
珍爱生命,远离百草枯!
活着已不易,请善待生命,别轻易放弃生命!人生的路虽然不会永远的一帆风顺,但也不会是永远的荆棘坎坷,要相信船到桥头自然直,风雨后总会见彩虹的。
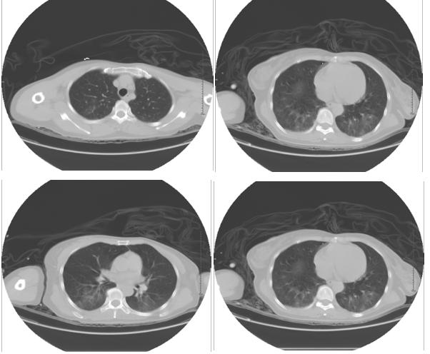
可是上帝真的不公平,也许是因为太绝望,也许是经历太多痛苦,所以你要选择离开人世。下面讲的这个故事是一位轻生的患者服用大量百草枯的案例,很痛心,因为最后她还是走了。凌晨的夜晚,那个拥有片刻宁静的重症监护室被急诊抢救室送上来的一位患者打破了。急诊科医护人员,急忙的将一位表情痛苦的患者用平车直接转运到了我们科。患者不时*吟呻**着,*班交**医生喘着大气说,患者56岁,女性,自服百草枯3小时入院,已经洗胃,患者心率快,呼吸急促,很快会出现呼吸衰竭,肺水肿,需要在重症监护室进行抢救,需要立即行血液灌流治疗,也很有可能要机械通气。下面是急诊查的胸部CT,当时已经有炎症渗出的表现。

然后急查的血气分析提示低氧血症,氧和指数仅有两百多。血常规提示,白细胞三万多,中性粒细胞高,肾功能轻度损害,低钾血症,肝功能无明显异常,但全身炎症反应明显,有高热,气喘等表现。
百草枯中毒是非常凶险,十分危重的急诊重症疾病,死亡率非常高,目前无特效的治疗药。该患者服用的剂量很大,家属诉至少有三个瓶盖,起码有30毫升,有相关文章研究认为口服20%原液10毫升即可导致死亡,预后极差,可想而知。值班医生将该病的预后及治疗费用,下一步诊疗计划等充分告知家属。这忽如其来的灾难,谁都没有想到,无法承受如此巨额的医疗费用,并且签字不同意行血液净化治疗。这是一件很悲痛的事情,我明白患者将会不久于人世。根据百草枯目前的研究及治疗进展,我们能做的是催吐洗胃(急诊)、口服活性炭及思密达胃肠消洗治疗、保护消化道粘膜、糖皮质激素抗炎、抗氧化、护肝利胆、纠正电解质紊乱,维持内环境稳定及氧疗或者机械通气治疗。
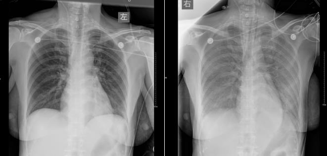
经过以上处理后,患者病情无好转,持续恶化,第二日患者肺部开始出现肺水肿,气喘明显,呼吸衰竭,立即需要行机械通气治疗。(下图所见其肺部情况)

同时患者开始少尿,皮肤巩膜黄染,肾功能、肝功能急剧损害,电解质紊乱,代谢性酸中毒,血乳酸持续升高。患者经过抢救治疗后,第三日还是宣布死亡了。病情的进展是有多么的迅猛,看以下这些指标的变化就能明了了。





真的生命很可贵,请别轻言放弃,这还是一个很年轻的生命,离开了确实很痛惜,也给家庭带来了很大的负担。
如果一个人选择了离开,我想他的生活可能真的太累了,太痛苦了,或者太多压力了吧。给身边的人多一份爱,多一份关注,多一份鼓励,或许他或者她会因为你的一举一动而多一份勇气生活下去。所以做一个善良,真实,积极向上生活的人吧。