我是一名消化内镜医生。今天除夕夜,辞旧迎新之际。刚吃完年夜饭准备给老家亲戚伙伴电话拜年。突然电话铃声响了,是主任的电话。“下级医院转来一个食管异物的病人,正在门诊楼,异物比较大,你去处理一下”。今年春节我是急诊班,挂罢电话,我火速穿好衣服就出门了。一路上到处都在放烟花,今年我们市对燃放烟花的政策由往年的禁放改为限放。疫情三年,生活可能太过压抑了,需要放烟花给释放出来,也希望来年“红红火火”。
我很快到医院,在门诊楼前就见到了那位患者,由女儿陪着。“怎么搞的,这么晚才来”。在得知患者是昨天晚上卡住的,已经被卡住整整一天了,今天早上还吃了饭,我顿时有点气愤。要知道,被卡住后耽误的时间越长,穿孔风险就越大。我带着患者很快就来到科室,准备好术前的事项,给患者讲清取异物的风险,手术就开始了。
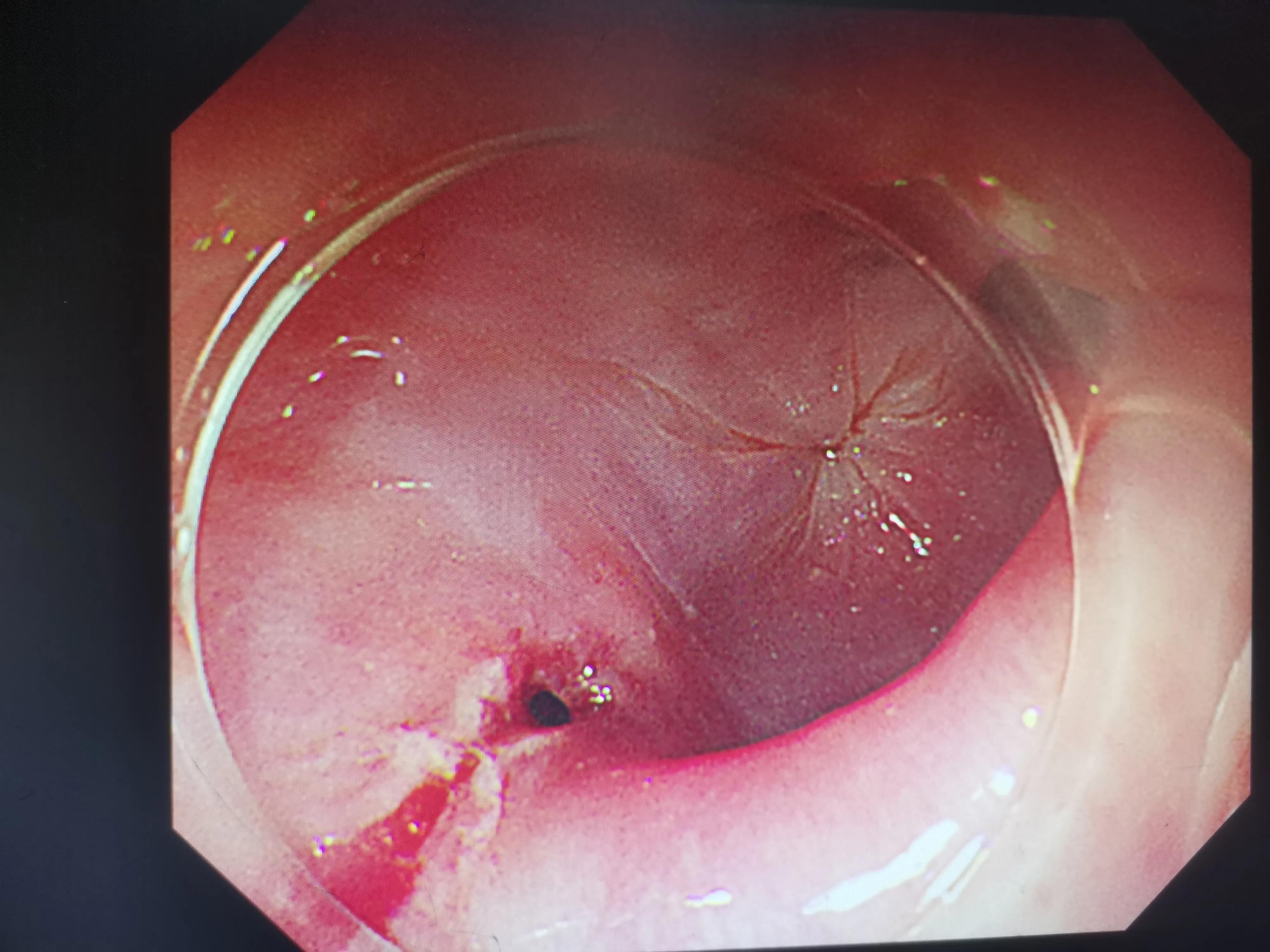
我所说的手术就是插入一根胃镜进入到食管,找到异物后再用异物钳给取出来。说着容易,做着难。我跟护理李老师经常搭手取异物,非常熟悉了。我很快熟练操作胃镜进入食道,不出所料首先发现的是食管内大量的食物残渣,清理完这些残渣后才发现食管下方卡了一根非常坚硬的鸡刺骨,我小心操作胃镜,轻轻用异物钳夹住鸡骨头,调整好角度就取出来了。只可惜,鸡骨头比较锋利的那一端已经刺破了食管壁,留下了一个破口——食管穿孔!
家属很高兴,一直感激我。我告诉家属食管穿孔是要住院治疗的。家属也很配合,说他们回当地医院住院治疗比较方便,因为家中还有生病在床的老人需要照顾,毕竟是除夕夜。我收拾收拾准备回家过年,这是今天是第二个食管异物了。每年过年总要出急诊取异物,以鱼刺、枣核、鸡骨为主。
在此告诫大家“三不”:一旦不幸有食管异物,1.不要喝醋,醋是融化不了骨头的;2.不要用馒头噎,这样做只会加重病情;3.不要拼命呕吐,有可能造成贲门撕裂大出血。要科学处理,首先要立即停止进食,找最近的医院前往处理。好了,写的这里吧。祝大家新的一年扬眉“兔”气、“兔”飞猛进、前 “兔”似锦、大展宏“兔”!

