点击上方“北京清华长庚医院”可以订阅哦

骨科关节外科中心,由骨科副主任、关节外科中心主任蔡谞教授亲自领衔,运动医学专家陈连旭教授辅助,汇集了来自解放军总医院(*013院医**)、北医三院、积水潭医院、协和医院骨科关节专业的医师,组成国内顶尖的关节诊疗团队。
蔡谞教授,原解放军总医院(*013院医**骨科主任医师,博士研究生导师),国内著名关节外科专家。对关节外科疾病有丰富的诊治经验,尤其专重于人工关节置换和翻修手术以及关节镜下微创手术等关节外科治疗。对股骨头坏死、晚期风湿类风湿性关节炎、先天性髋关节发育不良、骨性关节炎、强直性脊柱炎等骨科常见病和疑难病症的诊治具有丰富的临床经验。许多高难度人工关节置换手术曾无人敢于问津,在我院骨科关节中心已是常态化手术。高难度髋、膝人工关节置换和人工关节翻修手术的临床疗效达到国际先进水平。
关节外科中心目前拥有全套关节镜系统、计算机辅助导航系统、C/G/O型臂X线机、骨科万能手术牵引床、全套骨科手术动力系统及电动、3D打印技术截骨模块等先进的骨科手术设备,可保证完成关节外科领域全部高精尖手术。
秋实
开业近两年,关节病患门急诊量已居院内前列,中心已开展关节外科领域各类手术,包括各类复杂关节置换、截骨矫形、关节置换术后翻修术等复杂疑难手术,并于近期完成国内首例膝关节置换术后Felix IIB型胫骨假体周围骨折翻修术。
壹
人工关节置换
各种晚期骨关节病的关节置换手术治疗是北京清华长庚医院关节外科中心的一大特色,包括股骨头坏死、髋膝骨关节炎、类风湿关节炎、强直性脊柱炎、髋关节发育不良、关节强直、超过80岁的超高龄股骨颈骨折患者的关节置换手术等,我中心在人工关节初次置换及翻修上作了大量工作,置换的难度和手术效果方面已达到国际先进水平,导航下全膝关节置换术:大大提高膝关节置换手术的精确度。

局限性关节置换手术(UKA)

全膝关节表面置换手术(TKA)

铰链式人工膝关节置换手术(HK)膝关节周围韧带严重破坏

国内首例膝关节置换术后Felix IIB型胫骨假体周围骨折翻修术

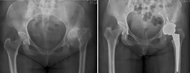
股骨头缺血性坏死

髋关节发育不良

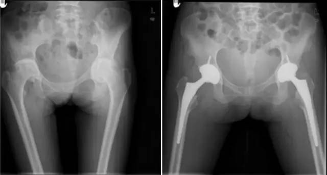
强直性脊柱炎双髋强直

股骨颈骨折
贰
截骨矫形
成人肢体骨与软组织畸形、如:斜颈畸形、臀肌筋膜挛缩症、先天性骨关节疾病畸形、先天性髋关节脱位分期治疗、先天性马蹄内翻足矫形术、X型腿、O型腿、创伤后畸形、小儿麻痹后遗症的肢体畸形矫形、脑性瘫后遗症的肢体畸形矫形等。

胫骨截骨矫形手术(HTO)

股骨远端截骨矫正膝外翻
叁
微创手术
开展关节镜下交叉韧带单、双股解剖重建技术、膝关节多韧带损伤的一期修复重建术、半月板缝合技术、骨软骨移植技术、同种异体移植治疗交叉韧带损伤、双隧道重建交叉韧带、肩关节镜下肩袖修补和SLAP损伤修补术,及肘、踝、腕、髋关节镜术。专业运动员伤病诊治技术、股骨髋臼撞击综合症、股骨头坏死阶梯治疗技术、骨软骨移植技术。

关节镜清理、软骨移植修复

小孔径多孔道低钻速钻孔减压

膝关节镜-半月板损伤

膝关节镜-前交叉韧带重建
膝关节镜-关节内游离体
膝关节镜/肩关节镜/踝关节镜/髋关节镜/肘关节镜
肆
关节置换术后康复和随访
规范完善的术后康复和随访是关节置换患者获得良好关节功能的重要保障。我科关节中心为每位患者准备多媒体视频演示,便于患者理解术前及术后康复计划。我中心根据病人的情况制定康复计划和出院标准,并设立专人在术后6周、3个月、6个月对出院患者进行定期的电话随访,以保证患者获得良好的康复锻炼效果。
我院关节中心每年都要承接大量来自全国各地的进修医生的教学任务,同时担任着医学生的见习和轮转教学工作。定期举办髋膝关节特色学习班,围绕初次髋膝关节置换及翻修手术的热点及最新进展进行深入交流探讨。学习班特别设有手术观摩环节,由多位教授在课程中亲自进行手术演示,并在手术中分享各自在关节置换中的相关手术技巧及经验教训,通过院内高清的视频直播系统使学员获得最直观的授课。
北京清华长庚医院
还在烦恼看病难?长按二维码,预约挂号,门诊信息,就医秘笈,专家大牛,最新医疗动态,靠谱健康小贴士,一网打尽!