突发的紧急情况
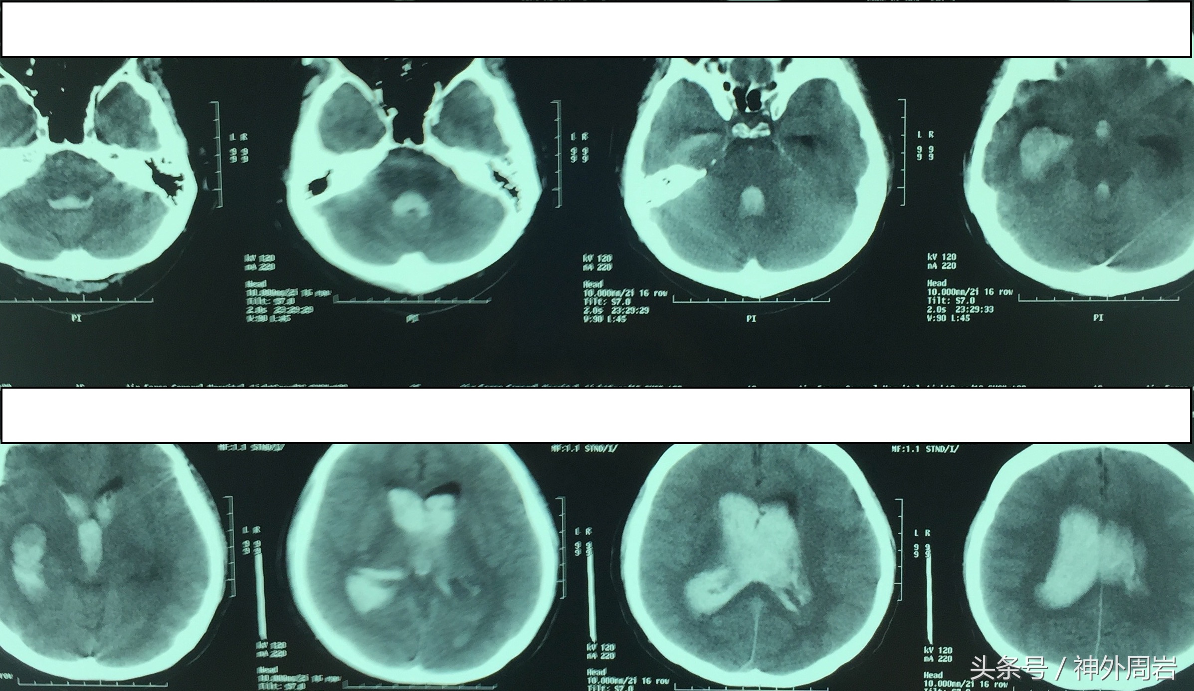
晚上22点,55岁的老宫正在沙发上休息,突然出现了极为剧烈的头痛,随即进入意识模糊状态,伴有四肢无力。在紧急送往医院过程中,呕吐2次,呈喷射样,意识障碍程度逐渐加深。紧急脑CT检查发现脑室系统充满了血。
诊断:自发性脑室出血
当血液完全灌满整个脑室系统时,我们称之为“铸型”。
铸型意味着很严重的疾病

这是什么病?为什么这么严重?
自发性脑室出血虽然发生率不高,但是一种预后凶险、并发症多、病死率高的严重疾病。严重者出血后即可进入昏迷,数小时内死亡。

什么原因可以造成如此严重的疾病?
高血压、烟雾病、血管畸形、椎动脉夹层、脑室内肿瘤、凝血功能障碍等都可导致脑室出血。
而上文提到的老宫,在详细了解既往病史后发现,老宫在2016年经全脑血管造影检查即已明确罹患有“烟雾病”。

显然,“烟雾病”就是这次脑室出血的凶手。
这是一只披着羊皮的狼,貌似烟雨朦胧,却暗藏黑手。

什么是“烟雾病”?
烟雾病是指由原发性颈内动脉末端狭窄、闭塞及脑底出现异常血管扩张网所致的出血性或缺血性疾病。因脑底异常血管网在脑血管造影像上似“烟雾状”或“朦胧状”,故而称之为“烟雾病”。
上述描述可知烟雾病有两种类型:缺血性和出血性。儿童常表现为缺血性,而成年人则表现为出血性。

怎样才能确诊,发现这只披则羊皮的狼?
脑血管造影(又称为DSA)是临床确诊本病的主要手段。

老宫就是典型的出血性烟雾病引起的自发性脑室出血!
为什么会出血?
烟雾病在发展过程中,随着脑底侧支循环的建立,新生的烟雾状的异常血管网逐渐增粗迂曲,尤其是脑底面的穿通支由纤细状逐渐变为增粗迂曲状,形成微小动脉瘤或动脉瘤而破裂出血。

出血了怎么办?
救命!紧急救命!
面对着已陷入深昏迷的老宫,“双侧脑室穿刺引流手术”是救命的稻草。抓住了稻草,也挽救了生命。经积极的抢救和治疗,目前的病情正逐渐平稳。

我们还有其他的方法减少出血的发生率吗?
待病情完全稳定后,可酌情考虑进行外科治疗。治疗方法包括颞浅动脉贴附术、颈动脉内膜剥脱术或颞浅动脉-大脑中动脉吻合术。
这些外科治疗的目的在于增加颅内供血,减少异常血管网作为侧支循环的负荷,从而防止再出血。




一句话总结
脑血管造影是确诊烟雾病的主要方法,由于对烟雾病的病因和发病机制尚不清楚,治疗上主要采取对症治疗,尚无十分有效的治疗措施阻止病情的发展,特别是出血性患者,防止其再出血十分重要,必需终生严密随访。
