疫苗改变了人类的历史进程,在疫苗普及之前各种传染病导致了无数的成人和儿童死亡或致残,由于他们没有免疫力来对抗那些可怕的传染病。

从18世纪到现在,我们开发出种类繁多的疫苗以抵御那些可怕的传染病,但是我们还是会有一个疑问,为什么注射疫苗后肩膀会疼?
为什么打针后会疼
这时候肯定有人会说了,这问题不是明知故问么,因为注射针头扎进肉里面了啊,肯定会疼啊。

说的没错,注射疫苗肯定会疼,这也是最常见的现象,这些疼痛通常会在一两天内完全消除。很多人感觉到肩部外侧肌肉隐隐作痛,这是针剂直接注射进肌肉组织的结果,这种疼痛一般都会自己消除,疼得厉害了可以冰敷一下,吃点消炎药,休息几天,症状就会减轻。
但是如果疼痛还在持续呢?还觉得正常么?
其实,接种疫苗后,肩关节的疼痛也会变成一个慢性问题,疫苗接种相关肩关节功能障碍(SIRVA)就是其中一个原因。
SIRVA是什么
SIRVA是用于上臂肌肉注射的疫苗注射后发生的肩关节疼痛和活动范围受限的功能障碍。
这种情况大多数都是由不正确不规范的注射方式有关,注射针和药剂被错误的注射进了肩峰下滑囊、肩袖、盂肱关节。

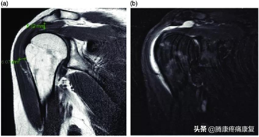
(a)接种疫苗7周后,对左肩进行T1磁共振成像(MRI)扫描,表明肩峰下和三角肌下滑囊炎,已用测量工具标记。(b) 接种疫苗7周后,对左肩进行T2 MRI扫描。在这里,充满液体的囊呈白色。
由于疫苗大多数与用来刺激机体产生抗体,所以SIRVA刺激机体的免疫反应导致慢性滑囊炎、粘连性关节囊炎、肩袖肌腱病、骨髓水肿、骨坏死等并发症。
SIRVA是怎么发生的
SIRVA是由不正确不规范的注射方式有关,由于数以百万的新冠疫苗接种的计划,每天需要注射大量疫苗,巨大的工作量导致工作人员疲劳和匆忙,常规程序被忽略,不适当的注射风险也会随之增加。

正确注射
上臂三角肌是肌肉注射是最常见的部位,三角肌的注射定位应当为,上臂外侧,肩峰下2~3横指处。
此处的三角肌外侧无血管走行,也远离主要神经,例如腋神经和桡神经。

Canadian Family PhysicianVol. 65, Issue 1 1 Jan 2019
注射时,患者和接种者都应当坐着,上臂完全暴露,这会有利于对针头的控制,避免角度过大或过度穿透。
SIRVA的症状
当疫苗被错误的注射后,由于疫苗注射或针头创伤错误的进入肩关节滑囊或其周边区域,引起免疫反应导致炎症,引发一系列典型的症状包括:

接种疫苗后8周的肩部T2加权MRI图像。左下箭头表示肱骨头皮质不规则。中上箭头表示冈上肌腱部分撕裂。右上箭头表示肩峰下囊积液。
- 注射后显著的慢性肩痛
- 肩关节活动受限
同时诊断SIRVA必须要满足以下四个标准:
- 没有导致肩部疼痛的原发疾病
- 疼痛在注射后48小时内发生,并且服用止痛药后症状没有缓解。
- 活动受限和疼痛仅限于注射的肩部
- 没有其他可以导致肩部疼痛的疾病

如何防止SIRVA
SIRVA是一种十分罕见的与疫苗接种有关的并发症,这是可以完全预防的。
在2019年全球接种新冠疫苗的数百万例接种中也仅仅只接到一例报告,这种并发症与疫苗无关,与所有医疗程序一样,即使是不起眼的看似无害的操作也会引起并发症。

下面几个步骤可以确保注射后不会发生SIRVA:
- 确保任何疫苗或工作人员都接受过正确的操作培训。
- 脱掉外套,或者穿一件可以露出肩部的衣服(不要扒衣服往下拉,只露出肩膀上边),肩膀抬得太高会导致针头无意中进入肩关节。
- 如果注射后肩痛持续了好几天,一定要及时就诊。
肩部注射是非常安全的,疫苗也总是能起到作用的,疫苗在减少传染病及其并发症方面的作用是相当巨大的,疫苗可以防止每年约六百万人的死亡。同某些阴谋论相反,注射疫苗的收益远远大于这些注射风险。

但是,凡事都不是绝对的,这其中就包括工作人员的不当注射导致的慢性肩痛,确保工作人员都接受过正确的注射培训、保持正确的接种姿势。这有助于确保这种并发症不会发生在自己身上。