与其他区域的脊柱中央管肿瘤一样,腰椎肿瘤可分为硬膜外、硬膜内、髓外和髓内肿瘤。如果硬膜外病变使脊髓移位,则交界区将出现蛛网膜下腔受压,且硬膜囊移位远离肿块。在腰椎中,硬膜外病变主要由椎体肿瘤和转移性疾病组成。
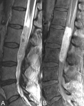
神经鞘肿瘤和脊膜瘤是髓外硬膜下的主要肿瘤。主要的神经来源肿瘤瘤为神经鞘瘤和神经纤维瘤。与胸椎相比,这些病变在腰椎中较为少见。神经鞘瘤经常影响颈椎和胸椎椎间孔内的神经根,腰椎内的神经鞘瘤也可能涉及马尾神经根。图51.1 A、B的T2和增强 T1WI分别显示了这种外观。很难区分神经鞘瘤和神经纤维瘤,即使在MRI上也是如此,尽管T2WI上的异质性外观(如图51.1中分叶状的病变)倾向于前者。神经鞘瘤也发生在神经周围,倾向于压迫而非扩大神经,更常见的表现为囊性变性,且倾向于单发而非多发。

▲ 图51.1

▲ 图51.2
图51.2 A-C (T2,T1,CE T1WI)显示,1型神经纤维瘤病患者L2椎体后缘有一神经纤维瘤,神经孔变宽。根据此处提供的插图,该病变可能代表神经鞘瘤或神经纤维瘤,然而,在该病例中,观察到两个额外的增强鞘内病变,支持后者。尽管在T2WI上可以看到囊性变性(A)为中央高信号区,但更具特征性的表现(脊柱神经纤维瘤)是T2WI上的靶样结构,低信号中心周围有稍高信号。该部位的神经源性肿瘤可通过造影增强与椎间孔椎间盘突出区分。丛状神经瘤(1型神经纤维瘤病的病理特征)偶见,累及骶丛,呈粗大的分叶状强化肿块。脊膜瘤是与髓外硬膜下肿块的进一步鉴别诊断。与颈椎不同,这些病变往往累及胸腰段椎管的后外侧。图51.3 A-C中病变上方和下方的加宽蛛网膜下腔将其定位于髓外硬膜下。与上述病变一样,该脊膜瘤在增强前T2 (A)和T1WI (B)图像上表现出与脊髓等信号强度,前者在高信号 脑脊液下最明显。(C)增强显示由于肿瘤血管形成而具有特征性的显著、均匀增强。偶尔,在FSE T2WI上,沿血管特别丰富的脊膜瘤周围可见血流空洞。致密钙化也很常见,在所有成像序列中均显示低信号。图51.3 D的轴位图像显示该脊膜瘤延伸至孔内。
与其他以髓内肿瘤为主的肿瘤(星形细胞瘤)不同,室管膜瘤常累及腰椎,是圆锥、马尾和终丝最常见的肿瘤。与星形细胞瘤不同,它们的中枢、髓内

▲ 图51.3
位置反映了它们在室管膜细胞中的起源,室管膜细胞排列在整个脊髓的含脑脊液中央管中。图51.4 A、B中的病变从L1延伸至L3,几乎充满椎管并导致神经根移位。其与脊髓的等信号至轻微高信号被低信号的小病灶打断,可能代表出血成分或高细胞区。

▲ 图51.4
钙化在T2WI上可能有类似的表现,尽管这在脊髓室管膜瘤中比在脑室管膜瘤中要少见得多。此外,增强T1WI缺乏相应的低信号(B),所以钙化不太可能。T2WI上该病变的信号实际上略大于典型细胞型室管膜瘤的信号。事实上,在下脊髓内,尤其是在终丝区(90%),粘液乳头状亚型更为常见,图51.4中粘液乳头状室管膜瘤内的大量粘液分泌物导致上出现T2WI高信号。同样,在T1WI上,粘液型病变的信号高于等信号(对脊髓)细胞型室管膜瘤。粘液型病变也往往比细胞型病变更大,出血更频繁。粘液亚型和细胞亚型均呈强烈但不均匀的增强,这种增强可能勾勒出肿瘤的囊性区域,在其他序列上,这些囊性区域通常与脑脊液呈等信号。在该特定患者病例中,图51.4 B中圆锥周围的额外增强被认为可能代表转移性扩散。手术时证实了这一点,同时证实了附近神经根的受累和附着。除了上述特征之外,室管膜瘤与星形细胞瘤的区别还在于其出血倾向、含有低信号高细胞区以及边界划分更为精确。

▲图 51.5
与之前讨论的肿瘤一样,血管母细胞瘤也倾向于髓内,尽管它们更常见于颈部和胸部,在整个脊髓中也相当罕见。多发性脊髓血管母细胞瘤是冯·希佩尔-林道(点击)的病理特征。外观可能为实性或囊性,后者在大型髓内病变中更常见,如图51.5 A、B所示。囊性成分的信号因蛋白质含量而异。在所示的患者病例中,造影前序列上没有可轻易识别的实性病灶。虽然大囊性转移瘤可能具有类似的外观,但在FSE T2WI上来自扩张脑膜静脉的流动空洞的存在几乎是血管母细胞瘤的病理特征。在(B)轴位增强T1WI上,囊性部分的后外侧可见明显强化的病灶,该区域与囊性部分相比很小。
尽管未在此处见到,但与脊髓血管母细胞瘤相关的水肿可能使其与转移性病变的区分更为复杂。

▲ 图51.6
皮样(或表皮样)囊肿是一种良性病变,也可能表现为髓内肿块,最常见于腰骶部(图51.6)。在这种情况下(如图51.6 A、B所示),病变与脊髓栓系有关——脊髓栓系是一种先天性异常,其中圆锥保持在异常低的位置。在图51.6 A、B的相应T1和T2WI上,位于硬膜囊终止处的该病变的出现是非特异性的,但在脑的轴向T1WI上(C)蛛网膜下腔(在本例中沿侧脑室周围)中的脂肪滴和额外的矢状位脊柱图像(D、E)确定了皮样囊肿破裂的诊断。与表皮样病变不同,这些病变含有真皮附件,如毛发和皮脂腺,后者的分泌物导致病变内出现脂肪样信号。在(C) T1WI上,脂肪滴以高信号病灶形式存在于脑室内,表明皮样囊肿破裂。在图51.6 D、E中,皮样囊肿内的脂肪为高信号。由于脂肪瘤中不存在非脂肪性信号,因此皮样囊肿与脂肪瘤是很好区分的。