#清风计划# #青云计划#
脂肪瘤可以引起癫痫?这是真的吗?这是谣言吗?我们先不看答案,大家来猜猜这个说法是真的还是假的?
01 脂肪瘤是什么?
脂肪瘤是一种非常常见的疾病,是由于我们的脂肪组织异常分布,聚集成团块引起的。
很多人都有这种疾病,某一天,在洗澡的时候,无意中发现皮肤下面怎么有一个黄豆大小的软软的瘤子,摸起来也不痛,也不痒

体表脂肪瘤,很多人都有
脂肪瘤是最常见的良性肿瘤之一,生长非常缓慢,不会转移。大多数脂肪瘤都是单发,有少部分患者身上长了多个脂肪瘤。
在显微镜下,我们可以看到脂肪瘤是由大量的脂肪细胞堆积而成

这些一个个空泡泡就是脂肪细胞
通常,绝大多数的脂肪瘤都没有任何症状,就是摸起来有个包块,基本还不会疼痛,有少数脂肪瘤会疼痛。
那么脂肪瘤可以引起癫痫?这听上去有点匪夷所思,那这个是真的吗?
02 脂肪瘤竟然可以引起癫痫?这是真的吗?
我有一个癫痫病人,30多岁,有好多年的癫痫病史了。一直在当地小医院吃药,小医院诊断为癫痫,然后就给他开了一些抗癫痫药,但是吃了药之后效果还是不好,隔三差五的还是会发作。
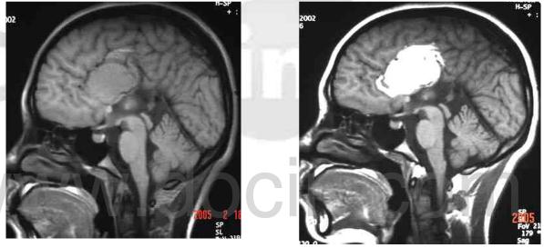
来到我们医院之后,我们给他做了一个脑部的磁共振检查
结果,我们在他脑部发现了异常的信号,经过分析,是脑部的脂肪瘤

颅内的脂肪瘤,白色的亮点处就是脂肪瘤
正是这个重大的脂肪瘤压迫和刺激了周围的大脑,使大脑产生异常放电,引起他发生癫痫,出现四肢抽搐、口吐白沫、神智丧失的症状。
由于这个脂肪瘤持续存在,所以吃抗癫痫药物效果很不好。
最后,我们对他进行了手术,将脑内的脂肪瘤切除后,他的癫痫症状也得到了控制。
所以,脂肪瘤的确可以引起癫痫
尽管脂肪瘤生长缓慢,通常没有特殊症状,但是如果脂肪瘤长在特殊部位,有可能会引起一些特殊的症状。
03 特殊部位的脂肪瘤还会引起哪些症状?
脂肪瘤可以生长在我们身体里的很多地方,长在特殊部位的脂肪瘤可以引起哪些症状,对患者的健康和生活产生影响。
(1)影响美观
有的脂肪瘤长在比较暴露的位置,比如面部、头顶、颈部或者手臂
有的脂肪瘤还长的特别大
这就会影响美观,这类脂肪瘤就要切除了
(2)影响关节活动
有的脂肪瘤长在关节部位,比如肘关节、膝关节这些部位,如果脂肪瘤长得比较大,那么就会影响到关节的活动
(3)造成面瘫、听力下降、耳鸣或者三叉神经痛
当脂肪瘤生长在颅内的桥小脑区域的话,就会引起上述症状。因为在这个区域内,有很多重要的神经经过,包括面神经、听神经和三叉神经。
脂肪瘤压迫面神经就可以引起面瘫,压迫听神经就可以引起耳鸣和听力下降,压迫三叉神经就会造成三叉神经痛。
04 脂肪瘤如何治疗
脂肪瘤只能通过手术切除治疗,因为目前没有任何药物可以使脂肪瘤溶解或者缩小
一般,如果没有疼痛感,没有影响美观,没有引起症状的脂肪瘤可以不用管它,因为生长很缓慢,不会恶变。
但是,如果影响到了美观,伴有疼痛,或者是像我们在前面介绍的,产生了一些特殊症状,那么就要考虑手术治疗了。
皮肤下的脂肪瘤切除很简单,但是一些深部的脂肪瘤,特别是在脑内的脂肪瘤,手术起来就很难了。
05 如何预防脂肪瘤
关于脂肪瘤是如何产生的,目前医学界还没有定论,大家也不太清楚为什么会长脂肪瘤,科学家猜测可能和以下几个方面有关
(1)先天发育原因
这个和基因有关,有的人先天就容易长脂肪瘤,这个是没有办法预防的
(2)作息紊乱的原因
有调查研究发现,熬夜、工作压力大、休息不好的人同别容易长脂肪瘤。这可能是由于影响了内分泌系统,导致脂肪代谢紊乱引起
我自己就是这样,有一段时间因为天天熬夜做手术,洗澡的时候就发现手上和肚子上长了几个
(3)饮酒
酒精可以干扰我们身体脂肪的代谢,从而导致脂肪瘤产生
欢迎大家关注我哦,一个为大家带来靠谱医学知识的科普医生