来源:半岛都市报
版权归原作者所有,如有侵权请联系删除
6月24日,青岛大学附属医院值班室接到了一通来自日照一家医院的电话。一名两岁女孩吃完烤肠后,在玩闹中不慎被烤肠13厘米长的竹签插入口腔,直指环枢椎关节间隙,紧紧抵住人体最致命部位之一的椎动脉。当地医院不能开展手术,请求紧急转院。接到电话后,一场跨越两地、持续十几个小时、11个科室参与的急诊救治展开了。
竹签抵住椎动脉 随时危及孩子的生命
24日下午4时许,载着患儿的救护车快速驶入青大附院市南院区急诊室,急救人员立即从担架车上抬下了小姑娘。此时,一根细长的竹签直插在她的嘴里,疼痛、惊吓加之长途奔袭,让她原本就瘦小的身体更显孱弱无力。

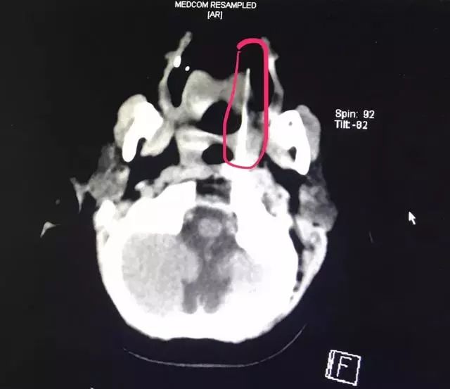
接诊的医护人员迅速为患儿安排了病床并实施了相关检查。CTA检查、颅脑CT、三维重建等一系列检查显示,长达13厘米的竹签经过小姑娘的口腔,直指环枢椎关节间隙,紧紧抵住人体最致命部位之一的椎动脉。
椎动脉发自锁骨下动脉,依次经第六至第二颈椎横突孔上行,穿过枢椎横突孔后向上外弯曲进入寰椎横突孔,行出后由后弓椎动脉沟绕过上关节突,从寰枕后膜弓下方进入椎管,于脑桥下界和对侧椎动脉汇合为基底动脉,沿途分支供应颈髓、脑干及小脑等。

椎动脉一旦发生损伤极易导致颈髓缺血,加之脑干、小脑缺血,死亡率很高。

患儿的影像资料印证了医务部孔心涓主任的担心:
竹签刺入的部位极其特殊而凶险,如果竹签有一丁点挪动,可能会导致椎动脉被刺破,患儿就会有生命危险。
24日晚8时许,医院耳鼻咽喉科、脊柱外科、神经外科、口腔颌面外科、介入医学科、影像科、麻醉科、重症医学科、手术室、小儿外科、急诊科11个学科的专家们,一同为小姑娘会诊。

△专家们在进行会诊
考虑患儿体征和目前伤情,从颈后切开入路的损伤太大,专家们再三权衡和商讨,达成了一致意见:
由耳鼻咽喉科专家从竹签刺入的原路径取出异物,介入科专家在旁保驾血管无损,尽量将孩子的身体损伤控制在最小。
一个多小时的手术 竹签被成功取出
青大附院耳鼻咽喉科姜彦主任提出的“磁导航辅助+内镜下低温等离子微创经口径路颅底探查异物取出术”的方案,得到了会诊专家们的认可。
当天晚上11时许,带着爸爸妈妈的祝福,带着医护人员的期待,小姑娘被推进了手术室。

△手术现场
无影灯下,姜彦及团队成员将患儿口咽部充分暴露后,将其左侧咽部及周边软组织轻轻切开,直至患儿的颅底和上颈椎部位。

△内镜显示的手术过程
在利用先进的磁导航系统探明损伤位置和血管走向后,姜彦顺着异物插入方向,小心翼翼地将竹签松动并*退倒**出来,致命的竹签被成功取出。
6月25日凌晨0:15,手术顺利结束,患儿没有大出血。
手术后小姑娘恢复顺利,生命体征平稳。
类似事故频发 给各位家长敲响警钟
这并不是个案,通过网络搜索可以发现,类似的事故已经发生了很多。
孩子喜欢吃的零食中,很多都是带竹签的。家长们切记,给孩子吃带竹签的食品一定要小心,小心,再小心。

一旦发生意外 千万不要自行拔出异物
若孩子发生意外,家长应保持冷静,迅速将孩子送往医院急救,切忌不可自行去强拔已插入的物体。
根据杠杆原理,从外面晃动异物一毫米,在大脑内部可能就动了一厘米,不知道会碰到哪根神经或者血管,给孩子造成更严重的二次伤害。
远离悲剧 预防最重要
悲剧已发生多起,一定要让孩子远离日常生活中常见的“凶器”。

1.培养孩子安静吃饭的习惯,别一边吵闹、跑跳,一边吃饭。孩子哭闹时,不要强制喂食。
2.家长要引导孩子不要将玩具放入嘴里。
3.玩具不宜过小,能含入口中的玩具,不要给孩子玩。
4.不要给小孩子吃花生、瓜子、豆类、果冻等容易噎到的食物,就算要吃,也要捣烂,带核的食物要先去核。
5.孩子的活动区域内,不要出现细小物品或危险物品,例如硬币、纽扣、图钉、纽扣电池、钥匙、药品、化妆品、小珠子、杀虫剂等,这些都是容易被家长忽视的“杀手”。
暑假马上就到了,请一定看好孩子,千万粗心不得,别再让同样的悲剧发生了。