牙齿拥挤什么矫正方法有效?整齐洁白的牙齿自然也是为我们气质形象加分的一部分,但是很多的成人面临着畸形牙齿的烦恼,那么成年人牙齿能矫正吗?什么矫正方法最好呢?下面请德伦口腔正畸专家为大家做详细的介绍。

技术推荐:仿生美容修复。
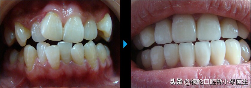
仿生美容修复为近年由欧美引入的新兴美齿技术,针对成人,对龅牙、排列歪斜牙、畸形牙以及色素牙,可彻底、快速矫正修复,无需拔牙,全程无痛。生物相容性好,牙龈不会出现黑线,7天还你洁白整齐牙齿,终生美齿。
一坚固持久:美容修复以最小的牙齿损伤来最大程度的恢复美观效果。牙齿只需要修整很少的牙齿组织,甚至最先进的材料可以考虑不修正。有效避免细菌造成的快速龋齿,经过超高温数码科技处理的美牙冠就像为牙齿穿上了坚固的“隔离衣”,使龋害“无孔可入”。
二色泽自然:根据就诊者不同的牙色,采用德国VITA3D比色技术,精确对比牙齿明度、饱和度和色泽。通过29个牙色层次化类比,确定出最合适你的美牙冠牙色,使成形后的牙齿达到完美的色调统一,天然色泽,常年保持美丽天然的光泽。
三美观大方:“美容修复”牙齿美容采用3D数码定位技术,对顾客牙齿的自然形态和颜色全面分析,根据牙冠、牙根、牙颈三部分形态,再结合专业牙齿美容医师的检测,制定出最适合你的牙齿美容方案,成形后的牙齿美观大方,拥有明星般的漂亮牙齿不是梦。

以上就是有关牙齿拥挤的介绍方法介绍,如果您有牙齿矫正的需要,德伦口腔集牙齿美容、治疗和预防为一体,科室开设:牙齿种植、牙齿正畸、牙齿修复、牙齿美白、儿童口腔、口腔预防保健等口腔诊疗项目。先进的设备,一流的技术,经验丰富的专家团队,以及温馨舒适的环境,深受专家的肯定和广大患者的好评!是解决您口腔问题的最佳选择!
如果您有更多关于口腔知识想了解,请关注我,有口腔问题可私信或在下方评论喔~