银屑病,俗称牛皮癣,是一种慢性、复发性、炎症性皮肤病,典型皮损为鳞屑性红斑或斑块,局限或广泛分布。银屑病可发生于任何年龄,男女患病率相近,约2/3的患者在40岁以前发病,大部分患者冬重夏轻。
01 宝宝为什么会得银屑病?
银屑病的病因目前尚不明确,涉及遗传背景、环境诱因、免疫应答异常等因素。目前研究发现约30%的银屑病患者有家族史。父母一方患银屑病时,其子女的发病率约为16%;父母双方患银屑病时,其子女的发病率高达50%。环境因素在诱发或加重银屑病,或使病情迁延不愈中起着重要作用,包括感染、精神紧张、不良嗜好(如吸烟、酗酒)、创伤、某些药物反应等。
02 宝宝患银屑病的临床表现
银屑病的分型主要包括寻常型、脓疱型、红皮病型及关节病型银屑病和银屑病共病。
重症寻常型银屑病

治疗前

治疗4天后
寻常型银屑病:分为点滴状和斑块状银屑病。
(1)点滴状银屑病:发疹前2~3周有溶血性链球菌引起的上呼吸道感染病史,皮疹初发呈向心性分布,多位于躯干和四肢近端,临床表现为1~10mm大小境界清晰的红色丘疹、斑丘疹,色泽潮红,覆以少许鳞屑。
(2)斑块状银屑病:约占银屑病的80%~90%,是银屑病最常见的表现形式。皮疹通常好发于头皮、躯干、臀部和四肢伸侧面,斑块表面脱屑明显,轻刮表面鳞屑,犹如蜡滴,称为蜡滴现象;刮去表面白色鳞屑后,可露出一层淡红发亮的半透明薄膜,称为薄膜现象;再继续刮除薄膜,可见小出血点,称点状出血现象(Auspitz征)。
脓疱型银屑病

治疗前

治疗7天后
脓疱型银屑病:分为泛发性和局限性两型。
(1)泛发性脓疱型银屑病:临床表现为红斑基础上急性发作的多发无菌性脓疱,针尖至粟粒大小,分布密集广泛,可累及甲、手掌、足跖,数小时后,脓疱融合形成大片脓湖,同时伴有发热、肌痛、白细胞增多等中毒症状。一般1~2周后脓疱干燥结痂,病情自然缓解,但可反复呈周期性发作。
(2)局限性脓疱型银屑病:通常局限于手掌及足跖,伴或不伴有经典的斑块状皮损。
红皮病型银屑病:是一种少见的重症银屑病,多由银屑病在急性期某些因素刺激或治疗不当诱发,少数由银屑病急性加重演变而来。临床表现为全身弥漫性潮红、浸润肿胀并伴有大量糠状鳞屑,红斑几乎覆盖整个体表。因皮肤表面大量角蛋白脱失导致体温调节功能改变,患者常伴有全身症状如发热、畏寒等不适,并伴表浅淋巴结肿大、低蛋白血症等。
关节病型银屑病:又称银屑病关节炎。关节损害可轻可重,且与皮损无直接相关性。受累关节可表现为肿胀、疼痛、晨僵及关节活动受限等,严重者呈进行性进展。病程迁延,易复发,晚期可出现关节强直,导致残疾。
银屑病共病:包括高血压、心血管疾病、肥胖、代谢综合征、其他(如精神情绪障碍、自身免疫性疾病等)。
03 宝宝得了银屑病怎么办?
银屑病目前尚无根治办法,其病情迁延不愈,严重影响患者的身心健康。银屑病的治疗目的在于控制及稳定病情,减缓发展进程,减轻自觉症状及皮肤损害。尽量避免复发及诱发加重的因素,减少治疗的不良反应。控制与银屑病相关的并发症,提高患者生活质量。
银屑病的治疗
按照规范、安全、个体化的治疗原则,银屑病治疗主要包括外用治疗(润肤剂、维生素D3衍生物、维A 酸类药、糖皮质激素、钙调磷酸酶*制剂抑**等)、物理治疗(光疗、洗浴疗法)、系统治疗(甲氨蝶呤、环孢素、维A酸类、抗生素、生物制剂等)和心理治疗。
皮肤镜

真皮乳头处可见毛细血管迂曲扩张

亮红色背景下皮损处可见一致性分布的小球状及环状血管
皮肤共聚焦扫描显微镜

Munro微脓肿

亮红色背景下皮损处可见一致性分布点状血管
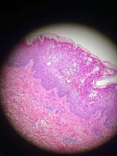
病理

Kogoj微脓肿
银屑病的预防
银屑病的预防措施主要包括预防感染(如避免感冒)、保护皮肤屏障功能(如尽量避免物理性创伤)、保持健康的生活方式 (如在工作和生活中学会劳逸结合、饮食控制、适当体育锻炼等)。
天津市儿童医院儿童银屑病专病门诊

天津市儿童医院北辰龙岩院区皮肤科设有儿童银屑病专病门诊(中华医学会2018年全国第一批授牌)及儿童银屑病病房。采用国内先进的诊断和治疗技术以及先进设备,对儿童银屑病进行个体化精准诊断治疗。
门诊时间为每周六、周日
为了节省您的等候时间,您可通过“健康天津”APP、“天津市儿童医院掌上健康”微信公众号、“天津儿医”APP以及院区内设有的自助挂号机四种方式,预约就诊。
儿童银屑病专病门诊为银屑病患儿服务,早期发现、适度治疗。儿童银屑病病房,对于住院重症患儿,除外用药物治疗,还采取系统治疗及中药浸浴,窄谱UVB光疗等综合治疗,积极探索儿童银屑病的生物制剂治疗。同时,为患儿家属进行个体化护肤指导及心理疏导,衷心祝愿银屑病患儿能早日恢复正常生活,希望所有的儿童能健康成长。