有些肺结节在刚开始发现的时候,根据其形态的特点,可以安排抗炎治疗,抗炎后再次复查,这其中,有些肺结节可以明显消散。
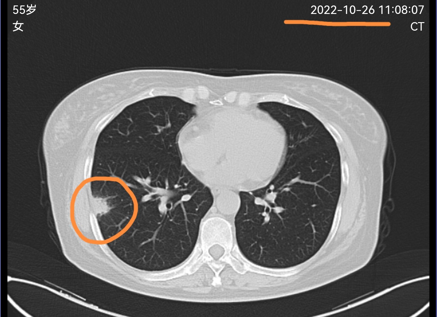
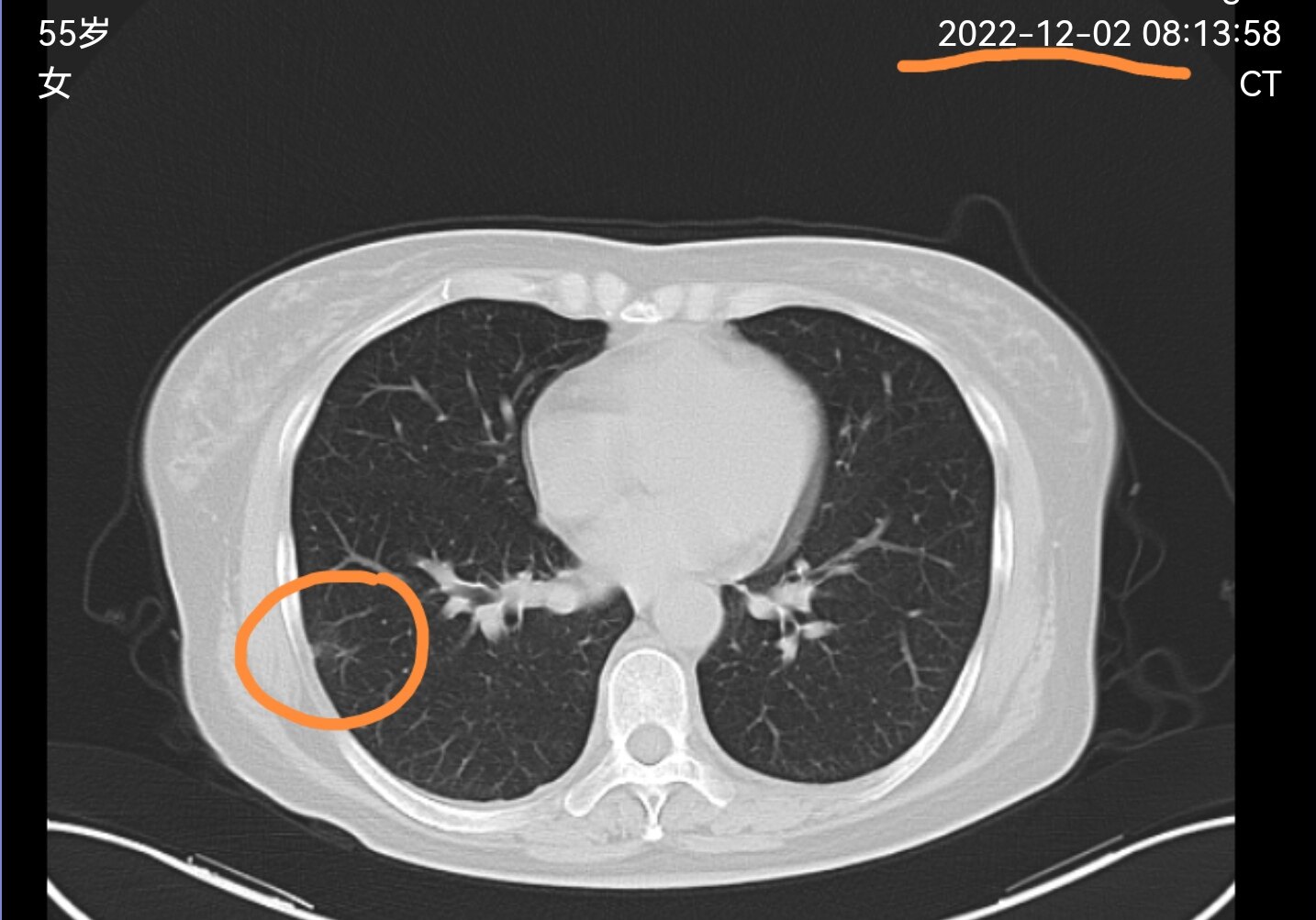
有一位东北的同行在线上门诊平台联系到我,把她这两个月拍的胸部CT电子图像发给了我。她10月底第一次拍片子时,发现了肺部靠近胸膜有一个结节,当地医生给安排了抗炎治疗,前两天她又复查了个CT,看到结节有变化了,想让我看一下结节的性质,还需不需要做手术?
从她第一次拍过来的片子看,这个肺结节首先考虑是一个炎性病变,当地医生安排抗炎治疗是完全正确的,五个星期之后再次复查,看到这一位置的这个结节较前明显消散,证实这是一个炎性结节,肯定不需要手术了。
通过我们同行的这个病例,大家可以知道,第一,有些肺结节是可以通过抗炎治疗变小和消散的,第二,要经过几个星期再复查片子,不要刚抗炎完就马上复查片子,要给肺结节一个吸收的过程。

编辑

编辑

编辑