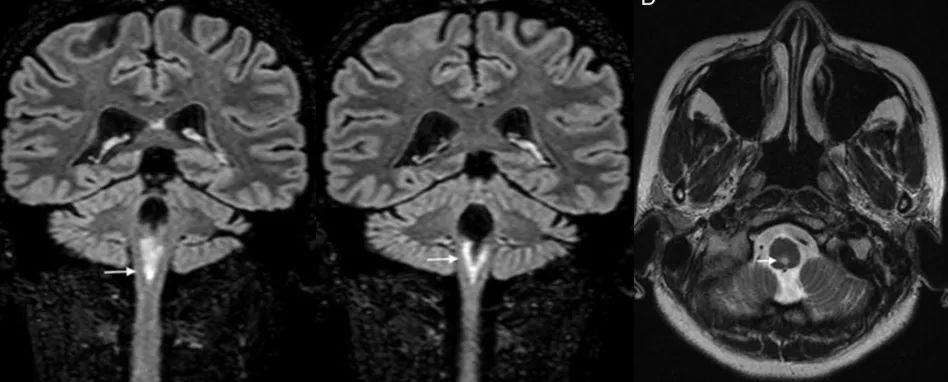
极后区又称最后区,位于第四脑室底后部水平、孤束核和延髓的背侧面。极后区主要由缺乏紧密连接的有孔毛细血管供血,且缺乏正常的血脑屏障,对许多不能进入其他脑组织的蛋白质、多肽具有通透性。此区的星形胶质细胞富含水通道蛋白4(AQP4)抗原,因此容易成为AQP4抗体损伤的部位。极后区综合征(APS)是指无法用其他原因解释的顽固性呃逆和/或恶心、呕吐。
如果患者表现为急性或亚急性起病的恶心、呕吐和呃逆(单独出现或合并其他症状),发作性或持续性,症状存在≥48h(如MRI可见极后区新发病灶,则症状存在时间短(<24h)时也需考虑);对症治疗(静脉补液,止吐药物,呃逆治疗)并不能完全好转,排除其他病因后就要考虑NMOSD极后区综合征。
病例4(病例提供: 姜宏佺 老师)
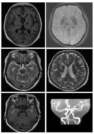
女,76岁,主因排便习惯改变1周入住消化科,后因出现因精神差,反应迟钝,乏力,睡眠差,查体:垂直眼震,四肢肌力3级,病理征阴性。住院过程中发现水平眼震。

答案:副肿瘤综合征
患者老年女性,大便习惯要考虑肠道肿瘤等。患者临床症状表现为反应迟钝、睡眠障碍等,要考虑颞叶受累,头MRI示双侧基底节病变。双侧基底节病变的原因考虑:中毒(CO、醇类、苯类等);代谢异常(血糖异常、血氨异常、缺血缺氧、ODS等);感染(病毒、真菌);免疫性(自身免疫性脑炎、副肿瘤、ADEM、白塞);血管病(CADASIL、TOB、Percheron栓塞、DAVF、Pres等,多累及双侧丘脑);代谢(肝豆、MELAS、有机酸血症);变性病(CBD、NF1等);肿瘤。后完善肺CT示左肺上叶侧胸膜局限性增厚。全腹部ct未见异常。脑电图未见异常。完善肿瘤标记物抗体提示NSE、Cyfra211、CA199增高,自免脑抗体(-),副肿瘤抗体提示抗CV2、抗Hu抗体(+)。
病例5
女性,73岁,进行性意识模糊、行为紊乱4天。发病前数周有间歇性头痛。既往史:高血压病、甲状腺功能减退症、轻度抑郁,有颈动脉内膜切除术史。

答案:抗AMPAR脑炎
本病例的影像特征很明显,病灶靠后,结合头痛、高血压病史,好多老师认为是PRES。补充资料:第二次复发时,原始血清样本检测到抗AMPAR抗体。促甲状腺激素升高(5.4 mIU/L),T3、T4水平在正常范围内。EEG双侧慢波。免疫球蛋白治疗后,症状多次复发。答案是抗AMPAR脑炎。患者突发起病的意识模糊、精神行为异常应该想到自身免疫性脑炎。抗AMPAR抗体脑炎的病因及发病机制仍不清楚。AMPAR在中枢神经系统广泛分布,但主要位于在海马。典型临床表现包括意识障碍、精神异常及癫痫发作等,约 70% 的患者具有恶性肿瘤(胸腺瘤、肺癌或乳腺癌),并且约 50% 的患者合并有其他的自身免疫疾病,包括桥本甲状腺炎、雷诺病等,也可表现为抗血液过氧化物酶,谷氨酸脱羧酶、抗核抗体等自身免疫抗体阳性。
病例6
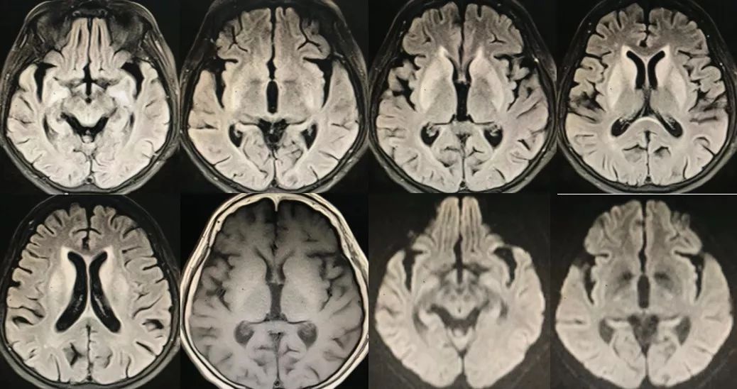
男性,32岁,全面性癫痫发作和右侧同向性偏盲。左乙拉西坦对癫痫控制较好。活检显示炎症性脱髓鞘白质病变,虽用大剂量激素效果欠佳。

