吃饭,突然把牙给吃“崩”了,相信许多人都遇到过这种情况。那么对于已经缺损的、折断甚至只剩下牙根的牙齿,我们该怎么处理呢?下面一起来了解一下。

首先我们先来了解一下牙齿的构造,再根据伤及的范围,进行处理。
覆盖牙齿表面最坚硬的一层组织叫做牙釉质,牙釉质里面的一层叫做牙本质,再往里面是就是牙神经腔,也就是牙髓。

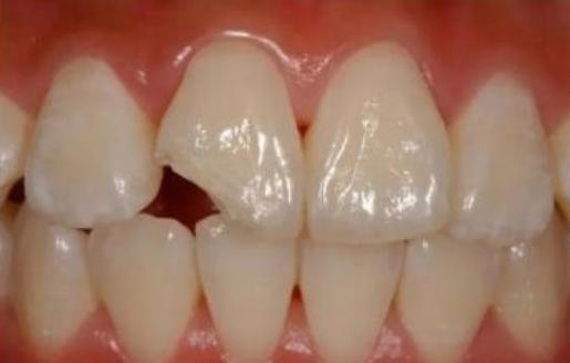
❶ 缺损面积: 一小块,累及范围牙釉质
症状: 遇冷热酸甜没有不舒服
处理:
暂不用做特殊的处理,只需将锐利边缘调磨光滑。
❷ 缺损面积: 牙本质已经暴露
症状: 有轻度的敏感症状
处理:
可以做脱敏治疗,比如使用脱敏牙膏刷牙或涂擦。

❸ 缺损面积: 牙齿缺损较大
症状: 同时出现比较明显的敏感症状
处理:
依据缺损的部位和大小,可以做树脂充填的直接修复治疗,或者是嵌体或全冠等的间接修复治疗,通俗的讲就是堵牙和包牙套。

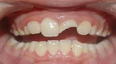
❹ 缺损面积: 牙齿劈裂已经到神经,但未裂到牙根
症状: 出现自发的疼或遇到冷热剧烈且持续的疼痛,甚至疼的晚上睡不着觉
处理: 根管治疗+冠修复
❺ 缺损面积: 牙齿劈裂得很深,已经到了牙龈下很多至是牙槽骨下
症状: 疼痛、牙龈脓肿
处理: 这颗牙齿就没有治疗的价值和意义,只能拔掉了,长期不治疗会出现牙齿不敢咬合,甚至牙龈反复起脓包,而且需要后期的种植和修复来恢复美观和咀嚼功能,此时所需的治疗周期和费用更是大大增加。

不管什么类型的牙体损伤,不及时、不正确的治疗方法可能导致牙齿丧失、破坏咀嚼器官完整性,有些患者甚至可能出现颌面部功能异常。
因此建议大家不要用牙齿咬硬物,养成良好的口腔习惯,一旦出现牙齿咬硬物后掉碴或疼痛,尽快就医。
*本文内容为知识科普,不作为具体的诊疗建议使用,亦不能替代执业医师面诊,仅供参考。