答案:X-ALD
本例患者好多老师考虑肿瘤,包括胶质瘤、淋巴瘤、炎性假瘤等,患者的影像特点占位效应不明显,无明显水肿,跨胼胝体,像淋巴瘤但是激素效果不佳。活检显示炎症性脱髓鞘白质病变,要考虑遗传性脱髓鞘病。补充病史:母亲的叔叔因神经损伤导致婴儿时期死亡;血液中极长链脂肪酸阳性。X-连锁肾上腺脑白质营养不良(X-ALD)是一种遗传性神经变性病,主要累及脑白质、神经轴突、肾上腺皮质和*丸睾**。主要生化改变是继发于过氧化物酶体功能异常的极长链脂肪酸(VLCFA)蓄积。异常增多的VLCFA可以沉积在脑白质、周围神经、肾上腺、*丸睾**以及羊水细胞,引起中枢神经系统进行性脱髓鞘病变,可伴有肾上腺皮质萎缩或发育不良。头部MRI显示典型的病变部位在顶枕区,且通常是双侧的,但偶尔也可局限于一侧。
病例7(病例提供: 康健捷 老师)
女,63 岁,反复头晕、四肢乏力、记忆力下降5年。

答案 :伴有皮层下梗死和白质脑病的常染色体显性遗传性脑动脉病(CADASIL)
本病例比较典型,绝大多数老师回答正确。CADASIL主要累及侧脑室周围和深部白质。以额叶白质最常受累,其次为颞叶和顶叶,而枕叶受损程度相对较轻。外囊、颞极的对称性异常信号对诊断有高度提示作用。胼胝体亦可全层受累,引起胼胝体萎缩。当然也有不典型CADASIL,表现为脑小血管病,如微出血、脑萎缩等。可以通过ADASIL量表进行筛查,如果总分≥15分者,提示CADASIL。
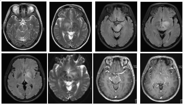
病例8(病例提供: 王浩玥 老师)
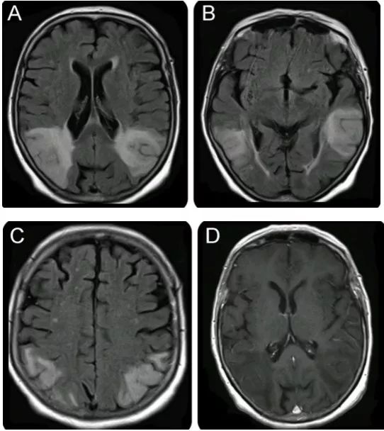
患者,女,43岁,因“头晕、行走不稳1月,加重伴左侧肢体无力10天”入院,1月前以“颅内感染、自身免疫性脑炎”收治。激素治疗效果欠佳。1月前增强:

此次复查平扫+强化:

答案:弥漫性大B细胞淋巴瘤
影像表现为:T2/FLAIR显示深部脑白质、皮层、基底节多灶性高信号。常见弥散受限,T2* GRE可见血液产物的“开花征”。T1WC C+多变,通常可见线样和斑片状强化,也可成环形、脑沟样等。脑膜和/或硬脑膜增强。有时类似于血管炎。
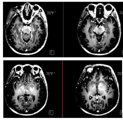
病例9(病例提供: 王浩玥 老师)
患者,女,55岁,因“突发视物重影1月,加重伴左侧眼睑下垂十余天”于入院,左侧上睑下,左眼向上、向下、向内活动受限,右眼各向眼动充分,伸舌右偏。

激素治疗半月后复查:

答案:间变性星形细胞瘤
好发于额叶、颞叶与顶叶的交界区,幕下少见。影像表现为浸润性肿块,主要累及白质。T1WI呈低信号,有出血时可见片状高信号区。T2WI呈高信号为主,常由于瘤内坏死而表现为混杂信号,DWI肿瘤实质部分呈稍高信号,坏死区呈低信号。瘤周水肿带呈长T1、长T2信号。通常不强化,少见局灶、结节样、均匀、斑片状强化。肿瘤组织可以通过细胞外间隙和沿白质束扩散,也可通过脑脊液和室管膜扩散,在播散通路上出现相似信号的肿块影。肿瘤内部不规整的线条状影指向周围脑实质,为本病较特征性的影像特点。
参考文献:
[1] http://www.ajnr.org/content/cow/07182019
[2] http://dx.doi.org/10.1017/cjn.2019.60
[3] Shosha E, Dubey D, Palace J, et al. Area postrema syndrome: Frequency, criteria, and severity in AQP4-IgG-positive NMOSD. Neurology. 2018 Oct 23;91(17):e1642-e1651.
[4] 袁建华,黄卫,段春霞.合并心律失常的 AMPA2 型抗体阳性自身免疫性脑炎 1 例[J].中国现代医学杂志,2018,28(20):126-128.
[5] 辛颖.X-连锁肾上腺脑白质营养不良诊治[J].中国实用儿科杂志,2016,31(6):429-433.